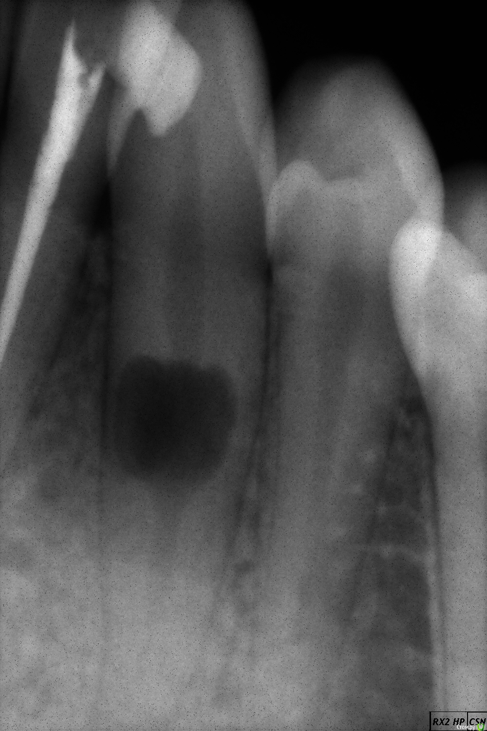
Юл1. Опубликовано 19 мая, 2020 Поделиться Опубликовано 19 мая, 2020 Здраствуйте, в хирургии была тема, но хотелось бы ещё мнения послушать. Случайно обнаружили в феврале этого года такой зуб, клиник много посетила, никто лечить не берёт. Две недели назад образовался прыщик, лопнул вчера, сейчас нет ничего, мазала метрогилом и полоскала хлоргексидином. Кт делала, ничего там особенного нет, не могу показать, не умею. Зуб абсолютно не болит. Интересует что это за прыщик был? Свищ? Бессимптомный периодонтит? Спасать зуб не буду, все в один голос говорят что шансов нет лезть в канал. Буду удалять если сломается. Вот что тогда делать? Имплант не встанет, брекеты финансово не смогу поставить, мост не хочу. Есть ли ещё какие варианты протезирования пусть даже не очень надёжного? Ссылка на комментарий
kramer Опубликовано 19 мая, 2020 Поделиться Опубликовано 19 мая, 2020 Имплант не встанет Почему это? Ссылка на комментарий
Юл1. Опубликовано 19 мая, 2020 Автор Поделиться Опубликовано 19 мая, 2020 Почему это? места нет 3 хирурга так сказали. Ссылка на комментарий
kramer Опубликовано 19 мая, 2020 Поделиться Опубликовано 19 мая, 2020 места нет 3 хирурга так сказали.Ну я б поспорил... Протезировать правда будет сложновато из-за скученности. Но в целом, думаю, реально Ссылка на комментарий
Юл1. Опубликовано 19 мая, 2020 Автор Поделиться Опубликовано 19 мая, 2020 Ну я б поспорил... Протезировать правда будет сложновато из-за скученности. Но в целом, думаю, реально войдёт? Ссылка на комментарий
St. Опубликовано 19 мая, 2020 Поделиться Опубликовано 19 мая, 2020 Спасать зуб не буду, все в один голос говорят что шансов нет лезть в канал Учитывая вашу скученность зубов, я бы спасала. Шанс не очень высокий, но продлить зубу жизнь можно. Интересует что это за прыщик был? Свищ? Да Ссылка на комментарий
Дмитрий Л. Опубликовано 19 мая, 2020 Поделиться Опубликовано 19 мая, 2020 Лечить нужно, ле-чить. Ссылка на комментарий
Юл1. Опубликовано 19 мая, 2020 Автор Поделиться Опубликовано 19 мая, 2020 (изменено) Действительно свищ, опять набралось, записалась к врачу, будем что то решать. Изменено 19 мая, 2020 пользователем Юл1. Ссылка на комментарий
Юл1. Опубликовано 23 мая, 2020 Автор Поделиться Опубликовано 23 мая, 2020 (изменено) Спасибо всем убедили спасти, вчера зуб лечили болит конечно сильно, через неделю уберут лекарство и временную пломбу. Изменено 23 мая, 2020 пользователем Юл1. Ссылка на комментарий
Рекомендуемые сообщения
Для публикации сообщений создайте учётную запись или авторизуйтесь
Вы должны быть пользователем, чтобы оставить комментарий
Создать аккаунт
Зарегистрируйте новый аккаунт в нашем сообществе. Это очень просто!
Регистрация нового пользователяВойти
Уже есть аккаунт? Войти в систему.
Войти