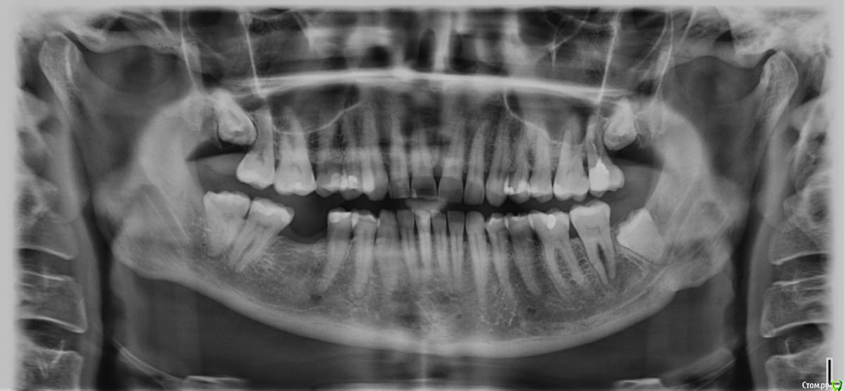
Natalira Опубликовано 15 марта, 2020 Поделиться Опубликовано 15 марта, 2020 (изменено) Здравствуйте,уважаемые стоматологи .помогите разобраться с 26 зубом . В январе 15 года поставили пломбу на жевательную поверхность и закрыли совсем небольшой клиновидный дефект . Зуб заболел через неделю. Врач наносил лак и прописал месяц пить кальций . В 2018 году февраль . Тот же характер болей , но сильней . Я уже в другом городе . Другой врач по сделанному панорамному снимку , ставит диагноз пародонтит( но небольшой как он сказал карман ,совсем маленький ) , чистит карман выписывает антибиотики . Через месяц все проходит . На следующих плановых осмотрах все норм с этим зубом . Январь 2020 заболел 37 зуб, лечение , чистка каналов , абсцесс , удаление ,антибиотики. Через 2 недели после удаления заболел 26.опять чистят карман , через два дня настаиваю на вскрытии каналов ( уже исходя из недавнего опыта с 37 , кот также изначально заболел в 15 году после пломбировки , тогда врач сказал нечему болеть и уже в итоге Переодонтит хронический ). Врач вскрывает каналы , говорит нерв мертв . Придти через 5 дней . Опять чистит каналы ,ставит временную пломбу говорит придти через 10 дней . Прихожу ,говорю что есть ещё боли,но не всегда и незначительные . Прошу поменять лекарство , говорит что в моем случае нет необходимости . Я говорю что переживаю ,что хронический Переодонтит был 4 года . Врач уверено говорит что будет пломбировать каналы и пломьирует , делает снимки ( 4 раза переснимал),говорит что все хорошо. И что приходить через месяц перелечивать 27 зуб . Но он не болел ни разу , несмотря на плохо запломбированный каналы ( врач сказал по снимку) и он так уже минимум 20 лет . Изначально 26 и 37 начинала лечить в России. ССейчас лечу по месту жительства . Программный снимок так же есть до удаления 37 зуба . В 26 временами возникают неприятные ощущения . Боль в районе корня стихает . Врач сказал ,что со временем пройдет . Извините за ошибки ,пишу с телефона . PS: КТ было сделано с временной пломбой , до пломбировки каналов гуттаперчей Изменено 15 марта, 2020 пользователем Natalira Ссылка на комментарий
krokomot Опубликовано 15 марта, 2020 Поделиться Опубликовано 15 марта, 2020 В чём вопрос собственно?, выкладывайте финальное кт, ситуации что есть на данный момент, после всех пломбировок. Ссылка на комментарий
Natalira Опубликовано 16 марта, 2020 Автор Поделиться Опубликовано 16 марта, 2020 Спасибо за ответ , после пломбировки финальной КТ не делала . Мой вопрос , исходя из панорамного снимка и КТ какой был диагноз. Правильно ли было предложено и проведено лечение исходя из снимков . Не слишком ли быстро были запломбированы каналы. Мои переживания , могла ли остаться инфекция после удаления нервов из зуба и временной пломбы , антибиотики я также пропила 10 дней Аугментин и метротенидазол . Очень сложно найти контакт с лечащим врачом , даже элементарно не хотят говорить ,что было заложено в каналы на 12 дней для лечения. Ссылка на комментарий
Natalira Опубликовано 16 марта, 2020 Автор Поделиться Опубликовано 16 марта, 2020 (изменено) И как часто можно делать КТ? У у нас даже не одевают защитный фартук , ни для панорамного снимка ни для КТ.внутриротовые снимки врач делал 4 штуки после финальной пломбировки .сказал что все нормально запломбированы . Но они у него .на мои жалобы на брль в области корня зуба , сказал что со временем пройдет . На панорамном снимке он увидел что между 26 и 27 что когда то был абссец в районе черного пятна . Я не знаю как это понимать . 2 года назад ,он болел , но другой врач ничего не нашел по панорамномному снимку ,2 годичной давности тоже снимок есть . За 2 месяца я уже просто морально и физически устала и от болевых ощущений и от моральных . Изменено 16 марта, 2020 пользователем Natalira Ссылка на комментарий
krokomot Опубликовано 16 марта, 2020 Поделиться Опубликовано 16 марта, 2020 (изменено) Мы не делаем заключений, правильно ли было или нет. Без объективных данных это невозможно сделать. Форум может вам помочь в вашей клинической ситуации на данный момент, поэтому нужна актуальная информация. Доктор сделал вам 4 снимка, где они? По вашим снимкам можно лишь что то предполагать, а предположений у вас и так достаточно. Нет контакта врачом, тогда найдите другого, которому вы будете доверять Изменено 16 марта, 2020 пользователем krokomot 1 Ссылка на комментарий
Natalira Опубликовано 16 марта, 2020 Автор Поделиться Опубликовано 16 марта, 2020 (изменено) Это уже третий врач .но 26 лечил один врач Не все так просто у нас с врачами. Поэтому Пишу с надеждой на помощь на форуме.Снимки он мне не дал на руки. Многие просто отказываются даже смотреть КТ. Панорамный делала 28 января , через месяц КТ. Как часто можно делать такие обследования ? Но хотябы из моих снимков что с 26 зубом был периодонтит или просто пульпит ? Очень надеюсь на консультацию . Изменено 16 марта, 2020 пользователем Natalira Ссылка на комментарий
Рекомендуемые сообщения
Для публикации сообщений создайте учётную запись или авторизуйтесь
Вы должны быть пользователем, чтобы оставить комментарий
Создать аккаунт
Зарегистрируйте новый аккаунт в нашем сообществе. Это очень просто!
Регистрация нового пользователяВойти
Уже есть аккаунт? Войти в систему.
Войти