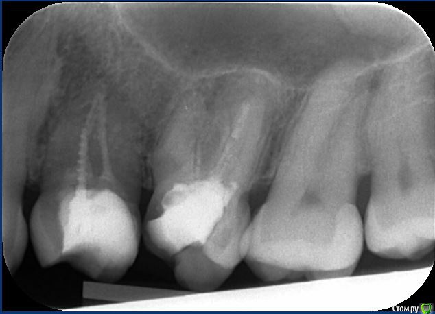
Елена67 Опубликовано 21 февраля, 2020 Поделиться Опубликовано 21 февраля, 2020 Уважаемые доктора, очень прошу вашего совета. На верхней челюсти на корне есть гранулема, периодически, не часто появляются ноющие боли. Пломба большая (на пол зуба), поставленная около 20 лет назад. Пролечить зуб никто не берется т. к неувены что могут пройти каналы. Советуют при обострениях принимать антибиотики или удалять зуб.Скажите пожалуйста можно ли спасти зуб, сделав резекцию корня в этом случае? Ссылка на комментарий
krokomot Опубликовано 22 февраля, 2020 Поделиться Опубликовано 22 февраля, 2020 В Питере есть много грамотных спецов в этой области, если это возможно то смогут пролечить каналы. Ссылка на комментарий
Рекомендуемые сообщения
Для публикации сообщений создайте учётную запись или авторизуйтесь
Вы должны быть пользователем, чтобы оставить комментарий
Создать аккаунт
Зарегистрируйте новый аккаунт в нашем сообществе. Это очень просто!
Регистрация нового пользователяВойти
Уже есть аккаунт? Войти в систему.
Войти