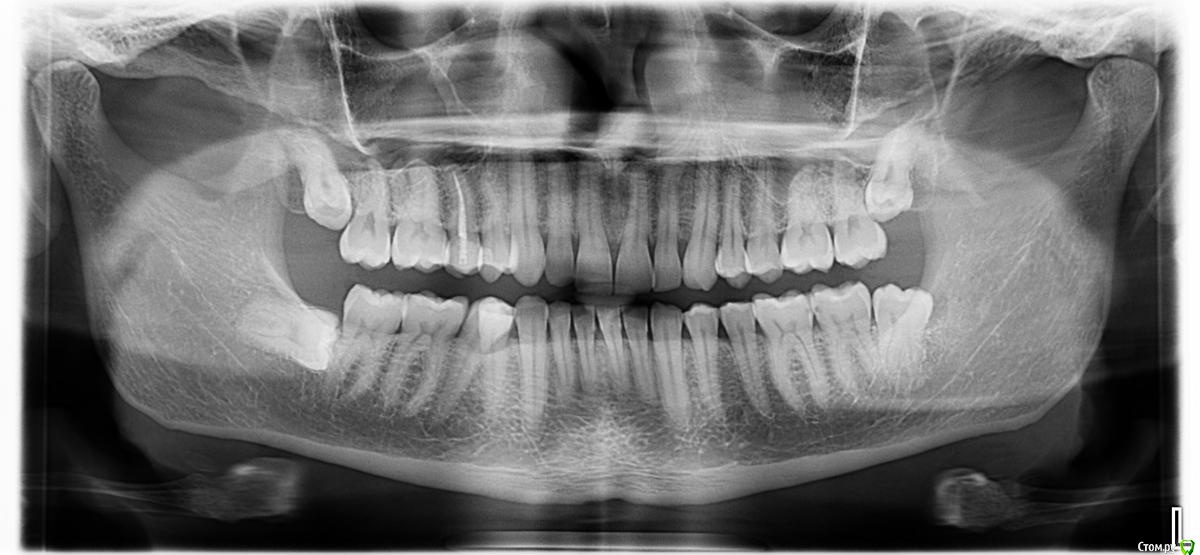
Anatolysn Опубликовано 19 мая, 2020 Поделиться Опубликовано 19 мая, 2020 (изменено) Добрый день, подскажитепо КТ это какая стадия кариеса?средняя или глубокая?https://cloud.mail.ru/public/56CB/2NFWVt9Gd справа второй и третий коренные зубы нижней челюсти Изменено 19 мая, 2020 пользователем Anatolysn Ссылка на комментарий
АнтонТЛТ Опубликовано 19 мая, 2020 Поделиться Опубликовано 19 мая, 2020 Снимок является дополнительным методом исследования, а не основным. По нему кариес скорее средний. По факту при лечении (когда удаляются размягченные ткани зуба) может оказаться глубоким. 3 Ссылка на комментарий
Anatolysn Опубликовано 19 мая, 2020 Автор Поделиться Опубликовано 19 мая, 2020 (изменено) размягченные ткани - это нерв? Изменено 19 мая, 2020 пользователем Anatolysn Ссылка на комментарий
red_butler Опубликовано 19 мая, 2020 Поделиться Опубликовано 19 мая, 2020 размягченные ткани - это нерв?Это поврежденные кариозным процессом твёрдые ткани зуба, во время препарированиях (высверливания) врач их убирает под визуальным, тактильным и химическим контролем Ссылка на комментарий
Anatolysn Опубликовано 19 мая, 2020 Автор Поделиться Опубликовано 19 мая, 2020 Это поврежденные кариозным процессом твёрдые ткани зуба, во время препарированиях (высверливания) врач их убирает под визуальным, тактильным и химическим контролемясно спс Ссылка на комментарий
red_butler Опубликовано 20 мая, 2020 Поделиться Опубликовано 20 мая, 2020 ясно спсТему можно закрывать? Ссылка на комментарий
Рекомендуемые сообщения
Для публикации сообщений создайте учётную запись или авторизуйтесь
Вы должны быть пользователем, чтобы оставить комментарий
Создать аккаунт
Зарегистрируйте новый аккаунт в нашем сообществе. Это очень просто!
Регистрация нового пользователяВойти
Уже есть аккаунт? Войти в систему.
Войти