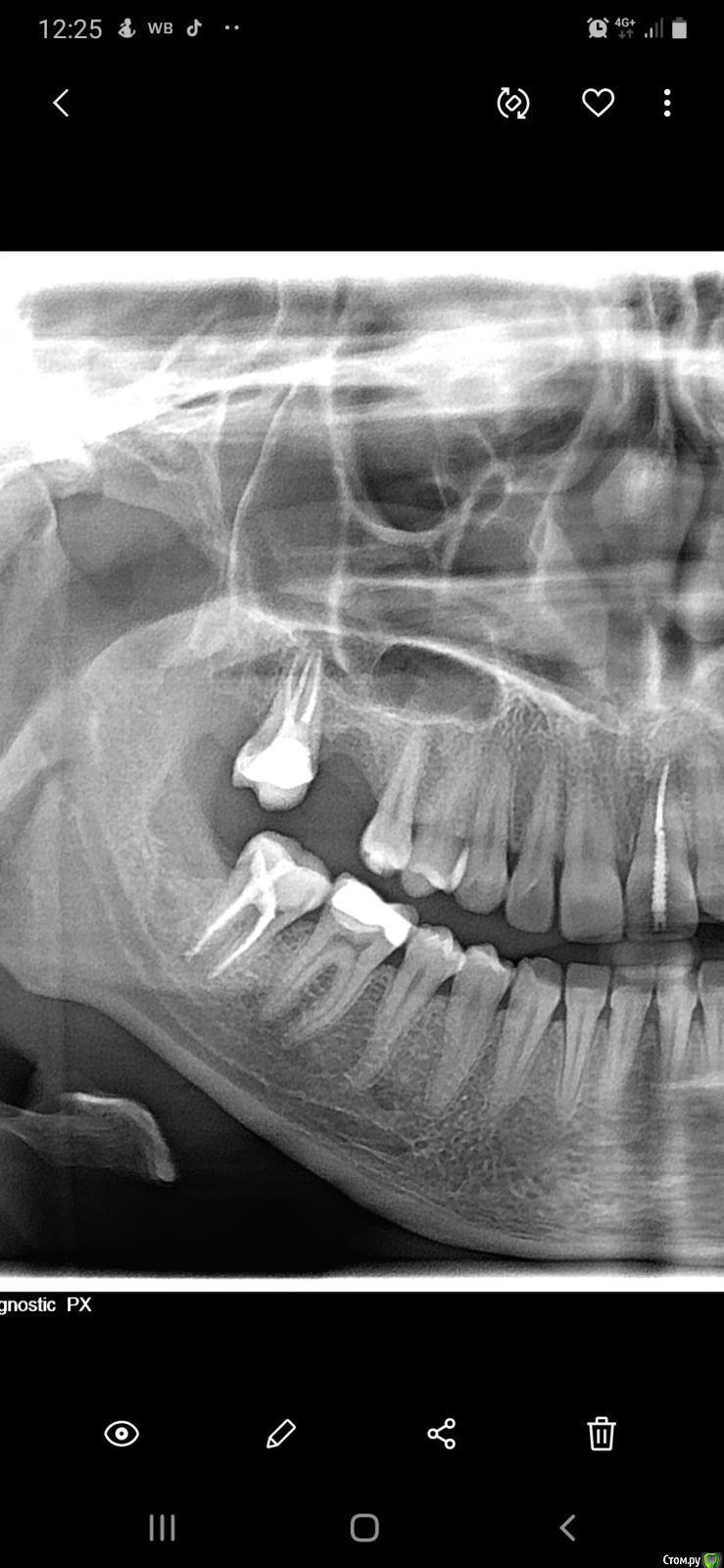
Аннушккка Опубликовано 28 февраля, 2020 Поделиться Опубликовано 28 февраля, 2020 (изменено) Болит внутри десна , и пятый зуб , но ничего не видно, на нижней челюсти, воспален подчелюстной лимфоузел снимок свежий) Изменено 28 февраля, 2020 пользователем Аннушккка Ссылка на комментарий
red_butler Опубликовано 28 февраля, 2020 Поделиться Опубликовано 28 февраля, 2020 Я бы в первую очередь смотрел 4.6 зуб Ссылка на комментарий
krokomot Опубликовано 29 февраля, 2020 Поделиться Опубликовано 29 февраля, 2020 проверить на витальность 4.6, и 4.7 не внушает доверия в плане пломбировки каналов, сделайте дополнительно томограмму. Ссылка на комментарий
Рекомендуемые сообщения
Для публикации сообщений создайте учётную запись или авторизуйтесь
Вы должны быть пользователем, чтобы оставить комментарий
Создать аккаунт
Зарегистрируйте новый аккаунт в нашем сообществе. Это очень просто!
Регистрация нового пользователяВойти
Уже есть аккаунт? Войти в систему.
Войти