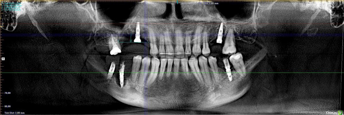
Тимур86 Опубликовано 25 февраля, 2020 Поделиться Опубликовано 25 февраля, 2020 Вот такая пациентка планируется.Интересует 1 сегмент,имлант уже удален,17 удаляем. Дефект как по горизонтали,так и по вертикали. НКР только горизонтально? Или вертикально тоже заморочиться? Ссылка на комментарий
Irouil Опубликовано 25 февраля, 2020 Поделиться Опубликовано 25 февраля, 2020 А если только горизонталить - то как планируется? Ссылка на комментарий
АнтонТЛТ Опубликовано 25 февраля, 2020 Поделиться Опубликовано 25 февраля, 2020 В идеале внутриротовую фотографиию глянуть и улыбку. 1 Ссылка на комментарий
Тимур86 Опубликовано 25 февраля, 2020 Автор Поделиться Опубликовано 25 февраля, 2020 (изменено) А если только горизонталить - то как планируется?цитопласт Изменено 25 февраля, 2020 пользователем Тимур86 Ссылка на комментарий
Тимур86 Опубликовано 25 февраля, 2020 Автор Поделиться Опубликовано 25 февраля, 2020 В идеале внутриротовую фотографиию глянуть и улыбку.к эстетике требования невысокие Ссылка на комментарий
АнтонТЛТ Опубликовано 25 февраля, 2020 Поделиться Опубликовано 25 февраля, 2020 к эстетике требования невысокиеДело же не только в эстетике, но и в возможности самостоятельной адекватной гигиены дома. 1 Ссылка на комментарий
Тимур86 Опубликовано 25 февраля, 2020 Автор Поделиться Опубликовано 25 февраля, 2020 Дело же не только в эстетике, но и в возможности самостоятельной адекватной гигиены дома.Согласен. Десной эту проблему не решить? Ссылка на комментарий
Тимур86 Опубликовано 25 февраля, 2020 Автор Поделиться Опубликовано 25 февраля, 2020 цитопластвернее вертикалить цитопласт, горизнталить сосиску думаю Ссылка на комментарий
Irouil Опубликовано 25 февраля, 2020 Поделиться Опубликовано 25 февраля, 2020 (изменено) На цитопласт тут, на мой взгляд, придётся диссекцию от глаза до небного шва,да ещё и расщепляя оба лоскута (и перемещая небный, пожалуй). Если в наличии избытки мягких тканей - реализуемо, но если биотип тонкий, а Вам ещё предстоит работать и в других участках... Вы уверены, что в итоге Вам хватит тканей для всего и Вы не увязнете в рубцах? Может быть оставить первый сегмент на самый конец и пока заняться всем остальным, а когда подойдёт его очередь будет уже чуть яснее есть пространство для маневра или нет. Изменено 25 февраля, 2020 пользователем Irouil Ссылка на комментарий
Bier Опубликовано 25 февраля, 2020 Поделиться Опубликовано 25 февраля, 2020 ну ладно, ладно выдумывать Отвертикалить тут можно. Чтобы не увязнуть в рубцах, есть методы. Если зубы имеющиеся зубы нормальной высоты, я бы вертикалил. Ссылка на комментарий
stommm Опубликовано 26 февраля, 2020 Поделиться Опубликовано 26 февраля, 2020 Пики есть, вертикалить можно. Определите идеальную позицию имплантов от зенита коронок, померьте сколько не хватает по высоте если ставить в зонах где кость выше и от этого отталкивайтесь. Ссылка на комментарий
АнтонТЛТ Опубликовано 26 февраля, 2020 Поделиться Опубликовано 26 февраля, 2020 Согласен. Десной эту проблему не решить?Поэтому и говорю про фотки) Ссылка на комментарий
Рекомендуемые сообщения
Для публикации сообщений создайте учётную запись или авторизуйтесь
Вы должны быть пользователем, чтобы оставить комментарий
Создать аккаунт
Зарегистрируйте новый аккаунт в нашем сообществе. Это очень просто!
Регистрация нового пользователяВойти
Уже есть аккаунт? Войти в систему.
Войти