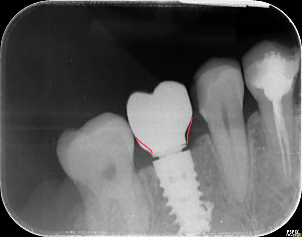
nabuhiko Опубликовано 12 марта, 2020 Поделиться Опубликовано 12 марта, 2020 Перый раз столкнулся с этой системой, имплант ставили не у нас в клинике со слов пациентки (тоже стоматолог) размер 5х10 с конусом. Купил трансфер снял оттиск получил коронку на винтовой фиксации, проверил контактные пункты (не мешают) а на контрольном снимке платформа не достает до импланта около 30-40 микрон. Десна тоже не мешает, кость тоже... в чем может быть причина или это нормально для этой системы? Ссылка на комментарий
АнтонТЛТ Опубликовано 13 марта, 2020 Поделиться Опубликовано 13 марта, 2020 Переключение платформ это.Коронка не досажена до титанового основания, отклеится может. Профиль прорезывания не совсем верно сделан. Ссылка на комментарий
chervoncevdaniil Опубликовано 13 марта, 2020 Поделиться Опубликовано 13 марта, 2020 Если коронка не зафиксирована,сфотографируйте место склейки коронки с тибэйсом Ссылка на комментарий
Eddie Опубликовано 13 марта, 2020 Поделиться Опубликовано 13 марта, 2020 Переключение платформ это.Коронка не досажена до титанового основания, отклеится может. Профиль прорезывания не совсем верно сделан.Подскажите, при таком заглублении какой правильный профиль нужно делать? Ссылка на комментарий
nabuhiko Опубликовано 13 марта, 2020 Автор Поделиться Опубликовано 13 марта, 2020 (изменено) Меня смутила разная посадка на модели и в полости рта. А на посадку коронки к тибейсу тоже обратил внимание. Техник клеил на панавию2 может быть и не совсем критично место склейки? Пациент уезжает на отдых, когда вернётся, може его вызвать на переклейку? И можете подсказать, какой профиль прорезывания нужно было делать? Изменено 13 марта, 2020 пользователем nabuhiko Ссылка на комментарий
АнтонТЛТ Опубликовано 13 марта, 2020 Поделиться Опубликовано 13 марта, 2020 Есть фото внутриимплантной части титанового основания?Аналог имплантата какой-то левый.Должен быть такого вида. Ссылка на комментарий
АнтонТЛТ Опубликовано 13 марта, 2020 Поделиться Опубликовано 13 марта, 2020 Профиль прорезывания ближе к такому 2 Ссылка на комментарий
nabuhiko Опубликовано 14 марта, 2020 Автор Поделиться Опубликовано 14 марта, 2020 Есть фото внутриимплантной части титанового основания?Аналог имплантата какой-то левый.Должен быть такого вида.Фото тибейса нет. Я его заказывал. Это оригинал на конусное не узкое соединение в оригинальной упаковке. А вот аналог импланта мой техник взял в аренду у другого техника и я думаю он очень б.у.(но тоже зелененький как у вас на картинке) Из-за этого видимо и появился этот пост... Ссылка на комментарий
Fin Опубликовано 17 марта, 2020 Поделиться Опубликовано 17 марта, 2020 Интересно,в России у альфа био конус на больших диаметрах не сертифицирован. Подскажите где вы заказывали протетику для него? Ссылка на комментарий
nabuhiko Опубликовано 17 марта, 2020 Автор Поделиться Опубликовано 17 марта, 2020 Интересно,в России у альфа био конус на больших диаметрах не сертифицирован. Подскажите где вы заказывали протетику для него?В Украине... Ссылка на комментарий
Рекомендуемые сообщения
Для публикации сообщений создайте учётную запись или авторизуйтесь
Вы должны быть пользователем, чтобы оставить комментарий
Создать аккаунт
Зарегистрируйте новый аккаунт в нашем сообществе. Это очень просто!
Регистрация нового пользователяВойти
Уже есть аккаунт? Войти в систему.
Войти