Перейти к содержанию
Стоматология для всех

Большая просьба помогите советами или мнением!


lader

Рекомендуемые сообщения

Делюсь своей бедой. Сам по жизни не чем не болел вообще, занимался спортом . Проблемы были  только по части верхних  зубов, в  декабре  пломба 27  (без пломбировки каналов) и удаление 16. Удаление было сложное , большой пенёк был. Через месяц ещё осколки вышли( они были как пласмасовые).  И после этого меня как подкосило! Температура   иногда 37.2, потливость, упадок сил, боли в мыщцах ног, сон плохой. Нос закладывает поочерёдно, такое ощущение как будто мел там, без соплей. Не могу восстановится до сих пор! Пять месяцев прошло! Работать не могу!  Чувствую себя как старый дед. Я думаю всё это связанно или с удалением 16 зуба или с 27 зубом.

Лежал в больнице, все анализы ,узи, всё в норме. Чувствую воспалительный процесс где-то в  ротовой полости. Дёсна красные на краях, там где переходят в нёбо, особенно слева за 27 зубом. (на фото видно) 

Просьба ко всем не равнодушным! Глянуть КТ верхней челюсти, 27 зуб  и место где удалили 16, может ещё где-то могут быть проблемы.  На фото видно где покраснение на дёснах, в этих местах возникают боли при движении головой. Бывает боль слева если засыпаю на левой стороне. Набуханий или флюсов нигде не видно.Прошу делиться мнениями, для меня это очень - очень важно. Стоматолог визуальных проблем на месте удалённого зуба не видит, всё зажило.

Пока могу сказать, что поход к стоматологу сломал мне жизнь, не знаю сколько так ещё продержусь, нет сил психологических совсем... До этого ведь никаких проблем со здоровьем не было...

 


панорамный снимок за 13.12.2019  https://radikal.ru/users/lader#img=6220391061&rnd=5

 


post-59454-0-65426500-1588012853_thumb.jpg

post-59454-0-44806000-1588012873_thumb.jpg

  • Поддерживаю 1
Ссылка на комментарий

https://drive.google.com/file/d/1K03lKnDrcnQZb8CG_1X6Dh9SoFVXGDPm/view?usp=sharing Вот рабочая ссылка на КТ!!! Преждняя вроде тоже работает нужно нажать "Всёравно скачать"

post-59454-0-94510800-1588069648_thumb.jpg

post-59454-0-00081000-1588069669_thumb.jpg

post-59454-0-59943700-1588069718_thumb.jpg

post-59454-0-38294900-1588069733_thumb.jpg

post-59454-0-80067200-1588069744_thumb.jpg

post-59454-0-26309000-1588070037_thumb.jpg

post-59454-0-36806300-1588070047_thumb.jpg

post-59454-0-42422100-1588070063_thumb.jpg

Изменено пользователем lader
Ссылка на комментарий

 

 

Пока могу сказать, что поход к стоматологу сломал мне жизнь, не знаю сколько так ещё продержусь, нет сил психологических совсем... До этого ведь никаких проблем со здоровьем не было...
 

Дружище,ну во первых не гневите Господа сломанной жизнью. Сломанная жизнь- это про другое.( вы только подумайте,например, скольким людям пять месяцев назад поставили разные страшные диагнозы и они не упали духом.)

Во вторых,если чувствуете что проблема есть,то не ищите её решения в интернете,а идите на приём! И если один доктор не видит ничего,то идите к другому.Благо,сейчас это не проблема,особенно в городе. Наш организм довольно самодостаточен, и я уверен он сам вам подскажет в чём дело. но только не зацикливайтесь и не падайте духом! Удачи вам!

  • Поддерживаю 3
  • Не поддерживаю 1
Ссылка на комментарий

Живу не в Харькове, а в области, у нас все стоматологические кабинеты закрыты на время карантина, и даже без карантина никто не умеет работать с кт.  Я действительно  очень нуждаюсь в совете или мнении ...

Изменено пользователем lader
Ссылка на комментарий

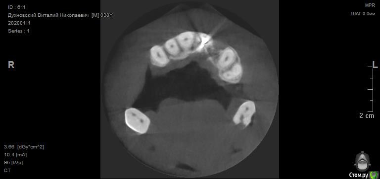
температура иногда бывает 37.2. ну чувствую себя как будто 38.5.по общему анализу крови было без особых отклонений. Может ли после удаления зуба долго идти  не заметный вялотекущий воспалительный процесс в десне?  Может 27 является источником инфекции? Там на снимке видна скрытая полость.

Не знаю как точно обьяснить но возникает такое ощущение, что зубы и дёсна как будто какие-то мягкие, как будто пластмасовые). И нос сильно сушит и закладывает.

post-59454-0-65676400-1588172802_thumb.jpg

post-59454-0-11268900-1588173251_thumb.jpg

Изменено пользователем lader
Ссылка на комментарий

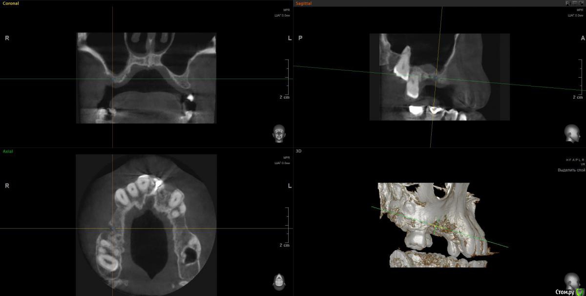
По данным КТ в зоне удалённого зуба 16 ничего особенного, разве что, ретенированный (непрорезавшийся) зуб 18.

post-36287-0-90911500-1588279063_thumb.jpgpost-36287-0-97227600-1588279078_thumb.jpg

 

Зуб 27 требует внимания, необходим очный осмотр.

post-36287-0-77825500-1588279171_thumb.jpgpost-36287-0-95078200-1588279182_thumb.jpgpost-36287-0-74958400-1588279205_thumb.jpg

 

Также стоит обратить внимание на зубы 21 и 24

post-36287-0-18984200-1588279971_thumb.jpgpost-36287-0-36143400-1588279985_thumb.jpg

 

post-36287-0-72369500-1588280018_thumb.jpgpost-36287-0-55477600-1588280036_thumb.jpg

 

 

Изменено пользователем wladdX
Ссылка на комментарий

Для публикации сообщений создайте учётную запись или авторизуйтесь

Вы должны быть пользователем, чтобы оставить комментарий

Создать аккаунт

Зарегистрируйте новый аккаунт в нашем сообществе. Это очень просто!

Регистрация нового пользователя

Войти

Уже есть аккаунт? Войти в систему.

Войти
×
×
  • Создать...
Вверх