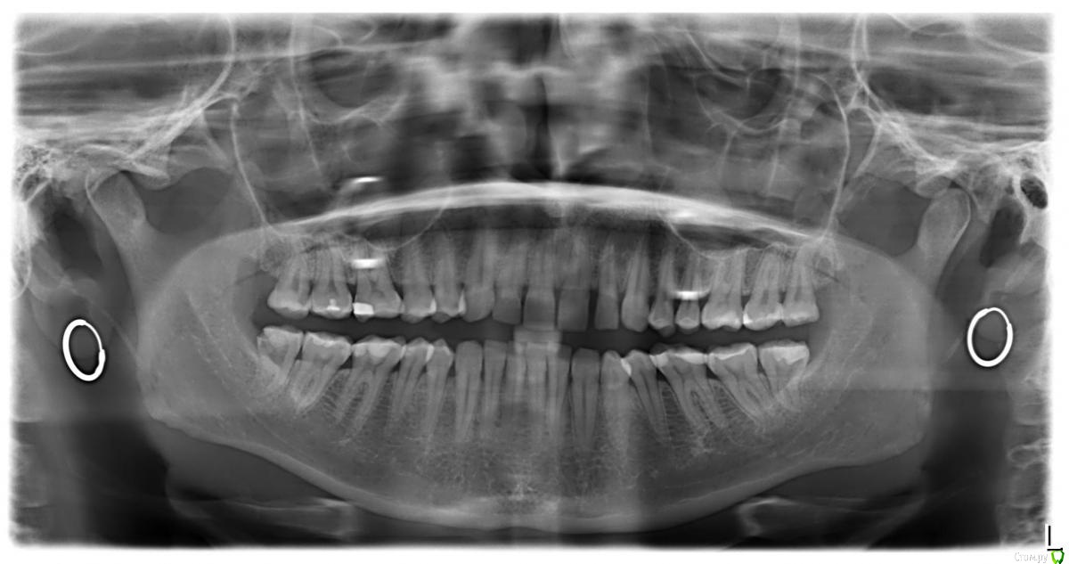
Mary5 Опубликовано 13 марта, 2020 Поделиться Опубликовано 13 марта, 2020 Здравствуйте!Помогите пожалуйста разобраться в ситуации с 6-й в верхнем правом ряду.В конце декабря поставили пломбу. Врач показалась не очень опытной, и приходилось после установки пломбу подтачивать, не прекращалась боль при нажатии на зуб, при смыкании. Сперва списывала всё на боль сразу после лечения, потом на избыточную нагрузку из-за плохо подогнанной поверхности. Прошло уже 2,5 месяца, но боль не проходит, а лишь усилилась. Сделала снимок, и сегодня отсматривали его в той же клинике, но уже у другого врача. По мнению врача - всё ок! Но мне больно, зуб реагирует на холодное, горячее, и просто в состоянии покоя, боль только усилилась. Насколько я смогла понять сама по снимку - под пломбой есть какое-то затемнение, и это может быть вторичный кариес. Что делать в таком случае, если лечащий врач клиники, где пломба на гарантии - говорит что всё в порядке? Какие есть методы диагностики, которые я могу провести для уточнения ситуации в других клиниках? Что по данному снимку видно Вам? Может быть и правда всё в порядке - но в чем тогда может быть причина непроходящей столько времени боли???Спасибо! Снимок прикрепляю. Ссылка на комментарий
red_butler Опубликовано 14 марта, 2020 Поделиться Опубликовано 14 марта, 2020 Есть ощущение что болит конкретный зуб? Ссылка на комментарий
Mary5 Опубликовано 14 марта, 2020 Автор Поделиться Опубликовано 14 марта, 2020 Есть ощущение что болит конкретный зуб?да, боль ощущается в районе этой 6-ки, как будто в глубине. Ссылка на комментарий
red_butler Опубликовано 15 марта, 2020 Поделиться Опубликовано 15 марта, 2020 да, боль ощущается в районе этой 6-ки, как будто в глубине. Нужно очно смотреть и провести термопробу хладагентом, при необходимости лечить 1.6 зуб, и зубы мудрости справа удаляйте Ссылка на комментарий
Mary5 Опубликовано 15 марта, 2020 Автор Поделиться Опубликовано 15 марта, 2020 Нужно очно смотреть и провести термопробу хладагентом, при необходимости лечить 1.6 зуб, и зубы мудрости справа удаляйтеСпасибо! А что значит "1.6"? Это опечатка, или какое-то обозначение правой верхней шестерки? Или имеется в виду 1 и 6 зуб?На верхнюю восьмерку поставили пломбу, а нижнюю удалять сказали, да. ДЛя неё снимок вообще и делала - для хирурга точнее в связи с ней.По поводу шестерки - а может быть боль от плохо подогнанной пломбы? Ссылка на комментарий
red_butler Опубликовано 15 марта, 2020 Поделиться Опубликовано 15 марта, 2020 А что значит "1.6"? Это опечатка, или какое-то обозначение правой верхней шестерки? да, это обозначение первого моляра на верхней челюсти справа, По поводу шестерки - а может быть боль от плохо подогнанной пломбы? нет, судя по снимку рог пульпы близко к полости, нужно исключить пульпит Ссылка на комментарий
Mary5 Опубликовано 15 марта, 2020 Автор Поделиться Опубликовано 15 марта, 2020 (изменено) Понятно. А как его диагностировать? Врач клиники, где делали, как уже писала, говорит, что да мол, близко, но это снимок так показывает - наложение проекций, на самом деле там ещё "километр". На мой вопрос: как более точно этот "километр" увидеть - может стоит делать кт - говорит, что ни к чему. Но зуб-то болит. Почему-то. И почему она отказывается проводить диагностику причин - мне не понятно. Искать другую клинику, делать там кт и там же в случае чего лечить, не смотря на то, что в первом месте ещё гарантия? Изменено 15 марта, 2020 пользователем Mary5 Ссылка на комментарий
Рекомендуемые сообщения
Для публикации сообщений создайте учётную запись или авторизуйтесь
Вы должны быть пользователем, чтобы оставить комментарий
Создать аккаунт
Зарегистрируйте новый аккаунт в нашем сообществе. Это очень просто!
Регистрация нового пользователяВойти
Уже есть аккаунт? Войти в систему.
Войти