Реза Опубликовано 3 марта, 2020 Поделиться Опубликовано 3 марта, 2020 (изменено) Добрый день, очень нужна помощь, верхний левый зуб мертвый, между зубами большая пломба, также последующие 2 зуба с пломбой, для эстетики рекомендуют композит, хочу чтоб было надежно и долговечно, или все таки керамика лучше, посоветуйте пожалуйста Изменено 3 марта, 2020 пользователем Реза Ссылка на комментарий
dok1 Опубликовано 3 марта, 2020 Поделиться Опубликовано 3 марта, 2020 Посоветуем. Снимок выкладывайте искомой области. Можно фрагмент панорасного. Можно последовательные прицельные. Ссылка на комментарий
Реза Опубликовано 3 марта, 2020 Автор Поделиться Опубликовано 3 марта, 2020 Посоветуем. Снимок выкладывайте искомой области. Можно фрагмент панорасного. Можно последовательные прицельные. Ссылка на комментарий
Реза Опубликовано 3 марта, 2020 Автор Поделиться Опубликовано 3 марта, 2020 Фото прикрепила, посмотрите плизПосоветуем. Снимок выкладывайте искомой области. Можно фрагмент панорасного. Можно последовательные прицельные. Ссылка на комментарий
red_butler Опубликовано 3 марта, 2020 Поделиться Опубликовано 3 марта, 2020 Рентген покажите Ссылка на комментарий
Реза Опубликовано 3 марта, 2020 Автор Поделиться Опубликовано 3 марта, 2020 (изменено) Рентген покажитеК сожалению сейчас нет снимка, завтра скину Изменено 3 марта, 2020 пользователем Реза Ссылка на комментарий
red_butler Опубликовано 3 марта, 2020 Поделиться Опубликовано 3 марта, 2020 К сожалению у меня нет снимкаСделайте Ссылка на комментарий
Реза Опубликовано 3 марта, 2020 Автор Поделиться Опубликовано 3 марта, 2020 СделайтеЗавтра заберу снимок, и перекину,спасибо 1 Ссылка на комментарий
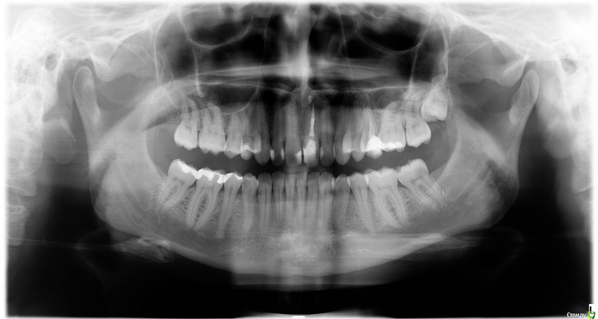
Реза Опубликовано 6 марта, 2020 Автор Поделиться Опубликовано 6 марта, 2020 Посоветуем. Снимок выкладывайте искомой области. Можно фрагмент панорасного. Можно последовательные прицельные.Вот снимок, помогите плиз Ссылка на комментарий
Реза Опубликовано 6 марта, 2020 Автор Поделиться Опубликовано 6 марта, 2020 СделайтеВот снимок, помогите плиз Ссылка на комментарий
DmitrySH Опубликовано 6 марта, 2020 Поделиться Опубликовано 6 марта, 2020 Два варианта.1. Поправить пломбы на зубах 12.22, сделать винир на зуб 11 и коронку на зуб 212. коронку на зуб 21 и виниры 12,11,22 2 Ссылка на комментарий
dok1 Опубликовано 7 марта, 2020 Поделиться Опубликовано 7 марта, 2020 21 - коронка 1 Ссылка на комментарий
Реза Опубликовано 7 марта, 2020 Автор Поделиться Опубликовано 7 марта, 2020 21 - коронка Спасибочки Ссылка на комментарий
Реза Опубликовано 7 марта, 2020 Автор Поделиться Опубликовано 7 марта, 2020 Два варианта.1. Поправить пломбы на зубах 12.22, сделать винир на зуб 11 и коронку на зуб 212. коронку на зуб 21 и виниры 12,11,22Спасибо большое! Ссылка на комментарий
Паращук Роман Опубликовано 11 марта, 2020 Поделиться Опубликовано 11 марта, 2020 композит на двойки,на правый центральный винир ,на левый коронка. Ссылка на комментарий
red_butler Опубликовано 12 марта, 2020 Поделиться Опубликовано 12 марта, 2020 Реза, тему можно закрывать? Ссылка на комментарий
Рекомендуемые сообщения
Для публикации сообщений создайте учётную запись или авторизуйтесь
Вы должны быть пользователем, чтобы оставить комментарий
Создать аккаунт
Зарегистрируйте новый аккаунт в нашем сообществе. Это очень просто!
Регистрация нового пользователяВойти
Уже есть аккаунт? Войти в систему.
Войти