НинаГ Опубликовано 29 апреля, 2020 Поделиться Опубликовано 29 апреля, 2020 Здравствуйте!Мне 40 лет,чищу зубы,как положено,к стоматологу хожу каждые пол-года, прохожу раз в год гигиеническую чистку с курсом кальция на придесневую область и последующим покрытием препаратами фтора. 2 курса электрофореза,аппликации с фторсодержащими пастами не помогли ничем. Проблема: множественный пришеечный кариес,кариес в стадии белого пятна,всё это стремительно,нижние зубы немного ноют из-за этого.Стоматолог посоветовала к эндкринологу сходить. Была у эндокринолога,он нашёл дефицит вит Д,сейчас принимаю препарат по назначению, уже норма.Есть колебания по щитовидке,но обходусь только препаратами йода.Эндокринолог не видит причин для такой порчи зубов. Вопрос:встречались ли в практике подобные случаи?есть ли особые причины для этого? Можно ли это вообще лечить приемом лекарств внутрь,а не просто ставить пломбы,которые и стоят не очень-на нижнем зубе пломба вылетала 2 раза,прежде чем стала окончательно?можно ли это остановить? Ссылка на комментарий
red_butler Опубликовано 29 апреля, 2020 Поделиться Опубликовано 29 апреля, 2020 http://forum.stom.ru/topic/20613-sovety-patcientam-obiazatelno-k-prochteniiu/ 1 Ссылка на комментарий
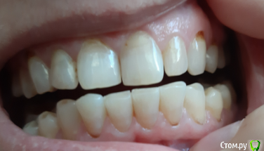
НинаГ Опубликовано 29 апреля, 2020 Автор Поделиться Опубликовано 29 апреля, 2020 http://forum.stom.ru/topic/20613-sovety-patcientam-obiazatelno-k-prochteniiu/Фото прикладывала, возможно что-то пошло не так. Прикреплю повторно, спасибо. Ссылка на комментарий
Дмитрий Л. Опубликовано 30 апреля, 2020 Поделиться Опубликовано 30 апреля, 2020 Нужна комплексная ортодонтическая и ортопедическая реабилитация. Ссылка на комментарий
DmitrySH Опубликовано 30 апреля, 2020 Поделиться Опубликовано 30 апреля, 2020 Проблема: множественный пришеечный кариес,кариес в стадии белого пятна,всё это стремительно,нижние зубы немного ноют из-за этого. У Вас зубы разрушаются не от кариеса. Есть признаки патологической стираемости. Кариес может и присоединяется, но уже потом. Разбираться с ситуацией нужно начиная с очной консультации ортодонта и ортопеда. Как выше уже коллега написал 1 Ссылка на комментарий
НинаГ Опубликовано 30 апреля, 2020 Автор Поделиться Опубликовано 30 апреля, 2020 (изменено) У Вас зубы разрушаются не от кариеса. Есть признаки патологической стираемости. Кариес может и присоединяется, но уже потом. Разбираться с ситуацией нужно начиная с очной консультации ортодонта и ортопеда. Как выше уже коллега написалСпасибо за ответ и Вам и Вашему коллеге,конечно. Стоматологи мне говорили про патологическую стираемость,но никто не говорил о причинах её возникновения и каком-либо лечении.Так это вопрос к ортопедам и ортодонтам,а не к терапевтам? Изменено 30 апреля, 2020 пользователем НинаГ Ссылка на комментарий
red_butler Опубликовано 30 апреля, 2020 Поделиться Опубликовано 30 апреля, 2020 Нужно ещё посмотреть общее здоровье, возможно потребуется консультация гастроэнтеролога. Покопаться в вашей диете... цитрусовые часто едите? И тд. ТпУровень индивидуальной гигиены и навыки Вы сами оценивали? Или от врача оценку получили? Ссылка на комментарий
Марья Моревна Опубликовано 30 апреля, 2020 Поделиться Опубликовано 30 апреля, 2020 Сладкие газированные напитки популярных брендов если употребляете,лучше исключить. Ссылка на комментарий
НинаГ Опубликовано 30 апреля, 2020 Автор Поделиться Опубликовано 30 апреля, 2020 Нужно ещё посмотреть общее здоровье, возможно потребуется консультация гастроэнтеролога. Покопаться в вашей диете... цитрусовые часто едите? И тд. ТпУровень индивидуальной гигиены и навыки Вы сами оценивали? Или от врача оценку получили?Общее здоровье:хр. бронхит,дефицит вит Д(врач сказал,что из-за этого не усваивается и кальций),повышенный пролактин,немного плавает ТТГ(всё это лечится назначенными врачом препаратами). Бывает изжога,пью Омез,даже фгс делала, там был доуденит,небльшой очаг,больше нареканий не было,назначения соблюдала. Цитрусовые,кислые ягоды,фрукты почти не ем,так,по случаю,газировки пить перестала,вот сладкое люблю,это да.Возможно это влияет на скорость образования налёта?По поводу гигиены,технику чистки зубов мне рассказывали врачи,как пользоваться нитью,тоже. Ополаскиватели вызывают появление "заедов". Но,скорее,это моя оценка. Слышала,есть какое-то средство,которое используется для определения качества чистки, что-то вроде состава,окрашивающего налёт, если он остался,но не знаю,как называется. Ссылка на комментарий
shishok Опубликовано 1 мая, 2020 Поделиться Опубликовано 1 мая, 2020 Таблетки "Динал"(индикатор зубного налета) Ссылка на комментарий
НинаГ Опубликовано 1 мая, 2020 Автор Поделиться Опубликовано 1 мая, 2020 Таблетки "Динал"(индикатор зубного налета)Спасибо. Ссылка на комментарий
Рекомендуемые сообщения
Для публикации сообщений создайте учётную запись или авторизуйтесь
Вы должны быть пользователем, чтобы оставить комментарий
Создать аккаунт
Зарегистрируйте новый аккаунт в нашем сообществе. Это очень просто!
Регистрация нового пользователяВойти
Уже есть аккаунт? Войти в систему.
Войти