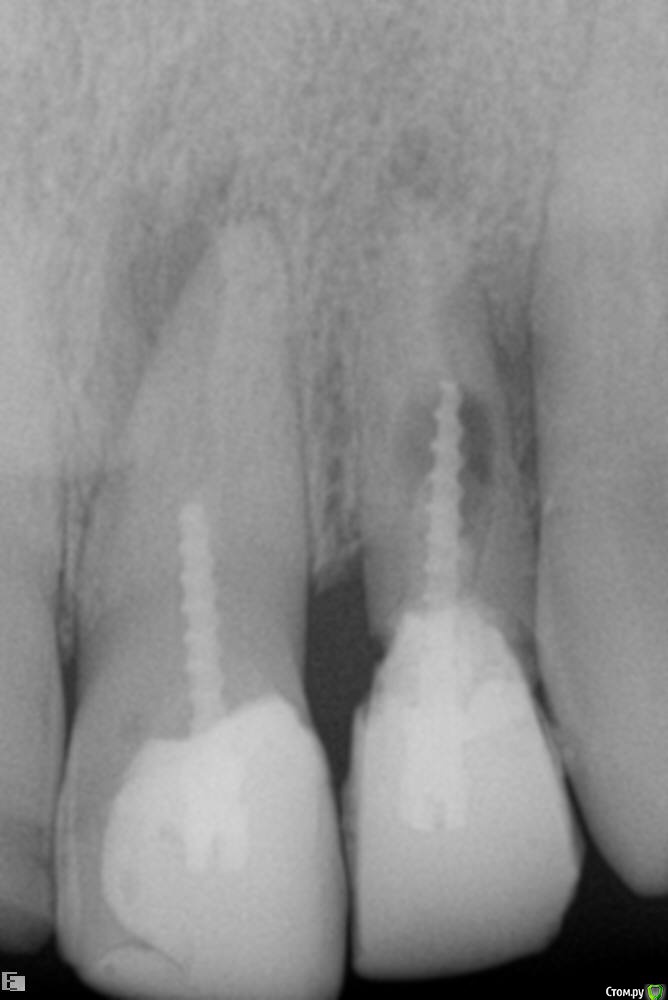
Westika Опубликовано 20 февраля, 2020 Поделиться Опубликовано 20 февраля, 2020 7 февраля поставили старый штифт повторно на цемент. На следующий день зуб и соседние стали ныть. Сделали снимок 8 числа - рекомендация удаление штифта с корнем. 9 февраля опухла щека + температура. 10 числа нашла своего стоматолога терапевта-выдавил мне гной. Была на консультация у нескольких стоматологов - все говорят удалять. На сейчас гной при надавливании из десны выходит. Десна припухшая. Есть варианты лечения? Ссылка на комментарий
hogsmeed Опубликовано 20 февраля, 2020 Поделиться Опубликовано 20 февраля, 2020 имплантация Ссылка на комментарий
red_butler Опубликовано 20 февраля, 2020 Поделиться Опубликовано 20 февраля, 2020 Есть варианты лечения? удалять Ссылка на комментарий
dima3M Опубликовано 20 февраля, 2020 Поделиться Опубликовано 20 февраля, 2020 Удалять Ссылка на комментарий
Рекомендуемые сообщения
Для публикации сообщений создайте учётную запись или авторизуйтесь
Вы должны быть пользователем, чтобы оставить комментарий
Создать аккаунт
Зарегистрируйте новый аккаунт в нашем сообществе. Это очень просто!
Регистрация нового пользователяВойти
Уже есть аккаунт? Войти в систему.
Войти