Tansky Опубликовано 18 марта, 2020 Поделиться Опубликовано 18 марта, 2020 Добрый вечер. Хотелось бы узнать мнение докторов насчет 3.6 зуба. Описание ситуации: в 2016 у него скололась стенка, под кариесом обнаружился пульпит, было проведено эндодонтическое лечение каналов. В 2018 в феврале на фоне стресса и переохлаждения начала плодиться микробиота в каналах, это вылилось в периодонтит (до этого зуб не болел и не беспокоил). На прицельных rg снимках обнаружены очаги гранулематоза? кисты? При обращении в ГСП с целью вскрытия и дренирования абсцесса зуб хотели удалять. Как альтернативный вариант был предложен цифран ст + цетрин, на время отсутствия лечащего врача в городе. Образовался свищ, гной вытек, более зуб не беспокоил.В апреле-мае 2018 данный зуб был перелечен, все было нормально до февраля 2020 года. В октябре 2019 поставили ортоаппаратуру на н/ч, все зубы ноют и разворачиваются, ничего толком не понятнов итоге заболел сначала 4.7,был перелечен эндодонтически с февраля по март.как только закончили с ним, заболел заодно 3.6 (стандартно, распирание, реакция гор/хол, с набуханием десны и ирридацией в тройничный нерв) Самое интересное в этой ситуации то, что оба 6-ых зуба наклонились в язычную сторону от нагрузки, у обоих +- одинаковый вид и описание на КТ (позже добавлю скрины) - на момент диагностики каналы запломбированы НЕОДНОРОДНО. доктора лечащие пеняют на мой ослабленный иммунитет и реакцию организма + на нагрузку от орто. Самый больной вопрос - 3.6. перелечивать в 3ий раз доктора не соглашаются, моя врач за удаление,там 4 узких канала, до апекса не доходящие и кривые и огромная пломба и прочие риски. Один голос за - один человек согласился на лечение с микро в 3ий раз, понятно, что без гарантий.Вот думаю, с 1 стороны да, микробиота не ест металл, с другой стороны удаление, отсроченная имплантация, синус-лифтинг и прочее довольно длительный процесс, учитывая подвижность зубов (и переживание за каждый зуб, участвующий в жевательном процессе) при лечении брекетами.Хотелось бы услышать совет практикующих врачей, на тему того, как лучше поступить в этой ситуации, удалить с последующей иплантацией или пробовать дубль 3 перелечить. Ссылка на комментарий
Tansky Опубликовано 18 марта, 2020 Автор Поделиться Опубликовано 18 марта, 2020 так, момент, снимки не прикрепились, правила форума читала Ссылка на комментарий
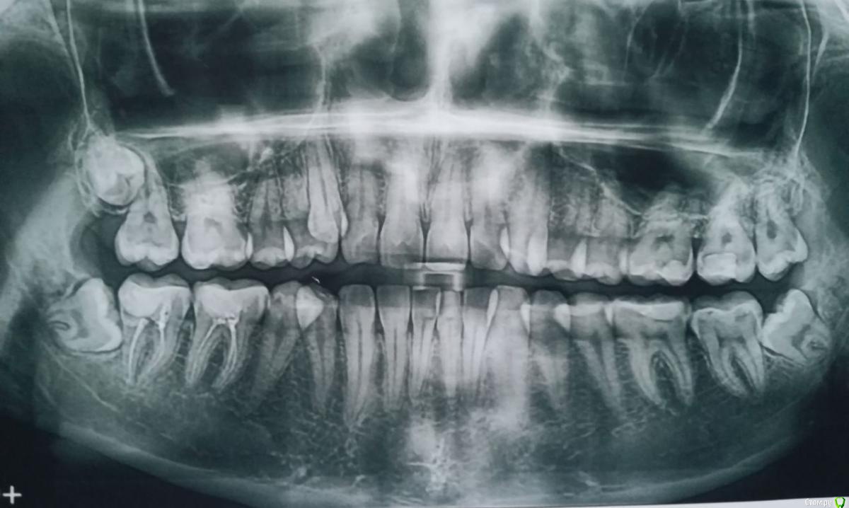
Tansky Опубликовано 18 марта, 2020 Автор Поделиться Опубликовано 18 марта, 2020 снимки - пара отпг до орто и актуальная, от 17.03.2020пара кт, в области интереса 3.6 и 4.7, разные снимки Ссылка на комментарий
Tansky Опубликовано 18 марта, 2020 Автор Поделиться Опубликовано 18 марта, 2020 разные проекции и описание заключения. прицельные rg есть еще по тому же зубу разных времен, но это надо искать дома и фоткать с негатоскопа или днем на свет Ссылка на комментарий
red_butler Опубликовано 18 марта, 2020 Поделиться Опубликовано 18 марта, 2020 Нужен грамотный эндодонтист, прогноз при полноценном лечении хороший Ссылка на комментарий
Tansky Опубликовано 19 марта, 2020 Автор Поделиться Опубликовано 19 марта, 2020 (изменено) red_butler, спасибо, буду пробовать зуб спасать. хотя бы уверенность появилась сейчас Изменено 19 марта, 2020 пользователем Tansky Ссылка на комментарий
Tansky Опубликовано 11 мая, 2020 Автор Поделиться Опубликовано 11 мая, 2020 закрывайте тему, зуб перелечен и поставлена коронка всем неравнодушным спасибо! 1 Ссылка на комментарий
Рекомендуемые сообщения