Lunar Опубликовано 8 апреля, 2020 Поделиться Опубликовано 8 апреля, 2020 Добрый день!Подскажите, пожалуйста, можно ли как-то разрулить ситуацию с левой стороной верхней челюсти..2014-2015гг - удаление 6 зуба, синуслифтинг, имплантация, протезирование. Все этапы отдельно. После синуслифтинга воспалилась пазуха и через n-ные промежутки времени делает это до сих пор и вот прямо сейчас в том числе (3 или 4ю неделю не могу с ней совладать). Ранее антибиотики решили вопрос с носовыми кровотечениями, но с остальной симптоматикой помогают лишь временно. Вместе с пазухой болит 7 зуб (из-за нее, или пазуха из-за зуба - один из вопросов..). Пару недель назад на десне над 7ой образовалось воспаление (гнойник). Сейчас десна поджила, зуб ноет тише, болит уже не половина головы, а только в районе пазухи, температура перестала повышаться. За 5 лет болеть все начинало от переохлаждения, само по себе и после стоматологических манипуляций в области импланта и 7 (раза 3 или 4 делали контакты, тк в промежутки все время все забивается).Тк прижало весьма не вовремя, почти все стоматологии закрыты, я буду очень благодарна, если сможете посмотреть снимки ( скрины кт после удаления, после синус лифтинга и недельной давности, только не уверена в правильности проекций..) и сориентировать по вопросам:1. Воспаление в пазухе связано ли с зубами?2. Депульпирование или удаление 7 зуба поможет снять воспаление? если это возможно определить по снимкам.. 3. Можно ли как-то исправить ситуацию в области импланта, в плане того, что заменить царь-коронку на что-то более компактное, чтобы оно начиналось не в складке, а поближе к остальным зубам? Удалять ли имеющийся?. Попробовать повторно нарастить кость и/или десну.. или только менять коронку, чтобы создать нормальный контакт между зубами, снять воспаление, и можно было бы полноценно пользоваться этой многострадальной стороной..С какой стороны мне вообще к этому всему подступиться или лучше не трогать?Заранее большое спасибо! Ссылка на комментарий
Irouil Опубликовано 8 апреля, 2020 Поделиться Опубликовано 8 апреля, 2020 На мой взгляд надо проверить на витальность 7 зуб, если живой - то сразу к лору, если мёртвый - то лечить эндодонтически и потом к лору, имплантат, вроде бы, не причём Но это не точно, срезы не очень Ссылка на комментарий
Lunar Опубликовано 8 апреля, 2020 Автор Поделиться Опубликовано 8 апреля, 2020 Поняла, спасибо! Ссылка на комментарий
Дмитрий Л. Опубликовано 8 апреля, 2020 Поделиться Опубликовано 8 апреля, 2020 Свежее кт сбросьте Ссылка на комментарий
Lunar Опубликовано 8 апреля, 2020 Автор Поделиться Опубликовано 8 апреля, 2020 (изменено) Свежее кт сбросьтеhttps://yadi.sk/d/FRKX9i80axqaUg Изменено 8 апреля, 2020 пользователем Lunar Ссылка на комментарий
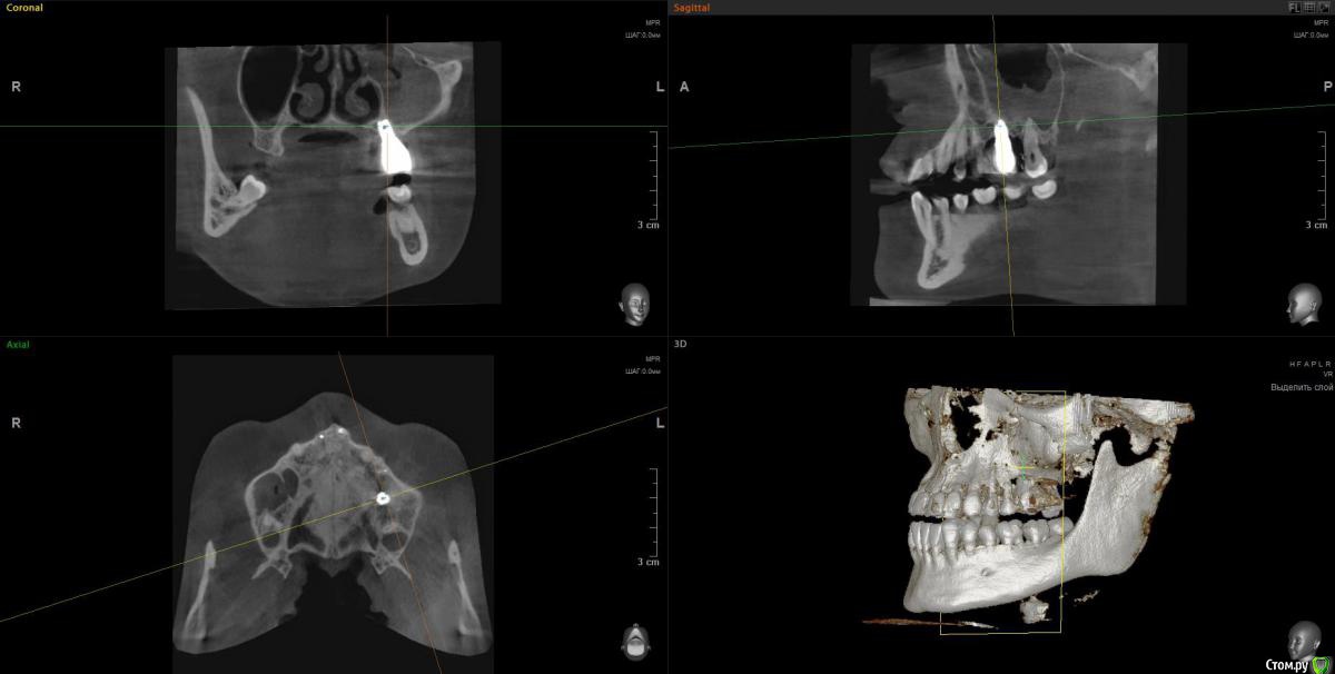
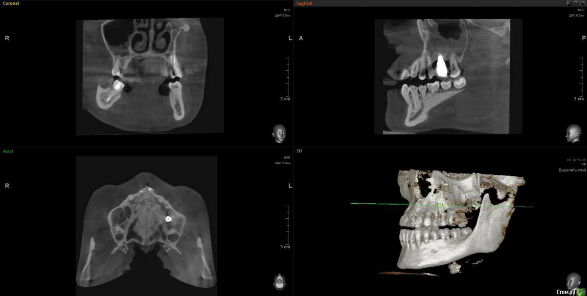
wladdX Опубликовано 9 апреля, 2020 Поделиться Опубликовано 9 апреля, 2020 Несколько скринов Ссылка на комментарий
Lunar Опубликовано 9 апреля, 2020 Автор Поделиться Опубликовано 9 апреля, 2020 Несколько скринов25_1.jpg25_2.jpgimp_1.jpgimp_2.jpg27_1.jpg27_2.jpgспасибо за скрины Ссылка на комментарий
Irouil Опубликовано 9 апреля, 2020 Поделиться Опубликовано 9 апреля, 2020 https://yadi.sk/d/FRKX9i80axqaUgПосмотрел я Ваше КТ. На мой взгляд, проблема чисто ЛОРовская, но... ЛОР врач может придраться к состоянию в полости рта и формально будет прав, поэтому Сначала проверить на витальность 7ку (вероятнее всего все же придётся депульпировать) Клинически осмотреть 5-ку (стоматологу терапевту). Потом к лору. Имплантат к пазухе вообще не имеет никакого отношения 1 Ссылка на комментарий
Lunar Опубликовано 10 апреля, 2020 Автор Поделиться Опубликовано 10 апреля, 2020 Посмотрел я Ваше КТ. На мой взгляд, проблема чисто ЛОРовская, но... ЛОР врач может придраться к состоянию в полости рта и формально будет прав, поэтому Сначала проверить на витальность 7ку (вероятнее всего все же придётся депульпировать) Клинически осмотреть 5-ку (стоматологу терапевту). Потом к лору. Имплантат к пазухе вообще не имеет никакого отношения Начну тогда с семерки. Я привязалась к зубам, а не к носу, тк, например, в октябре на 7 и 5 зубах делали контакты, ибо все опять разъехалось.. и отходит анестезия, семерка начинает болеть, боль уходит в пазуху, и дней 10 все это действо продолжается. Нос дышит, нет насморка, только боль и температура. Само же по себе затихает. И при орви нет осложнений на пазуху. Но и зуб сам по себе не болит. Депульпирую, а дальше.. как пойдет. Думаю про имплант, тк выглядит сейчас все вот так. Очень боюсь потерять 5 и 7. Они чуть подвижны, а приходится там еще все время ковыряться. Влезать во все это или нет, не знаю.. но безумно не хочется лет через 5-10 со съемным протезом ходить) P.S прошу прощения за многобукв.. Спасибо еще раз за ответ Ссылка на комментарий
Irouil Опубликовано 10 апреля, 2020 Поделиться Опубликовано 10 апреля, 2020 Ну, вообще определённые вопросы к имплантату и по КТ, и по фото во рту есть. Но не связанные с пазухой Ссылка на комментарий
Lunar Опубликовано 10 апреля, 2020 Автор Поделиться Опубликовано 10 апреля, 2020 Ну, вообще определённые вопросы к имплантату и по КТ, и по фото во рту есть. Но не связанные с пазухойЕсть смысл сейчас все это переделать, удалить и попробовать заново все нарастить? Или удаление импланта будет больше вреда, лишусь остатков кости? Или что-то можно сделать не выкручивая винт? Была у меня надежда, что кт покажет какой-нибудь сквозной ход между ртом и пазухой, это бы позволило решиться на переустановку, и нос бы поправился.. но увы) Ссылка на комментарий
Irouil Опубликовано 10 апреля, 2020 Поделиться Опубликовано 10 апреля, 2020 На мой взгляд удалять имплантат пока не надо, но нужна очная консультация пародонтолога и новая коронка на имплантате Ссылка на комментарий
Lunar Опубликовано 10 апреля, 2020 Автор Поделиться Опубликовано 10 апреля, 2020 На мой взгляд удалять имплантат пока не надо, но нужна очная консультация пародонтолога и новая коронка на имплантатеИ снова большое спасибо Вам) 1 Ссылка на комментарий
Lunar Опубликовано 12 февраля, 2021 Автор Поделиться Опубликовано 12 февраля, 2021 (изменено) Если интересно.. В сентябре в ходе пластики десны было обнаружено воспаление (в десне в районе имплантата +-, несквозное, но подробнее не скажу, у меня не очень многословный хирург). Через 3 недели у ЛОРа повторили КТ, пазуха уже была чистая, без воспаления, семерка живая. Месяца через два, когда все зажило, и прошла парестезия, ничего уже, ттт, не беспокоило.Пазуха молчит, боли тоже нет. Это не конец, впереди как минимум еще одна пластика, но, оч надеюсь, основной вопрос, что же болит, решен Изменено 12 февраля, 2021 пользователем Lunar 5 Ссылка на комментарий
Рекомендуемые сообщения
Для публикации сообщений создайте учётную запись или авторизуйтесь
Вы должны быть пользователем, чтобы оставить комментарий
Создать аккаунт
Зарегистрируйте новый аккаунт в нашем сообществе. Это очень просто!
Регистрация нового пользователяВойти
Уже есть аккаунт? Войти в систему.
Войти