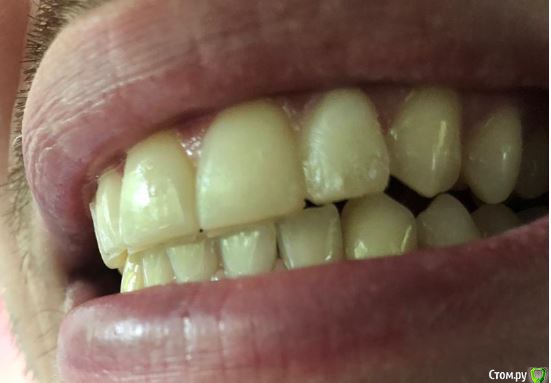
Steel19 Опубликовано 23 мая, 2020 Поделиться Опубликовано 23 мая, 2020 Всем привет,решил исправить косметические дефекты зоны улыбки. На функциональную часть зубов никогда не жаловался (все врачи всегда говорили, что у меня зубы хорошие), но эстетически щели между зубами всегда доставляли большой дискомфорт, так как старался не улыбаться. Прикрепил 2 фото, как было.С этим вопросом обратился к первому стоматологу (изначальная гипотеза у меня была - поставить виниры). Стоматолог начал меня отговаривать, что такие хорошие зубы пилить нельзя, и что так как они у меня большие, то с винирами визуально будет еще больше, что некрасиво. Ну и плюс ограничения по еде и т.д. Сказал нужно ставить брекеты. Но брекетов я хотел бы избежать, так как это долго и мучительно, плюс у одного моего знакомого такого же возраста (>30) зубы начали снова разъезжаться после съема брекетов.Жена посоветовала сделать художественную реставрацию для закрытия щелей. У нее был скол на зубах, ей сделали реставрацию несколько лет назад - она довольна и мне активно советует (хотя контактов этого стоматолога не сохранилось). Также реставрацию мне советовали и другие знакомые (правда, не стоматологи).Пошел я в итоге к другому стоматологу, который очень советовал виниры. Говорит, что реставрация будет не очень хорошо смотреться (типа, она меняет цвет). Но жена говорит, что за 5 лет ее реставрация цвета не поменяла. Если честно, я так и не понял, почему делать художественную реставрацию с сохранением моих зубов (без обточки) - не лучшая идея.В итоге сделали моделирование под виниры и надели на мои зубы пластмассовые времянки, чтобы посмотреть "как будет". Итоговый результат меня несколько смутил, так как показалось, что зубы стали огромными и сильно выпирающими вперед. Со стороны выглядит, как будто искуственная челюсть, хотя из далека, конечно, ровный ряд зубов смотрится лучше, чем частокол, который у меня был. Стоматолог говорит, что при настоящих винирах будет чуть поаккуратнее, так как будет обточка зубов. Но все равно будет чуть выпирать/сохранится эффект больших зубов, так как планировалась обточка 0,3 мм. Для большей эстетичности нужно делать обточку 0,6 мм, но тогда будет пульпит на этих зубах, и нервы придется удалять.В итоге, я в некотором замешательстве. С одной стороны хочется красивую улыбку, но я боюсь, что итоговый результат может быть неэстетичен, либо придется спиливать зубы очень сильно, а потом мучиться с болью.Сформулирую конкретные вопросы:1) Можно ли все-таки решить мою проблему реставрацией? Если да, то где это делают? Или виниры все-таки лучше?2) Возможно ли формирование естественной красивой улыбки с маленькой обточкой (0,3 мм)? Или все-таки нужно готовиться к тому, что зубы будут обтачивать очень сильно?3) Насколько одетые на свои зубы времянки реально отображают итоговый возможный результат? То есть, если эти времянки не понравились - то это повод отказаться, или без обточенных зубов сложно что-то сказать?Хочется сделать обдуманное взвешенное решение, чтобы потом не жалеть.Заранее большое спасибо! Ссылка на комментарий
chervoncevdaniil Опубликовано 23 мая, 2020 Поделиться Опубликовано 23 мая, 2020 Проконсультируйтесь еще у нескольких ортопедов,нужно очень постараться,чтобы при обработке под виниры получить пульпит.При толщине винира до миллиметра это очень маловероятно.Насчет реставраций композитом,цветостабильность там на самом деле хуже,чем у керамических виниров,все что я видел в плане композита через 5 лет в любом случае требует либо повторного изготовления,либо(что чаще)заканчивается керамикой в итоге Ссылка на комментарий
Steel19 Опубликовано 23 мая, 2020 Автор Поделиться Опубликовано 23 мая, 2020 Спасибо! Кстати, я забыл уточнить - я рассматривал именно керамические emax виниры. Ссылка на комментарий
krokomot Опубликовано 23 мая, 2020 Поделиться Опубликовано 23 мая, 2020 в вашей ситуации можно воспользоваться любым способом закрытия щелей, как реставрацией так и керамическими винирами. Из керамики возможно изготовление тончайших изделий, естественно стоят они соотвественно, любой приличный ортопед сможет в вашем случае остаться в пределах эмали и соотвественно ни о каком пульпите и речи не идет. По поводу прототипа в вашем случае лучше сделать композитный прототип прямо на зубах, а не из пластмассы, при этом вы сможете со 100% вероятностью лицезреть возможный конечный результат. Как правило изготовленные виниры не будут выпирать. По надежности керамика превосходит композит, но из композита дешевле, хотя у некоторых моих коллег реставрация стоит дороже керамики многих докторов... вым нужно найти правильного доктора, который поможет вам решить вашу проблему выбранным вами способом. Ссылка на комментарий
Steel19 Опубликовано 23 мая, 2020 Автор Поделиться Опубликовано 23 мая, 2020 Наверное те времянки, которые мне сделали, из композита, а не из пластмассы (пластмассой я их от себя назвал). Я зубы в форму с гелем опускал для формирования этих времянок, который потом застыл тонкой пленкой. Но выпирало очень сильно и было ощущение громоздкости, поэтому и пошли сомнения. Ссылка на комментарий
krokomot Опубликовано 23 мая, 2020 Поделиться Опубликовано 23 мая, 2020 нет времянки у вас из пластмассы Ссылка на комментарий
Рекомендуемые сообщения
Для публикации сообщений создайте учётную запись или авторизуйтесь
Вы должны быть пользователем, чтобы оставить комментарий
Создать аккаунт
Зарегистрируйте новый аккаунт в нашем сообществе. Это очень просто!
Регистрация нового пользователяВойти
Уже есть аккаунт? Войти в систему.
Войти