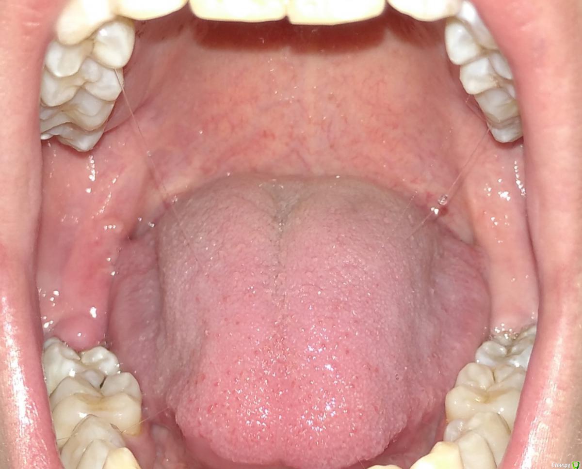
XZID Опубликовано 5 мая, 2020 Поделиться Опубликовано 5 мая, 2020 Буквально на днях(день-два)образовалась шишка. Болей сильных не доставляет, но дискомфорт ощущается. Что это? Ссылка на комментарий
XZID Опубликовано 5 мая, 2020 Автор Поделиться Опубликовано 5 мая, 2020 Вот фото. Ссылка на комментарий
XZID Опубликовано 5 мая, 2020 Автор Поделиться Опубликовано 5 мая, 2020 Ещё раз пробую. Ранее фото не загрузилось. Ссылка на комментарий
dentikl Опубликовано 6 мая, 2020 Поделиться Опубликовано 6 мая, 2020 сделайте панорамный рентген,увидите как расположен 8 и решите его судьбу.Или сразу к хирургу стоматологу,это-его парафия Ссылка на комментарий
Рекомендуемые сообщения
Для публикации сообщений создайте учётную запись или авторизуйтесь
Вы должны быть пользователем, чтобы оставить комментарий
Создать аккаунт
Зарегистрируйте новый аккаунт в нашем сообществе. Это очень просто!
Регистрация нового пользователяВойти
Уже есть аккаунт? Войти в систему.
Войти