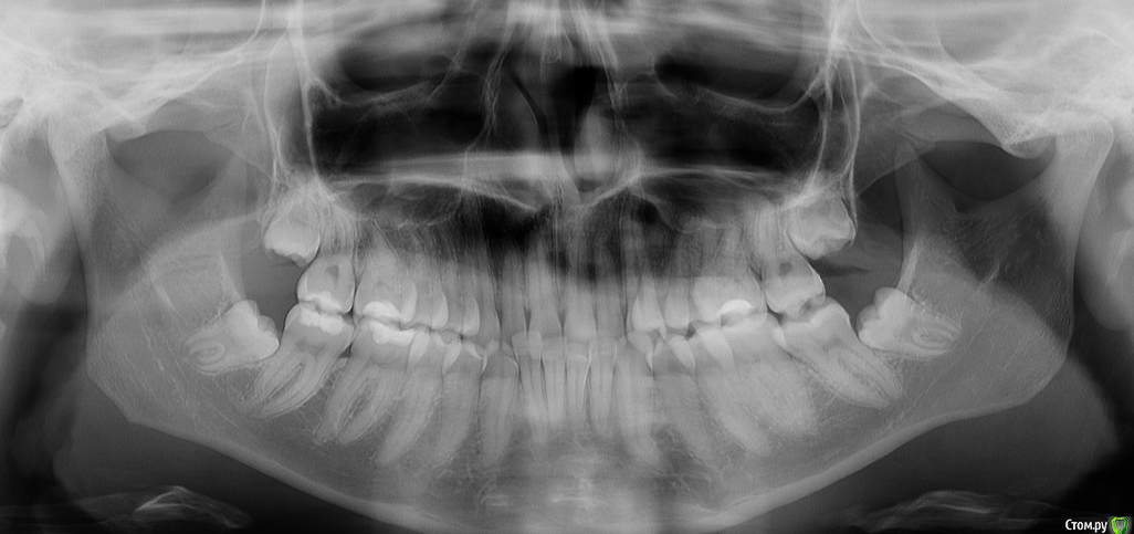
Ann15 Опубликовано 29 апреля, 2020 Поделиться Опубликовано 29 апреля, 2020 (изменено) Добрый день! Мне 23 года, хочу поставить себе брекеты. В связи с карантином удалось посетить только двух специалистов, мнения которых по поводу меня разошлись.1- ортодонт, к которой пошла почти наобум, по принципу "близко и вроде клиника неплохая". Сразу сказала о необходимости удалять восьмерки (все непрорезавшиеся, но все есть)2 - ортодонт с очень большим опытом и хорошими отзывами, она сразу проголосовала за мое лечение элайнерами, уверяя, что у меня ничего страшного, и случай нетяжелый. По итогу 3д диагностики насчитали 30 и 32 капы, что вышло в копеечку. Я начала сомневаться, что случай действительно легкий. Также на выбор мне предложили два плана моделирования (НЧ по итогу выдвигается вперед или не выдвигается) и сказали выбрать. 1) Может ли такое быть в ортодонтии? Разве не доктор должен определить, какой прикус правильнее с учетом истираемости зубов и т.п.? Если бы не опыт и рекомендации знакомых, точно бы засомневалась в квалификации. Не хочется из-за мнительности отказываться от лечения у хорошего спеца, неважно, на брекетах или элайнерах. По восьмеркам: сказала, что удалять не надо, если не хочу, и если удалить все-таки, то лечение будет более сложное и долгое2) Что в итоге надо делать с восьмерками? Я со своей непрофессиональной колокольни выступаю за "вырвать и забыть", но знаю, что некоторые врачи против удаления восьмерок. Действительно ли отсутсвие/наличие восьмерок не повлияет на ретенцию и может ли их отсутствие осложнить лечение?Снимок прикладываю Изменено 29 апреля, 2020 пользователем Ann15 Ссылка на комментарий
red_butler Опубликовано 29 апреля, 2020 Поделиться Опубликовано 29 апреля, 2020 Ваши третьи моляры удалять по любому. Данный раздел требует больший объём данных http://forum.stom.ru/topic/4655-patcientam/ 1 Ссылка на комментарий
Ann15 Опубликовано 29 апреля, 2020 Автор Поделиться Опубликовано 29 апреля, 2020 (изменено) Спасибо за мнение! Изменено 29 апреля, 2020 пользователем Ann15 Ссылка на комментарий
Рекомендуемые сообщения
Для публикации сообщений создайте учётную запись или авторизуйтесь
Вы должны быть пользователем, чтобы оставить комментарий
Создать аккаунт
Зарегистрируйте новый аккаунт в нашем сообществе. Это очень просто!
Регистрация нового пользователяВойти
Уже есть аккаунт? Войти в систему.
Войти