IAmValeria Опубликовано 12 апреля, 2020 Поделиться Опубликовано 12 апреля, 2020 Здравствуйте. Месяц назад мне удалили под местной анестезией восьмёрку нижнюю слева, которая упиралась в семёрку. И в восьмёрке и в семёрке был кариес. Практически сразу после удаления заболели практически все зубы с этой стороны внизу, с концентрацией боли в клыке. Потом через 2 недели вылечили семерку, тоже под местной анестезией, анестезия ещё была в самом разгаре, а клыки заболели все сильнее. То есть после анестезии стало ещё хуже, просто невыносимо. Теперь мучают каждый день периодические боли, могут длиться 5 минут, могут несколько часов. Болят все зубы слева внизу, иногда и наверху тоже. В моменты приступов до зубов невозможно дотрагиваться. Подскажите, пожалуйста, что это может быть? Я уже измучилась. Ходила к врачам, ничего плохого не видят. На данный момент предположили, что могли задеть нерв в момент удаления, но что-то я слабо в это верю. Пью фенлипсин уже 5 дней, улучшений нет. Я очень устала от боли. Прилагаю свои снимки до и после удаления. Прошу, помогите. Ссылка на комментарий
Zlata-doctor Опубликовано 12 апреля, 2020 Поделиться Опубликовано 12 апреля, 2020 что делали с 7 зубом? Есть актуальный снимок? Ссылка на комментарий
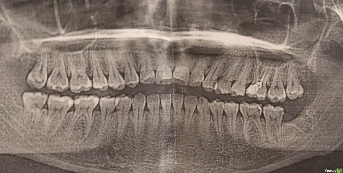
IAmValeria Опубликовано 12 апреля, 2020 Автор Поделиться Опубликовано 12 апреля, 2020 что делали с 7 зубом? Есть актуальный снимок?Вот снимок, буквально пару дней назад сделан. В семёрке лечили кариес. Ссылка на комментарий
St. Опубликовано 12 апреля, 2020 Поделиться Опубликовано 12 апреля, 2020 (изменено) А как болят и где именно? Попробуйте описать максимально подробно.Например: от холодного-горячего болят или сами по себе или при жевании?Больше с утра, в середине дня, к вечеру или в разное время?Какая боль - остро стреляет, тянет, ноет, распирает? Между приступами боли совсем ничего не беспокоит или фоново что-то чувствуется?Боль куда-то отдает или четко локализована в одной точке?Что-то помогает снять боль или проходит сама?Принимали ли обезболивающие типа Ибупрофена или Нимесила? Помогает ли? Изменено 12 апреля, 2020 пользователем St. 1 Ссылка на комментарий
IAmValeria Опубликовано 13 апреля, 2020 Автор Поделиться Опубликовано 13 апреля, 2020 А как болят и где именно? Попробуйте описать максимально подробно.Например: от холодного-горячего болят или сами по себе или при жевании?Больше с утра, в середине дня, к вечеру или в разное время?Какая боль - остро стреляет, тянет, ноет, распирает? Между приступами боли совсем ничего не беспокоит или фоново что-то чувствуется?Боль куда-то отдает или четко локализована в одной точке?Что-то помогает снять боль или проходит сама?Принимали ли обезболивающие типа Ибупрофена или Нимесила? Помогает ли?Попробую описать. Боли начались с клыка слева, с той стороны, где удаляли зуб. Сразу после удаления, как только отошла анестезия. Через две недели после удаления было принято решение пролечить семёрку. Лечу я всегда в анестезией. После анестезии, ещё во время нее, в процессе заморозки, может, через 30 минут после укола началась дикая боль в клыке и рядом стоящих зубах. Сильнее, чем прежде. Боль такая, словно зуб очень чувствительный, когда бывает эмаль реагирует на сладкое, например. Только она не проходит. Словно включается по кнопке и так же выключается. Не пульсирует, не стреляет. Боль словно одной тональности. Иногда она невыносимая. Я бы не сказала, что она усиливается от горячего/холодного или во время приема пищи. Когда у меня ничего не болит, я спокойно ем и пью что горячее, что холодное. Во время приступа мне больно даже прикасаться к зубам на этой стороне. За день таких приступов может быть порядка 5-10. Некоторые проходят за 5-10 минут, некоторые длятся несколько часов. Обычно к вечеру боль и продолжительность усиливаются. Обычно я сплю хорошо, но два раза просыпалась от невыносимых приступов, которые длились около 10 минут. Боль сконцентрирована в клыке, потом она доходит до передних зубов и до 7 по той же стороне, что и клык (по левой), но самая сильная боль всегда в клыке и рядом стоящих с ним зубах. На всякий случай я прикрепляю и снимок клыка. И фото с обратной стороны тоже. Клык кривоват. Вообще, это снимок четверки, но и клык там есть. Когда у меня не приступ, в клыке и примыкающих зубах все равно неприятное ощущение, словно натруженности, но оно незначительное. Я пробовала пить пенталгин и пенталгин-H, иногда помогает, иногда нет. Зависимости нет. Пенталгин-H помогает лучше, чем пенталгин. Так же перед лечением семёрки врач 9 дней покрывал зубы фторлаком. Пожалуйста, помогите мне. Поймите, я не сумасшедшая, которая ищет советов в интернете и не хочет идти к врачу. Меня смотрели 4 опытных врача. К какому-то решению не пришли. Мне кажется иногда, что я схожу с ума от боли. Ссылка на комментарий
Дмитрий Л. Опубликовано 13 апреля, 2020 Поделиться Опубликовано 13 апреля, 2020 Боли до удаления 8ки не было? Ссылка на комментарий
IAmValeria Опубликовано 13 апреля, 2020 Автор Поделиться Опубликовано 13 апреля, 2020 Боли до удаления 8ки не было?Нет, абсолютно. Ссылка на комментарий
Дмитрий Л. Опубликовано 13 апреля, 2020 Поделиться Опубликовано 13 апреля, 2020 Возьмите кусочек льда и приложите к шестому зубу. Почувствуете холод или боль. Отсчитайте сколько секунд будет длится это чувство. Потом это же повторите со здоровым недепульпированным зубом верхней челюсти. После этого повторите тест с клыком. Длительность холода или боли напишите тут.Финлепсин отменяйте. После этих тестов начните прием нимесулида по 1 г 2 рд после еды и мильгаммы. Мильгамму лучше внутримышечно. Принимать неделю. 1 Ссылка на комментарий
shishok Опубликовано 13 апреля, 2020 Поделиться Опубликовано 13 апреля, 2020 А в клыке пломба стоит? Ссылка на комментарий
St. Опубликовано 13 апреля, 2020 Поделиться Опубликовано 13 апреля, 2020 Ситуация и правда не стандартная... И то что Вы ищете решение - это абсолютно нормально, ничего плохого). Вариантов может быть несколько.1й воспалился нерв в клыке (по фото кажется в нем есть пломба, правильно?). Проверить проще у стоматолога специальным очень холодным спреем, но можно и дома, конечно не так точно, приложив маленькую ледышку к зубу. Решается относительно быстро лечением корневых каналов. Но смущает время появления боли.. Хотя совпадения пусть и редко, но тоже встречаются.2й во время удаления зуба мудрости травмировался нерв, так бывает когда корни зуба находятся совсем рядом с нервом. Решается уже сложнее дольше. Подтверждается исключением проблем с зубами. Ссылка на комментарий
IAmValeria Опубликовано 13 апреля, 2020 Автор Поделиться Опубликовано 13 апреля, 2020 Возьмите кусочек льда и приложите к шестому зубу. Почувствуете холод или боль. Отсчитайте сколько секунд будет длится это чувство. Потом это же повторите со здоровым недепульпированным зубом верхней челюсти. После этого повторите тест с клыком. Длительность холода или боли напишите тут.Финлепсин отменяйте. После этих тестов начните прием нимесулида по 1 г 2 рд после еды и мильгаммы. Мильгамму лучше внутримышечно. Принимать неделю.Прикладывала сейчас лёд к семёрке, шестёрке и клыку. Чувствую холод, ощущения проходят сразу после того, как убираю лёд. То есть длятся максимум секунду-две. В клыке есть остаточные неприятные ощущения, которые постепенно переросли в лёгкие болевые. Но терпеть можно, за этот месяц у меня болело гораздо сильнее. Предложенное Вами лечение поняла, сейчас только постепенно закруглюсь с финлепсином, его нельзя бросать в один день, меня предупредил невролог, нужно постепенно снижать дозу, иначе могут быть судороги и т.д. Ссылка на комментарий
IAmValeria Опубликовано 13 апреля, 2020 Автор Поделиться Опубликовано 13 апреля, 2020 А в клыке пломба стоит?Нет, в клыке пломбы нет, может, так кажется, потому что он кривоват и как бы заходит за другой зуб? Ссылка на комментарий
IAmValeria Опубликовано 13 апреля, 2020 Автор Поделиться Опубликовано 13 апреля, 2020 Ситуация и правда не стандартная... И то что Вы ищете решение - это абсолютно нормально, ничего плохого). Вариантов может быть несколько.1й воспалился нерв в клыке (по фото кажется в нем есть пломба, правильно?). Проверить проще у стоматолога специальным очень холодным спреем, но можно и дома, конечно не так точно, приложив маленькую ледышку к зубу. Решается относительно быстро лечением корневых каналов. Но смущает время появления боли.. Хотя совпадения пусть и редко, но тоже встречаются.2й во время удаления зуба мудрости травмировался нерв, так бывает когда корни зуба находятся совсем рядом с нервом. Решается уже сложнее дольше. Подтверждается исключением проблем с зубами.Пломбы в клыке нет. Тест со льдом я провела, описала чуть выше. Вот уже 10 минут в клыке сохраняются лёгкие болевые ощущения. Не знаю, вызваны ли они льдом, потому что клык постоянно рандомно болит.Периодически так же болит зуб над клыком, но не сильно.Я, конечно, надеюсь, что будет найдена стоматологическая причина и нерв не будет поврежден, но деваться некуда, я уже через все это прохожу. Ссылка на комментарий
Дмитрий Л. Опубликовано 13 апреля, 2020 Поделиться Опубликовано 13 апреля, 2020 Количество и продолжительность приступов уменьшается или увеличивается? Ссылка на комментарий
IAmValeria Опубликовано 13 апреля, 2020 Автор Поделиться Опубликовано 13 апреля, 2020 Количество и продолжительность приступов уменьшается или увеличивается?Остаётся неизменным. Бывают очень спокойные дни. Бывают очень беспокойные. Но я ни с чем это не могу связать. В основном стабильно приступов пять в день. С длительным вечерним, который иногда перетекает в ночь. Иногда приступ не проходит без обезболивающего. Иногда обезболивающее не помогает. Ссылка на комментарий
Дмитрий Л. Опубликовано 13 апреля, 2020 Поделиться Опубликовано 13 апреля, 2020 Травмы не было клыка? Боль при накусывании или постукивании, или надавлевании на клык горизонтально или вертикально? Ссылка на комментарий
IAmValeria Опубликовано 13 апреля, 2020 Автор Поделиться Опубликовано 13 апреля, 2020 Травмы не было клыка? Боль при накусывании или постукивании, или надавлевании на клык горизонтально или вертикально?Травмы клыка точно не было.Он начал болеть сразу после удаления и двух анестезией, после второй боль усилилась. Когда приступ - больно постукивать, в остальное время нет. Но надавливать и пальцем, и языком всегда неприятно. Я словно всегда его чувствую. Он словно поднывает, как когда сильно надкусишь что-то жесткое случайно (только с клыком такого не случалось). И болит он так постоянно, а в моменты приступов боль становится в сотню раз сильнее. У меня словно болит постоянно место, где клык расположен в десне. В моменты приступов мне больно даже "погладить" клык и соседние зубы пальцем. Ещё такое примечание, о котором я подумала только сегодня. Мог ли при удалении восьмёрки остаться корень? Снимки до и после удаления в самом первом моем посте. Может,это корень тревожит нерв? Простите за мой обывательский язык. Просто доктор долго не могла найти второй корень в ране, потом отправила на рентген, сказала, что там его нет, значит, он вышел со сгустком крови. Ссылка на комментарий
St. Опубликовано 13 апреля, 2020 Поделиться Опубликовано 13 апреля, 2020 Мог ли при удалении восьмёрки остаться корень? По снимку после удаления все ок. доктор долго не могла найти второй корень в ране, потом отправила на рентген, Зубы мудрости иногда очень коварны и в плане обезболивания и в плане удаления. Ссылка на комментарий
Zlata-doctor Опубликовано 13 апреля, 2020 Поделиться Опубликовано 13 апреля, 2020 Валерия, добрый день! Я очень Вам сочувствую.Я думаю,что у вас скоро все должно пойти на улучшение.Я считаю, что причина болей не в конкретном зубе. Во-первых, слишком долго все это продолжается. Обычно осложненный кариес с интенсивными болями довольно быстро ( за несколько дней) куда-то разрешается: или проходит боль, то есть переходит в хроническую фазу, или обостряется с отеком и даже гноем итд. У вас более месяца ничего этого нет. Поэтому можно думать о причине непосредственно в области удаленного зуба. Тем более, что был удален зуб мудрости, который чаще всего и дает такие осложнения. Поэтому я бы очень осторожно предпринимала попытки лечить другие зубы в этой области!!! Это необоснованно!!Честно говоря, ваш снимок не показывает ничего подозрительного. Я думаю, что у вас имеется неврологическое поражение. К сожалению, такое состояние не проходит быстро и очень мучительно. Также нет достоверных данных, что витаминные препараты типа Мильгаммы или какие-то БАДы ускоряют процесс восстановления. Поэтому в такой ситуации остается ждать и обезболиваться. Препарат выбора здесь Габапентин , Лирика-неврологические препараты, которые должен назначить только невролог. Обратитесь к грамотному неврологу и выздоравливайте, пожалуйста. 1 Ссылка на комментарий
IAmValeria Опубликовано 13 апреля, 2020 Автор Поделиться Опубликовано 13 апреля, 2020 Валерия, добрый день! Я очень Вам сочувствую.Я думаю,что у вас скоро все должно пойти на улучшение.Я считаю, что причина болей не в конкретном зубе. Во-первых, слишком долго все это продолжается. Обычно осложненный кариес с интенсивными болями довольно быстро ( за несколько дней) куда-то разрешается: или проходит боль, то есть переходит в хроническую фазу, или обостряется с отеком и даже гноем итд. У вас более месяца ничего этого нет. Поэтому можно думать о причине непосредственно в области удаленного зуба. Тем более, что был удален зуб мудрости, который чаще всего и дает такие осложнения. Поэтому я бы очень осторожно предпринимала попытки лечить другие зубы в этой области!!! Это необоснованно!!Честно говоря, ваш снимок не показывает ничего подозрительного. Я думаю, что у вас имеется неврологическое поражение. К сожалению, такое состояние не проходит быстро и очень мучительно. Также нет достоверных данных, что витаминные препараты типа Мильгаммы или какие-то БАДы ускоряют процесс восстановления. Поэтому в такой ситуации остается ждать и обезболиваться. Препарат выбора здесь Габапентин , Лирика-неврологические препараты, которые должен назначить только невролог. Обратитесь к грамотному неврологу и выздоравливайте, пожалуйста. Спасибо Вам большое за такой подробный и очень человечный ответ, за пожелания выздоровления! С неврологом я консультируюсь, возможно придётся посоветоваться ещё с другими. Уважаемые врачи! Спасибо огромное всем, кто откликнулся в этой теме! Это очень ценно для меня. Все ваши подозрения и советы и обязательно обговорю с лечащими врачами. Если у кого-то возникнут ещё какие-то мысли насчёт возможных причин болей или мысом насчёт моего лечения, я с удовольствием их выслушаю. Если мне станет что-то известно, будет найдена причина, то я так же обязательно отпишусь, потому что понимаю, что случай не самый обычный, думаю, многим будет интересно, что же всё-таки со мной происходит. В любом случае, всем спасибо огромное и низкий поклон за ваш труд! 1 Ссылка на комментарий
Дмитрий Л. Опубликовано 14 апреля, 2020 Поделиться Опубликовано 14 апреля, 2020 Надавите на клык пальцем переменно с разных сторон. Боль или дискомфорт усиливаются во время надавливания, или усиливаются после того, как вы убираете палец? Ссылка на комментарий
IAmValeria Опубликовано 15 апреля, 2020 Автор Поделиться Опубликовано 15 апреля, 2020 Надавите на клык пальцем переменно с разных сторон. Боль или дискомфорт усиливаются во время надавливания, или усиливаются после того, как вы убираете палец?Боль усиливается во время надавливания, но я сейчас второй день принимаю препараты, она уже не такая сильная, от надавливания просто неприятно. Уважаемые врачи! Вчера стоматологи полностью исключили стоматологическую причину моих болей. Мои зубы чистые, ни кариесов, ни пульпитов.Я была на приеме у невролога. Мне был поставлен диагноз: "Нейропатия третьей ветви".Были назначены такие препараты, как Финлепсин (увеличена доза), Нимесулид, Омез и Мильгамма. Нимесулид, конечно, очень снимает боль. С ним прямо жизнь заиграла новыми красками.Но мне в личные сообщения написала девушка, у которой после неудачного лечения случилась дисфункция ВНЧС. Симптомы многие похожи. Это и пугает... Ссылка на комментарий
Дмитрий Л. Опубликовано 15 апреля, 2020 Поделиться Опубликовано 15 апреля, 2020 У вас всё будет хорошо. Пара месяцев уходит на восстановление. Ссылка на комментарий
IAmValeria Опубликовано 16 апреля, 2020 Автор Поделиться Опубликовано 16 апреля, 2020 У вас всё будет хорошо. Пара месяцев уходит на восстановление.Надеюсь. Спасибо Вам большое! Сегодня я смогла выделить ещё один симптом. У меня так начинают болеть зубы после горячего душа. Это о чем-то говорит? Может, признак чего-то? Сегодня принимала душ, чуть дольше обычного, в итоге - ужасно разболелись зубы. А ведь я пью Нимесулид, финлепсин, Мильгамму... Меня практически отпустило и тут опять... Ссылка на комментарий
Рекомендуемые сообщения
Для публикации сообщений создайте учётную запись или авторизуйтесь
Вы должны быть пользователем, чтобы оставить комментарий
Создать аккаунт
Зарегистрируйте новый аккаунт в нашем сообществе. Это очень просто!
Регистрация нового пользователяВойти
Уже есть аккаунт? Войти в систему.
Войти