ira. k.. 78 Опубликовано 12 мая, 2020 Поделиться Опубликовано 12 мая, 2020 Здравствуйте уважаемые доктора. Хочу у вас спросить. Зуб клык слева (23), немного стала чувствовать дискомфорт в нем, зуб стоит с штифтом 14 лет, коронку сменила год назад, было всё хорошо, зуб не перелечивали, сделала кт в марте 2020, и увидела у коня немного затемнения, а врач сказал всё хорошо, подскажите, что это, и что с этим делать, мост не хотелось бы снимать, ему только год. Ссылка на комментарий
ira. k.. 78 Опубликовано 12 мая, 2020 Автор Поделиться Опубликовано 12 мая, 2020 Ссылка на комментарий
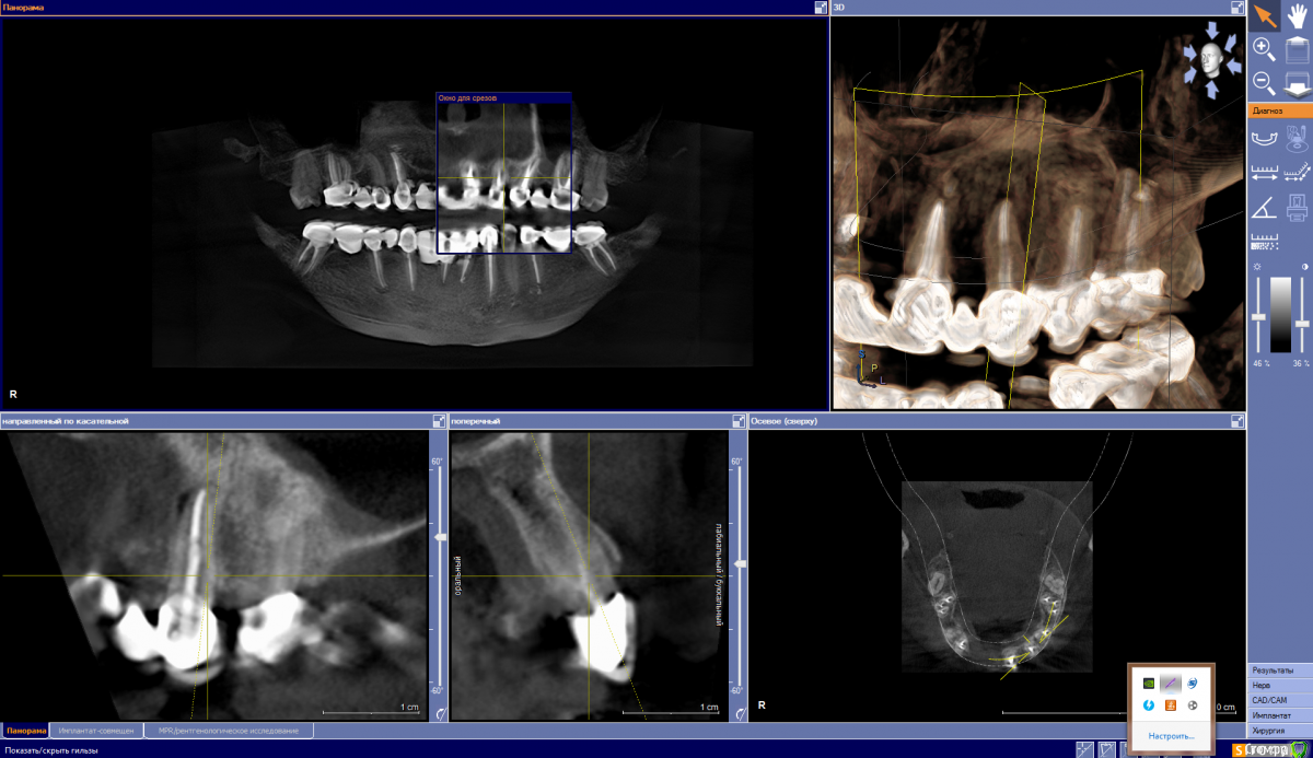
kramer Опубликовано 12 мая, 2020 Поделиться Опубликовано 12 мая, 2020 Срезы неудачные Ссылка на комментарий
ira. k.. 78 Опубликовано 12 мая, 2020 Автор Поделиться Опубликовано 12 мая, 2020 Ссылка на комментарий
ira. k.. 78 Опубликовано 12 мая, 2020 Автор Поделиться Опубликовано 12 мая, 2020 Здравствуйте, вот такой ещё есть, больше срезов нет Ссылка на комментарий
ira. k.. 78 Опубликовано 12 мая, 2020 Автор Поделиться Опубликовано 12 мая, 2020 Я сама не стоматолог, не знаю как правильно сделать срез Ссылка на комментарий
It'sGeorgy Опубликовано 12 мая, 2020 Поделиться Опубликовано 12 мая, 2020 Выложите ссылку на КТ. Ссылка на комментарий
ira. k.. 78 Опубликовано 12 мая, 2020 Автор Поделиться Опубликовано 12 мая, 2020 https://yadi.sk/d/okQONf-Hr_Gz1w Ссылка на комментарий
ira. k.. 78 Опубликовано 12 мая, 2020 Автор Поделиться Опубликовано 12 мая, 2020 https://dropmefiles.com/9Ob04 Ссылка на комментарий
ira. k.. 78 Опубликовано 12 мая, 2020 Автор Поделиться Опубликовано 12 мая, 2020 Выложите ссылку на КТ.здравствуйте, я выложила 2 ссылки, не знаю правильно ли скачала. Спасибо вам за внимание ко мне Ссылка на комментарий
ira. k.. 78 Опубликовано 12 мая, 2020 Автор Поделиться Опубликовано 12 мая, 2020 Выложите ссылку на КТ.доктор у меня ещё побаливает левая половина лица, от виска по верхней скуле и до крыла носа, но это уже пару лет, периодами, пол года болит пол года нет. Ходила к неврологу, выписали таблеточки, но прям сильных изменений нет Ссылка на комментарий
It'sGeorgy Опубликовано 12 мая, 2020 Поделиться Опубликовано 12 мая, 2020 Во время еды есть дискомфорт на этом зубе, жевать им больно? Ссылка на комментарий
It'sGeorgy Опубликовано 12 мая, 2020 Поделиться Опубликовано 12 мая, 2020 от виска по верхней скуле и до крыла носа, но это уже пару лет, периодами, пол года болит пол года нет. Ходила к неврологу, выписали таблеточки, но прям сильных изменений нет Это вряд ли к нам. Когда эпидемиологическая ситуация улучшится, сходите на повторную консультацию к неврологу. Ссылка на комментарий
ira. k.. 78 Опубликовано 12 мая, 2020 Автор Поделиться Опубликовано 12 мая, 2020 Во время еды есть дискомфорт на этом зубе, жевать им больно? ну если прямо сильно нажимаю на него то ощющение небольшой боли вроде есть, а так кушать не больно им, а что скажите по кт, я в срезах не понимаю Ссылка на комментарий
ira. k.. 78 Опубликовано 12 мая, 2020 Автор Поделиться Опубликовано 12 мая, 2020 Во время еды есть дискомфорт на этом зубе, жевать им больно? доктор, я целый год ходила с временным мостом, делала кт 3 раза за год, смотрели много врачей, но никто мне не предложил перелечить его, вот гол назад сделала полное протезирование, и не знаю что теперь делать, так расстроена, посоветуйте что предпринять. Проблемы с зуба с самого детства. В 13 лет заболел зуб 11 был удален, оказалось не тот, улалили и 12, а вот 22 не было зачатка постоянного Ссылка на комментарий
ira. k.. 78 Опубликовано 12 мая, 2020 Автор Поделиться Опубликовано 12 мая, 2020 Это вряд ли к нам. Когда эпидемиологическая ситуация улучшится, сходите на повторную консультацию к неврологу.это не может быть от зуба? Ссылка на комментарий
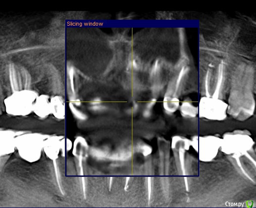
It'sGeorgy Опубликовано 12 мая, 2020 Поделиться Опубликовано 12 мая, 2020 (изменено) ну если прямо сильно нажимаю на него то ощющение небольшой боли вроде есть, а так кушать не больно им, а что скажите по кт, я в срезах не понимаюНа КТ, действительно, есть очаг разрежения костной ткани вокруг этого зуба. При этом, сказать, что каналы запломбированы плохо - тоже нельзя. Я не терапевт, но со своей точки зрения вижу ситуацию так, что у зуба, на самой вершине, есть достаточно выраженный изгиб, что создало огромную трудность для доктора, который зуб лечил. Этот изгиб, к сожалению, запломбировать ко конца не получилось, что привело к развитию хронического воспаления.Повторюсь, я подобным лечением не занимаюсь и мое мнение может быть ошибочным. Поэтому, предлагаю подождать, пока вам ответит кто-то из здешних терапевтов. это не может быть от зуба?Такие ситуации могут быть от зуба, но тогда боль острая и постоянная. Плюс, тогда пациент сам может определить, что его беспокоит конкретный зуб. В вашем случае, как я понимаю, такого нет. Да и судя по снимку, остальные верхние зубы слева в порядке. делала кт 3 раза за годЕсли есть возможность, выкладывайте их тоже. Потому, что на снимке, который вы выложили очень много фоновых шумов, которые создают металлические конструкции во рту(мостовидные протезы). Возможно, по снимкам до изготовления постоянных конструкций будет видно и понятно лучше. Изменено 12 мая, 2020 пользователем It'sGeorgy Ссылка на комментарий
ira. k.. 78 Опубликовано 12 мая, 2020 Автор Поделиться Опубликовано 12 мая, 2020 На КТ, действительно, есть очаг разрежения костной ткани вокруг этого зуба. При этом, сказать, что каналы запломбированы плохо - тоже нельзя. Я не терапевт, но со своей точки зрения вижу ситуацию так, что у зуба, на самой вершине, есть достаточно выраженный изгиб, что создало огромную трудность для доктора, который зуб лечил. Этот изгиб, к сожалению, запломбировать ко конца не получилось, что привело к развитию хронического воспаления.Повторюсь, я подобным лечением не занимаюсь и мое мнение может быть ошибочным. Поэтому, предлагаю подождать, пока вам ответит кто-то из здешних терапевтов. Такие ситуации могут быть от зуба, но тогда боль острая и постоянная. Плюс, тогда пациент сам может определить, что его беспокоит конкретный зуб. В вашем случае, как я понимаю, такого нет. Да и судя по снимку, остальные верхние зубы слева в порядке. Если есть возможность, выкладывайте их тоже. Потому, что на снимке, который вы выложили очень много фоновых шумов, которые создают металлические конструкции во рту(мостовидные протезы). Возможно, по снимкам до изготовления постоянных конструкций будет видно и понятно лучше.спасибо огромное за ответ, постараюсь в ближайшее время скачать другие кт. А подскажите, поможет в моем случае резекция корня Ссылка на комментарий
It'sGeorgy Опубликовано 12 мая, 2020 Поделиться Опубликовано 12 мая, 2020 А подскажите, поможет в моем случае резекция корня Опять же, лучше подождать терапевта и услышать их мнение. Я думаю, что да, вам поможет резекция с условием, что она будет проведена вместе с ретроградной пломбировкой канала. Ссылка на комментарий
ira. k.. 78 Опубликовано 12 мая, 2020 Автор Поделиться Опубликовано 12 мая, 2020 Опять же, лучше подождать терапевта и услышать их мнение. Я думаю, что да, вам поможет резекция с условием, что она будет проведена вместе с ретроградной пломбировкой канала.доктор, я нашла кт за март 2019 года, сейчас дам вам ссылку, это до протезирования. Скажите а штифт не помешает для ретроградного пломбирования, или его надо как то убирать? Ссылка на комментарий
ira. k.. 78 Опубликовано 12 мая, 2020 Автор Поделиться Опубликовано 12 мая, 2020 Опять же, лучше подождать терапевта и услышать их мнение. Я думаю, что да, вам поможет резекция с условием, что она будет проведена вместе с ретроградной пломбировкой канала.https://yadi.sk/d/p_IZUF9f9mDWvA Ссылка на комментарий
ira. k.. 78 Опубликовано 12 мая, 2020 Автор Поделиться Опубликовано 12 мая, 2020 Опять же, лучше подождать терапевта и услышать их мнение. Я думаю, что да, вам поможет резекция с условием, что она будет проведена вместе с ретроградной пломбировкой канала.https://yadi.sk/d/p_IZUF9f9mDWvA Ссылка на комментарий
ira. k.. 78 Опубликовано 12 мая, 2020 Автор Поделиться Опубликовано 12 мая, 2020 Опять же, лучше подождать терапевта и услышать их мнение. Я думаю, что да, вам поможет резекция с условием, что она будет проведена вместе с ретроградной пломбировкой канала. доктор отправила вам ссылку, посмотрите пожалуйста. Извините за повтор сообщений, запуталась в ссылках Ссылка на комментарий
It'sGeorgy Опубликовано 13 мая, 2020 Поделиться Опубликовано 13 мая, 2020 (изменено) Скажите а штифт не помешает для ретроградного пломбирования, или его надо как то убирать? Штифт ставится не на всю длину канала, поэтому вряд ли он помешает. Выделил его красным на прикрепленном снимке. я нашла кт за март 2019 года, сейчас дам вам ссылку, это до протезирования. Сохраните этот снимок куда-нибудь отдельно, чтобы не потерять его. Он четче и информативнее. Изменено 13 мая, 2020 пользователем It'sGeorgy Ссылка на комментарий
ira. k.. 78 Опубликовано 13 мая, 2020 Автор Поделиться Опубликовано 13 мая, 2020 Штифт ставится не на всю длину канала, поэтому вряд ли он помешает. Выделил его красным на прикрепленном снимке. Спасибо доктор. Это у меня киста или что это? Сохраните этот снимок куда-нибудь отдельно, чтобы не потерять его. Он четче и информативнее. Ссылка на комментарий
Рекомендуемые сообщения
Для публикации сообщений создайте учётную запись или авторизуйтесь
Вы должны быть пользователем, чтобы оставить комментарий
Создать аккаунт
Зарегистрируйте новый аккаунт в нашем сообществе. Это очень просто!
Регистрация нового пользователяВойти
Уже есть аккаунт? Войти в систему.
Войти