Перейти к содержанию
Стоматология для всех

Брекеты-точно ли нужны?


Qwertyqwerty

Рекомендуемые сообщения

Добрый день, заранее извиняюсь за много букв.

Речь пойдет про ортодонтию, но с ортопедическим предисловием

Ситуация следующая:

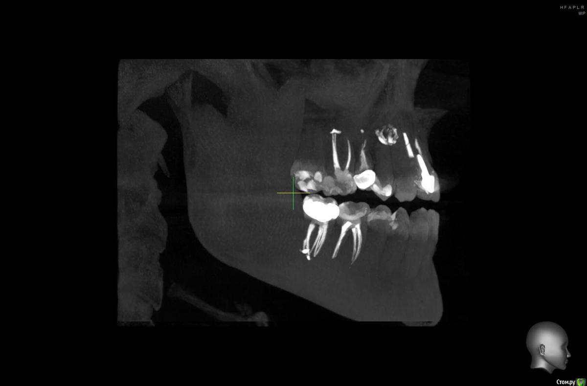
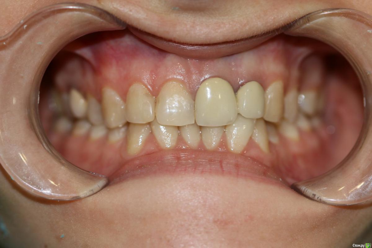
10 лет назад на передних зубах были установлены металлокерам.коронки, на одном из зубов-металлический штифт. (Фото прилагаю)

В 2019 году я решилась поменять коронки, в одном из зубов нашли кисту, долго лечили, вывели лекарство за корень, потом другой врач через микроскоп все пролечил и запломбировал. Решили не делать резекцию, пока не беспокоит.

В декабре 2019 г мне поставили коронки emax. И на соседние 2 зуба- виниры (чтоб смотрелось норм)

Результат постановки коронок меня не устроил. Зубы поставлены как будто под наклоном и между коронками в одном месте появился огромный десновой сосочек, который мешает жить, при разговоре и слюна вылетает и свистеть можно) врач уверяла, что зарастёт за 2 недели. Но прошло 3 месяца, ситуация не изменилась.

Если это важно- коронки устанавливали без коффердама.

Я обратилась к другим ортопедам за советом, может мне поставили коронки не так как надо? Почему щель? И большинство ответов было таким- коронка одна поставлена не плотно. И вообще чтобы поставить качественно коронки , нужна ортодонтия.

К ортодонтам ходила на личную консультацию. Конечно там есть над чем работать, но ещё ни один ортодонт не вселил доверия.

Вопросы:

1. Действительно ли жизненно необходимо в моем случае ортодонт лечение?

2. Что будет впоследствии с зубами, если я не буду ставить БС?

3. Каким образом БС крепится на виниры и коронки? Ощущение что они и так на ладан дышат, щёлкают после еды, а с брекетами наверное вообще отвалятся. Реально ли НЕ трогать передние зубы для выравнивания зубного ряда и прикуса?

4. У меня много депульпипованных зубов, киста, плюс ко всему нижние зубы трапециевидные, при их перемещении появятся щели, а виниры на них я ставить не хочу....есть ли смысл ввязываться в такое рисковое лечение?

 

Ссылку на КТ прилагаю, не знаю откроется или нет.

 

https://drive.google.com/open?id=1fp042ssCNfvp3B19SGM4TykOPuuaK5gu

 

Буду благодарна за ответ, если ещё нужны какие-либо данные, сообщите, пож—та.

post-59529-0-16981000-1582962881_thumb.jpeg

post-59529-0-84846100-1582962895_thumb.jpeg

post-59529-0-88426700-1582962957_thumb.jpeg

post-59529-0-55853600-1582963044_thumb.jpeg

post-59529-0-44552200-1582963136_thumb.jpeg

post-59529-0-61098200-1582963152_thumb.jpeg

post-59529-0-87902300-1582963169_thumb.jpeg

post-59529-0-95196300-1582963191_thumb.jpeg

post-59529-0-90440200-1582963290_thumb.jpeg

post-59529-0-01781300-1582964467_thumb.jpeg

Ссылка на комментарий

У вас есть скривление зубных дуг в разных плоскостях, для правильного функционирования, необходимо провести анализ окклюзионных взаимоотношений чтобы принять решение на сколько вам необходима ортодонтическая подготовка, и сделать прицельные снимки в области установленных керамических конструкций, что бы понять в чем причина ваших беспокойств, на фото я не вижу огромного десневого сосочка.

Ссылка на комментарий

Для публикации сообщений создайте учётную запись или авторизуйтесь

Вы должны быть пользователем, чтобы оставить комментарий

Создать аккаунт

Зарегистрируйте новый аккаунт в нашем сообществе. Это очень просто!

Регистрация нового пользователя

Войти

Уже есть аккаунт? Войти в систему.

Войти
×
×
  • Создать...
Вверх