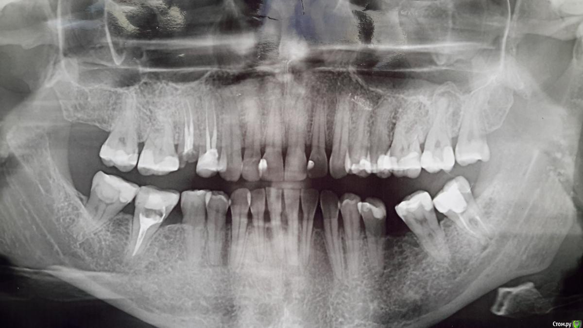
velena37 Опубликовано 14 марта, 2020 Поделиться Опубликовано 14 марта, 2020 Доброе время суток всем! Пару дней назад стоматолог на приеме сказал, что видит на снимке кисту. Хотелось бы услышать мнение уважаемых специалистов. Видите ли кисту вы? Ссылка на комментарий
dok1 Опубликовано 14 марта, 2020 Поделиться Опубликовано 14 марта, 2020 Зуб номер 27 Ссылка на комментарий
velena37 Опубликовано 15 марта, 2020 Автор Поделиться Опубликовано 15 марта, 2020 Зуб номер 27Спасибо Вам!!Если Вы знаете об этом, расскажите, пожалуйста, перспективы лечения? Она большая? А почему не темная и зуб не депульпирован? Ссылка на комментарий
Паращук Роман Опубликовано 15 марта, 2020 Поделиться Опубликовано 15 марта, 2020 Спасибо Вам!!Если Вы знаете об этом, расскажите, пожалуйста, перспективы лечения? Она большая? А почему не темная и зуб не депульпирован?Перспективы отличные. По статистике около 80% успеха лечения. Не большая. Зуб не депульпирован,так как пульпа зуба погибла после установки пломбы и продукты распада с инфекцией "выходят за корень". Ссылка на комментарий
red_butler Опубликовано 15 марта, 2020 Поделиться Опубликовано 15 марта, 2020 Зуб не депульпирован,так как пульпа зуба погибла после установки пломбы или до... Ссылка на комментарий
dentikl Опубликовано 15 марта, 2020 Поделиться Опубликовано 15 марта, 2020 (изменено) пульпа зуба погибла после установки пломбы типа-слепой врач не заметил ,как попал в пульповую камеру Изменено 15 марта, 2020 пользователем dentikl Ссылка на комментарий
red_butler Опубликовано 15 марта, 2020 Поделиться Опубликовано 15 марта, 2020 типа-слепой врач не заметил ,как попал в пульповую камеру типа не сделал снимок до лечения кариеса, и не диагностировал периодонтит, который бывает и без вскрытия полости зуба Ссылка на комментарий
velena37 Опубликовано 15 марта, 2020 Автор Поделиться Опубликовано 15 марта, 2020 Уважаемые господа! Я человек далекий от стоматологии и думала, что терапевт и ортопед это разные врачи. Но модератор говорит, что вы по всем вопросам. Раз уж вы тут собрались, посоветуйте по поводу коронки на пенек от пятерки, спасет ли коронка на четверку, продлит ли срок жизни коронки на пятерку? С кистой спасибо большое, поняла!Буду благодарна, если расскажите примерный план лечения кисты, чтоб знать, что ждет (месяц лечить, год, можно в городскую или лучше сразу в платную?). Ссылка на комментарий
velena37 Опубликовано 15 марта, 2020 Автор Поделиться Опубликовано 15 марта, 2020 А можно еще вопрос? Киста это то, что синим или то, что красным? Ссылка на комментарий
red_butler Опубликовано 15 марта, 2020 Поделиться Опубликовано 15 марта, 2020 Уважаемые господа! Я человек далекий от стоматологии и думала, что терапевт и ортопед это разные врачи. Но модератор говорит, что вы по всем вопросам. Раз уж вы тут собрались, посоветуйте по поводу коронки на пенек от пятерки, спасет ли коронка на четверку, продлит ли срок жизни коронки на пятерку? С кистой спасибо большое, поняла!Буду благодарна, если расскажите примерный план лечения кисты, чтоб знать, что ждет (месяц лечить, год, можно в городскую или лучше сразу в платную?).Нужно очно смотреть пятый зуб, если объём оставшихся тканей позволит, то перелечить корневые каналы и протезировать. Четвёртый нужно протезировать, что бы избежать его перелом Ссылка на комментарий
red_butler Опубликовано 15 марта, 2020 Поделиться Опубликовано 15 марта, 2020 А можно еще вопрос? Киста это то, что синим или то, что красным?Синим, но это не киста а периодонтит Ссылка на комментарий
velena37 Опубликовано 15 марта, 2020 Автор Поделиться Опубликовано 15 марта, 2020 Нужно очно смотреть пятый зуб, если объём оставшихся тканей позволит, то перелечить корневые каналы и протезировать. Четвёртый нужно протезировать, что бы избежать его переломПерелом!? Из-за чего? Ссылка на комментарий
red_butler Опубликовано 15 марта, 2020 Поделиться Опубликовано 15 марта, 2020 Перелом!? Из-за чего? из за того что от него остались только тонкие стенки Ссылка на комментарий
velena37 Опубликовано 15 марта, 2020 Автор Поделиться Опубликовано 15 марта, 2020 Синим, но это не киста а периодонтитПолучается в 38 зубе тоже периодонтит (там тоже мешочки какие-то)? Ссылка на комментарий
red_butler Опубликовано 15 марта, 2020 Поделиться Опубликовано 15 марта, 2020 Получается в 38 зубе тоже периодонтит (там тоже мешочки какие-то)?Ага Ссылка на комментарий
Паращук Роман Опубликовано 15 марта, 2020 Поделиться Опубликовано 15 марта, 2020 или до... вполне... типа-слепой врач не заметил ,как попал в пульповую камеру сплошь и рядом...и пломбу в слюни Ссылка на комментарий
Паращук Роман Опубликовано 15 марта, 2020 Поделиться Опубликовано 15 марта, 2020 Уважаемые господа! Я человек далекий от стоматологии и думала, что терапевт и ортопед это разные врачи. Но модератор говорит, что вы по всем вопросам.Раз уж вы тут собрались, посоветуйте по поводу коронки на пенек от пятерки, спасет ли коронка на четверку, продлит ли срок жизни коронки на пятерку? С кистой спасибо большое, поняла!Буду благодарна, если расскажите примерный план лечения кисты, чтоб знать, что ждет (месяц лечить, год, можно в городскую или лучше сразу в платную?).Сразу в платную. Я бы делал в один,максимум в два визита. Ссылка на комментарий
dentikl Опубликовано 15 марта, 2020 Поделиться Опубликовано 15 марта, 2020 типа не сделал снимок до лечения кариеса, и не диагностировал периодонтит, который бывает и без вскрытия полости зуба1.Тут весь рот в глубоких кариесах(хронических пульпитах).2.Может быть на 27 есть патология,а может и нет.3.До лечения кариеса нужно делать снимок? Ссылка на комментарий
velena37 Опубликовано 16 марта, 2020 Автор Поделиться Опубликовано 16 марта, 2020 (изменено) Всем спасибо огромное за Ваше мнение!! Простите, но вопросы у меня не прекращаются, просто один за одним накатывают)) 1. Почему надо перелечивать 15 зуб перед протезированием (мнения у тех врачей, к которым ходила я разделились)2. Что вы скажите по 47 зуб? У него зазоры между зубом и десной. Выдержит ли он коронку? Изменено 16 марта, 2020 пользователем velena37 Ссылка на комментарий
red_butler Опубликовано 16 марта, 2020 Поделиться Опубликовано 16 марта, 2020 Всем спасибо огромное за Ваше мнение!!Простите, но вопросы у меня не прекращаются, просто один за одним накатывают))1. Почему надо перелечивать 15 зуб перед протезированием (мнения у тех врачей, к которым ходила я разделились)2. Что вы скажите по 47 зуб? У него зазоры между зубом и десной. Выдержит ли он коронку?1. Корневая пломба 1.5 зуба потеряла герметизм 2. 4.7 нужно протезировать вкладкой или коронкой Ссылка на комментарий
velena37 Опубликовано 23 марта, 2020 Автор Поделиться Опубликовано 23 марта, 2020 Добрый вечер! Прошу прощения, возникли еще вопросы. Врач предлагает мне сделать выбор.1. Ставить культевые вкладки в оба зуба 14 и 15 и раздельные коронки.2. Ставить вкладку только в 15 зуб, коронку сдвоенную. Какой вариант предпочтительней с точки зрения долговечности конструкции? Будет ли пища попадать при сдвоенной коронке? Зуб 15 довольно глубоко сломался под десну и врач предложил сделать и 14 тоже, чтоб решить этот вопрос. Ссылка на комментарий
velena37 Опубликовано 23 марта, 2020 Автор Поделиться Опубликовано 23 марта, 2020 (изменено) И еще другой вопрос. В моей клинике стоматолог не рекомендовал мне лечить кисту на 27 зубе, сказал, что долго, дорого и без гарантии.И еще сделала КТ, по нему видно, что киста уже на 3 зуба, они предлагают все 3 удалять.Подскажите, можно ли в государственной стоматологии пролечить эту кисту, в какой стоматологии это можно сделать в Москве? Заранее большое спасибо! Изменено 23 марта, 2020 пользователем velena37 Ссылка на комментарий
DmitrySH Опубликовано 23 марта, 2020 Поделиться Опубликовано 23 марта, 2020 И еще другой вопрос. В моей клинике стоматолог не рекомендовал мне лечить кисту на 27 зубе, сказал, что долго, дорого и без гарантии. Тут уже вам решать, готовы вы побороться за сохранение зуба или нет. На представленных снимках не вижу каких-то проблем мешающих провести лечение. Наоборот, каналы ранее не лечили, а значит шансы на успех хорошие. Не 100% конечно. Подскажите, можно ли в государственной стоматологии пролечить эту кисту, в какой стоматологии это можно сделать в Москве? Заранее большое спасибо! В государственной обычно нет адекватных условий для подобного лечения. Ссылка на комментарий
velena37 Опубликовано 25 марта, 2020 Автор Поделиться Опубликовано 25 марта, 2020 Добрый вечер! Прошу прощения, возникли еще вопросы. Врач предлагает мне сделать выбор.1. Ставить культевые вкладки в оба зуба 14 и 15 и раздельные коронки.2. Ставить вкладку только в 15 зуб, коронку сдвоенную.Какой вариант предпочтительней с точки зрения долговечности конструкции? Будет ли пища попадать при сдвоенной коронке? Зуб 15 довольно глубоко сломался под десну и врач предложил сделать и 14 тоже, чтоб решить этот вопрос.Очень прошу специалистов ответить на этот вопрос, мне через 2 дня давать ответ.Склоняюсь делать по варианту 1. Ссылка на комментарий
dok1 Опубликовано 25 марта, 2020 Поделиться Опубликовано 25 марта, 2020 Везде, где будут коронки, нужны вкладки, если пролечивается зуб с пломбированием каналов. Все коронки должны быть отдельно стоящими. Незачем без надобности объединять зубы между собой. Лечить семёрку нужно и можно. От воспаления корня нужно уходить 1 Ссылка на комментарий
Рекомендуемые сообщения
Для публикации сообщений создайте учётную запись или авторизуйтесь
Вы должны быть пользователем, чтобы оставить комментарий
Создать аккаунт
Зарегистрируйте новый аккаунт в нашем сообществе. Это очень просто!
Регистрация нового пользователяВойти
Уже есть аккаунт? Войти в систему.
Войти