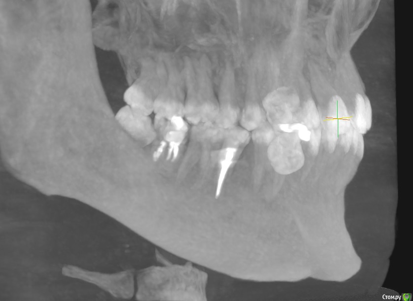
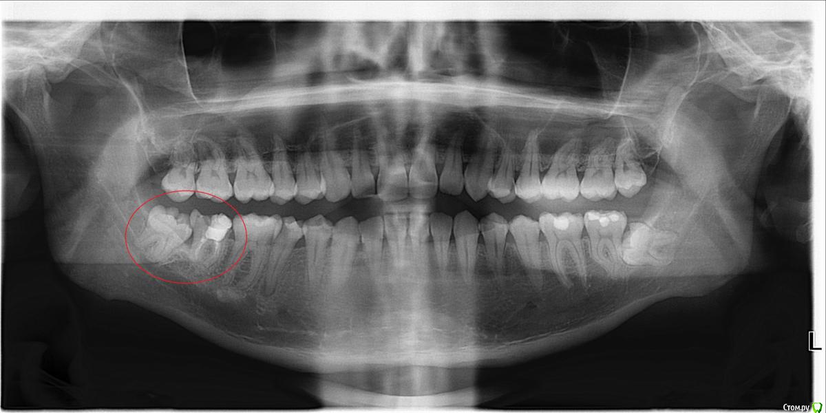
Boris87 Опубликовано 21 марта, 2020 Поделиться Опубликовано 21 марта, 2020 (изменено) Здравствуйте. В 2008 г. нижняя семёрка была депульпирована. Не беспокоит, но откололся небольшой край зуба (года 2 назад уже), и вокруг пломбы уже кариес. Иногда когда ем из того места чувствуется неприятный привкус. Рядом на восьмёрке небольшой кариес, и она упирается в край 7-го. Походил по клиникам. Одни говорят - восьмёрку удалять, на семёрку коронку. Другие - что и семёрку удалять. Ещё в одной сказали что восьмёрку даже можно оставить, пролечив кариес, и обточив семёрку чтобы ей не мешала + коронку, но другие говорили что так никто не обтачивает. В одной клинике говорили что могут просто нарастить светоотвержд. материалом. Я конечно хотел бы этого. Коронку не хочется (читал что металл в организме у многих потом проблемы вызывает, даже рак, особенно если никель в составе). А полностью диоксид циркония дорого, и не уверен что оправданно (зуб потом наверное всё равно удалять). Как тут лучше поступить? ЗЫ. ОПТГ делал в октябре, после этого 5-й зуб был пролечен, а КТ - недавно. Изменено 21 марта, 2020 пользователем Boris87 Ссылка на комментарий
red_butler Опубликовано 21 марта, 2020 Поделиться Опубликовано 21 марта, 2020 Восьмой удалять, седьмой убрать пломбу и кариес и принимать решение, но на фото прогноз седьмого зуба плохой 1 Ссылка на комментарий
DmitrySH Опубликовано 21 марта, 2020 Поделиться Опубликовано 21 марта, 2020 Восьмой удалять, седьмой убрать пломбу и кариес и принимать решение, но на фото прогноз седьмого зуба плохойСогласен. По фото мало понятно. Ссылка на комментарий
Boris87 Опубликовано 22 марта, 2020 Автор Поделиться Опубликовано 22 марта, 2020 (изменено) В каком порядке лучше - сначала удалить 8, потом лечить 7, или наоборот? Если сначала удалять 8 - будет ли увеличен риск занести инфекцию из-за больной соседней семёрки? Или можно не опасаться? Изменено 22 марта, 2020 пользователем Boris87 Ссылка на комментарий
shishok Опубликовано 22 марта, 2020 Поделиться Опубликовано 22 марта, 2020 Сначала удалить восьмой, затем лечить семёрку. Ссылка на комментарий
Рекомендуемые сообщения
Для публикации сообщений создайте учётную запись или авторизуйтесь
Вы должны быть пользователем, чтобы оставить комментарий
Создать аккаунт
Зарегистрируйте новый аккаунт в нашем сообществе. Это очень просто!
Регистрация нового пользователяВойти
Уже есть аккаунт? Войти в систему.
Войти