Пациент007 Опубликовано 4 апреля, 2020 Поделиться Опубликовано 4 апреля, 2020 Всем здравствуйте! Зуб когда-то пролеченный резорцин-формалиновым методом. Уже почти весь рассыпался. Но никак не беспокоит. Предложили два варианта: удаление и имплантация. Или перелечить, поставить вкладку и коронку, но никаких гарантий дать не смогут. Прошу оценить ситуацию. Ссылка на комментарий
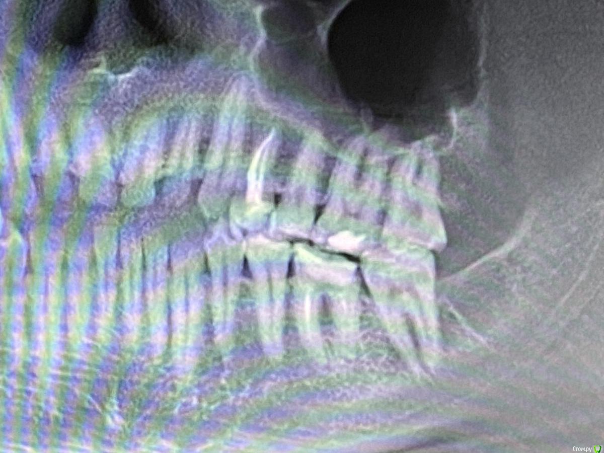
Пациент007 Опубликовано 4 апреля, 2020 Автор Поделиться Опубликовано 4 апреля, 2020 Снимок Ссылка на комментарий
red_butler Опубликовано 4 апреля, 2020 Поделиться Опубликовано 4 апреля, 2020 Удалять 1 Ссылка на комментарий
Пациент007 Опубликовано 5 апреля, 2020 Автор Поделиться Опубликовано 5 апреля, 2020 УдалятьСпасибо за ответ. Если можно, аргументируйте, пожалуйста Ссылка на комментарий
red_butler Опубликовано 5 апреля, 2020 Поделиться Опубликовано 5 апреля, 2020 Спасибо за ответ. Если можно, аргументируйте, пожалуйстаСтепень разрушения зуба не позволяет его восстановить Ссылка на комментарий
Рекомендуемые сообщения
Для публикации сообщений создайте учётную запись или авторизуйтесь
Вы должны быть пользователем, чтобы оставить комментарий
Создать аккаунт
Зарегистрируйте новый аккаунт в нашем сообществе. Это очень просто!
Регистрация нового пользователяВойти
Уже есть аккаунт? Войти в систему.
Войти