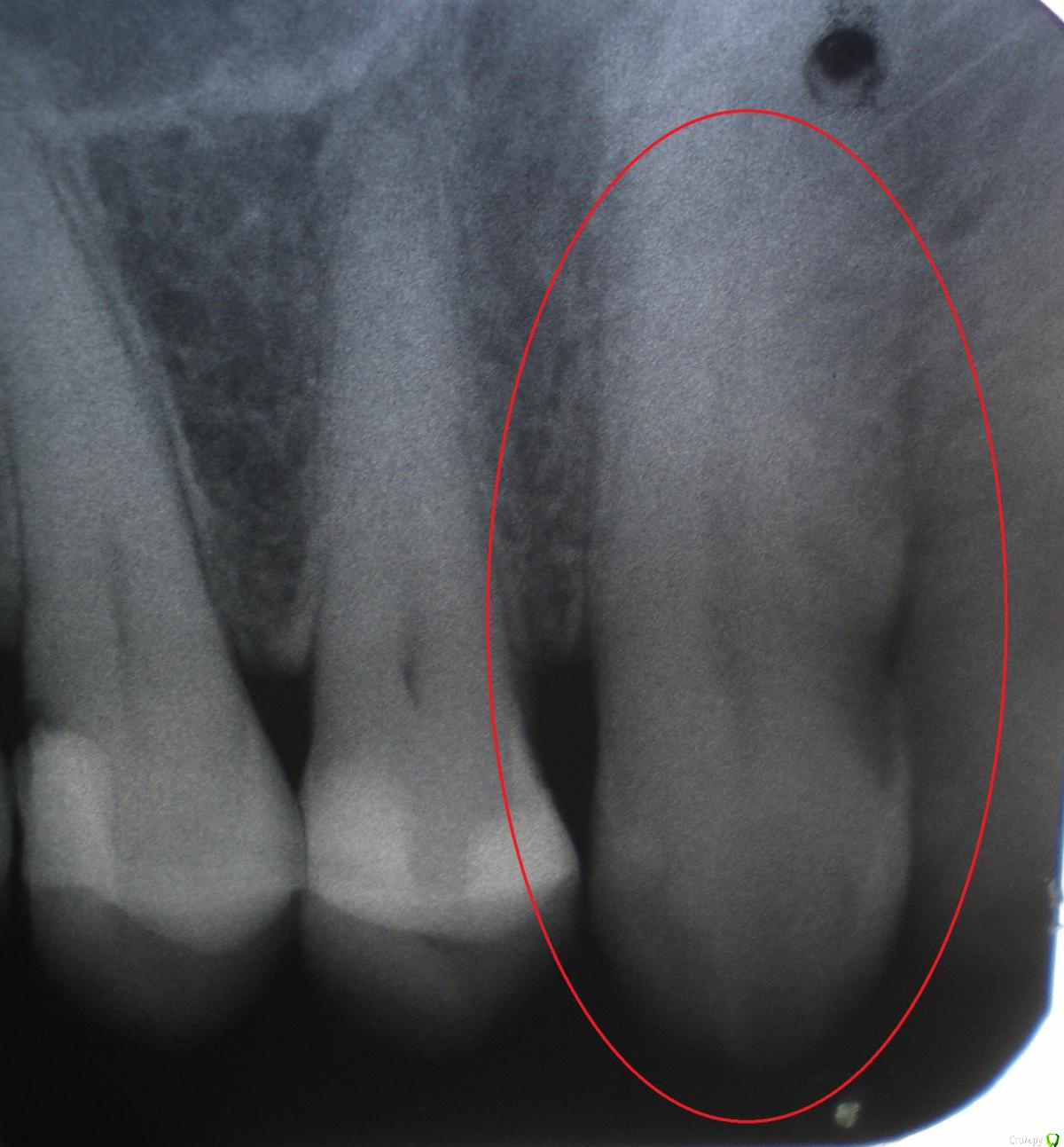
ganofer Опубликовано 21 мая, 2020 Поделиться Опубликовано 21 мая, 2020 Здравствуйте,подскажите по снимку, пожалуйста, не совсем понятно:на снимке (зуб выделен красной чертой) кариозная полость или зуб здоров?Спасибо. Ссылка на комментарий
red_butler Опубликовано 21 мая, 2020 Поделиться Опубликовано 21 мая, 2020 качество снимков не позволяет дать ответ Ссылка на комментарий
ganofer Опубликовано 23 мая, 2020 Автор Поделиться Опубликовано 23 мая, 2020 Ну, тогда удалите эту тему, и мою учетную запись.Спасибо! Ссылка на комментарий
Рекомендуемые сообщения