Перейти к содержанию
Стоматология для всех

Дополнительный зуб. Что делать?


Aveda

Рекомендуемые сообщения

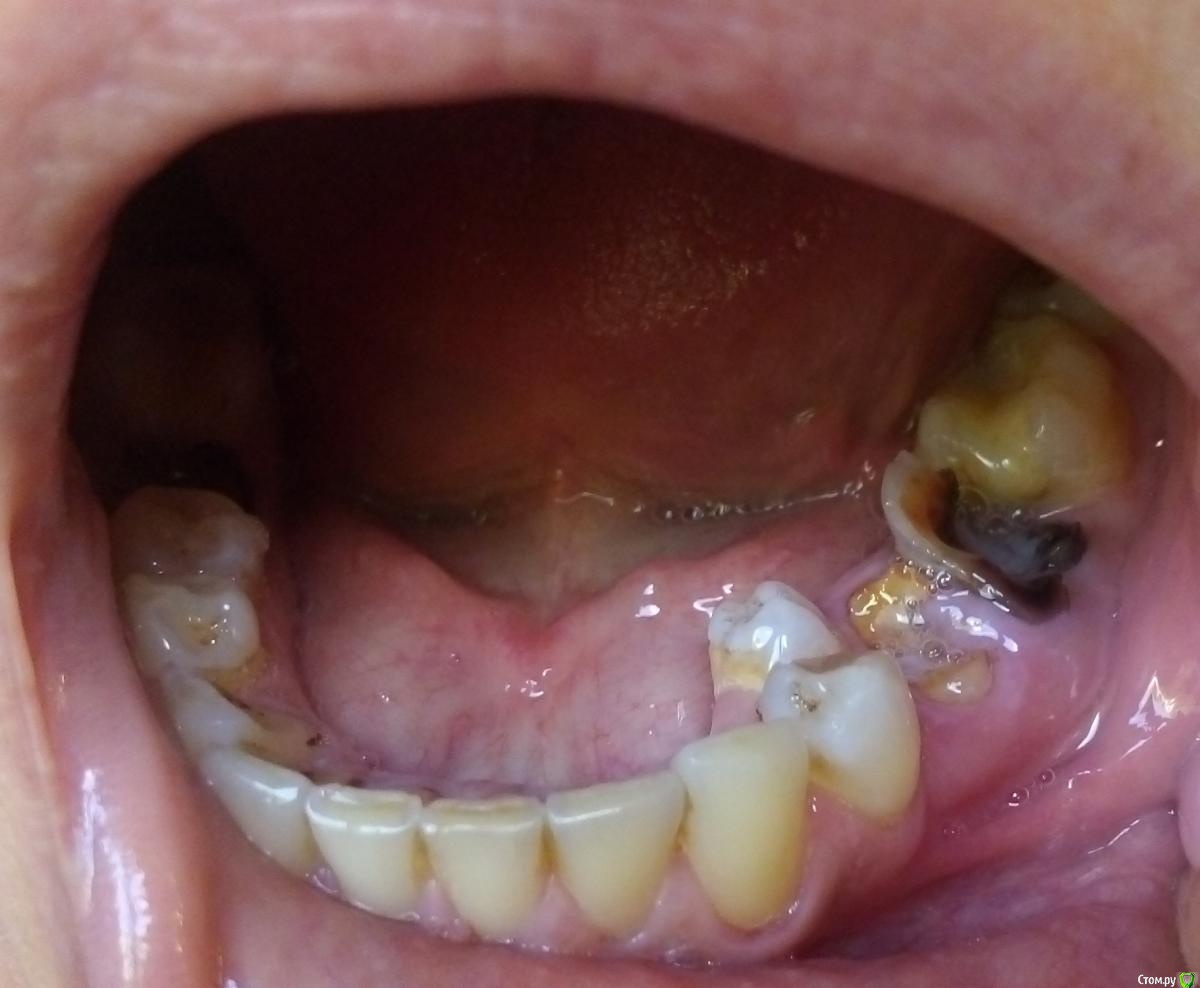
Здравствуйте! У меня есть дополнительный зуб. Рядом стоящий 5 и 6 под удаление (корни плохие). Снимки к сожалению остались на компьютере в клинике. В одной клинике предлагали все три удалить и поставить мост. В другой предложили 6-ку удалить и поставить имплант. Дополнительный выдернуть и посадить вместо 5-ки. И вот хотела спросить возможно ли 5-ку удалить, а дополнительный сам на место со временем встанет или нужны брекеты? Или оно того не стоит...и можно согласиться на пересадку? И вообще в моей ситуации что было бы правильным что ли по надёжности и здравому смыслу? Заранее спасибо!

post-60384-0-09925800-1589203070_thumb.jpg

Ссылка на комментарий

Для публикации сообщений создайте учётную запись или авторизуйтесь

Вы должны быть пользователем, чтобы оставить комментарий

Создать аккаунт

Зарегистрируйте новый аккаунт в нашем сообществе. Это очень просто!

Регистрация нового пользователя

Войти

Уже есть аккаунт? Войти в систему.

Войти
×
×
  • Создать...
Вверх