Перейти к содержанию
Стоматология для всех

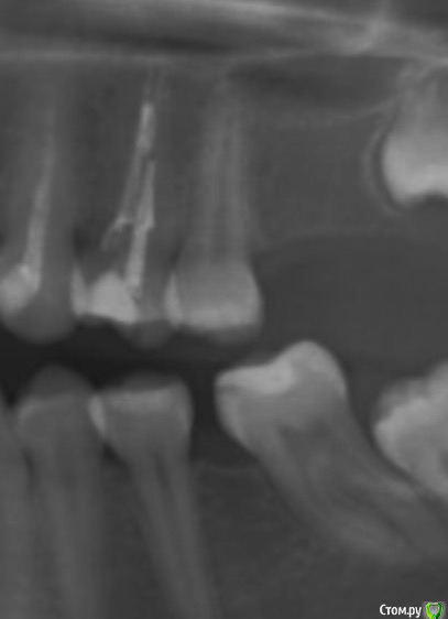
Карман в области 25 и свищ


Юл1.

Рекомендуемые сообщения

Никто не знает что с этим делать, сказали что пища попадает из за этого подтекает, Ещё 8 на имплант давит и может его расшатать правда такое возможно? Сказали купить ирригатор и постоянно мазать метрогилом. Нерв удалён почти 10 лет назад, пролечен зуб качественно, карман и свищ образовались в этом году.

post-59786-0-45867800-1589978827_thumb.png

post-59786-0-72850900-1589978850_thumb.jpg

post-59786-0-31494200-1589978877_thumb.png

Ссылка на комментарий

Вот старый снимок, лучше видно как залечен зуб и свежее фото, сохраняется отёк, болит если надавливать.

post-59786-0-78806400-1589998041_thumb.png

post-59786-0-32414700-1590004644_thumb.jpg

Изменено пользователем Юл1.
Ссылка на комментарий

На снимках кармана не видно, нужен очный осмотр и зондирование десневой борозды, как альтернатива проведение компьютерной томографии.

Ссылка на комментарий

Для публикации сообщений создайте учётную запись или авторизуйтесь

Вы должны быть пользователем, чтобы оставить комментарий

Создать аккаунт

Зарегистрируйте новый аккаунт в нашем сообществе. Это очень просто!

Регистрация нового пользователя

Войти

Уже есть аккаунт? Войти в систему.

Войти
×
×
  • Создать...
Вверх