dmitrib81 Опубликовано 19 февраля, 2020 Поделиться Опубликовано 19 февраля, 2020 Помогите определить источник боли в зубе Ссылка на комментарий
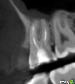
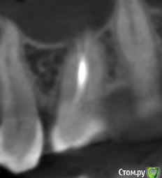
krokomot Опубликовано 19 февраля, 2020 Поделиться Опубликовано 19 февраля, 2020 в медиальном корне недопломбировка и наличие вероятно 4ого канала. Ссылка на комментарий
red_butler Опубликовано 20 февраля, 2020 Поделиться Опубликовано 20 февраля, 2020 Какие жалобы? Ссылка на комментарий
dmitrib81 Опубликовано 20 февраля, 2020 Автор Поделиться Опубликовано 20 февраля, 2020 Зуб делали много лет назад. Примерно неделю назад появились периодические боли, бывает целый день не болит, потом снова ноющая боль. С приёмом пищи никак не связано. На горячие и холод реакции нетПодскажите, может ещё прислать фоток из КТ Пикассо, а то я в этом ничего не понимаю, просто разных фото экрана прислал, без какого-либо понимания, на что смотреть.. Ссылка на комментарий
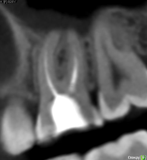
dmitrib81 Опубликовано 20 февраля, 2020 Автор Поделиться Опубликовано 20 февраля, 2020 еще фото Ссылка на комментарий
Рекомендуемые сообщения
Для публикации сообщений создайте учётную запись или авторизуйтесь
Вы должны быть пользователем, чтобы оставить комментарий
Создать аккаунт
Зарегистрируйте новый аккаунт в нашем сообществе. Это очень просто!
Регистрация нового пользователяВойти
Уже есть аккаунт? Войти в систему.
Войти