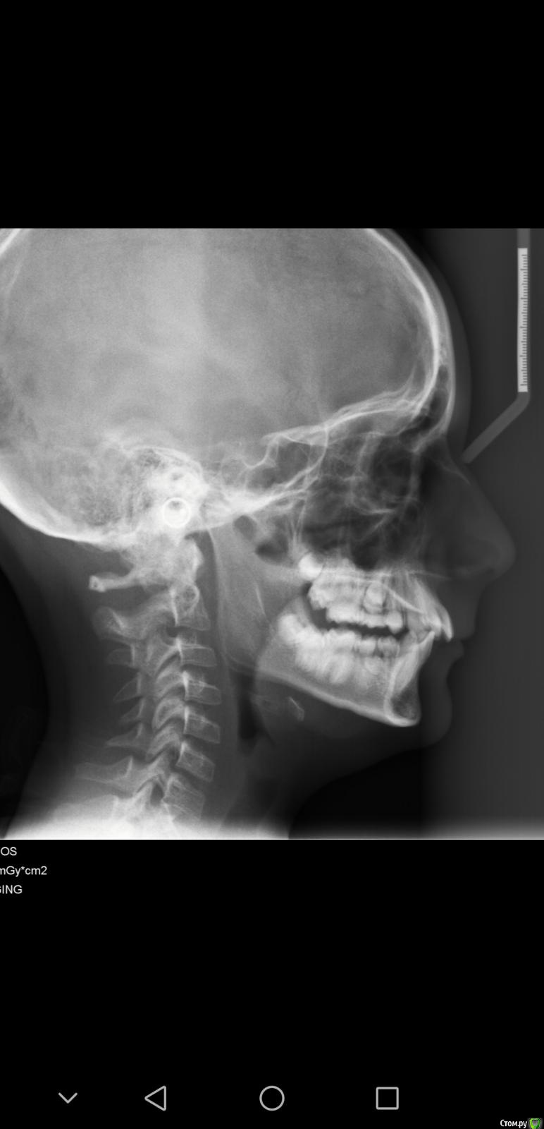
Chasiridou Опубликовано 19 февраля, 2020 Поделиться Опубликовано 19 февраля, 2020 посоветуйте терапию пожалуйста. мальчик 12 лет, верхняя челюсть выдвинута на 0.9 см вперед. снимки прилагаю. Ссылка на комментарий
red_butler Опубликовано 19 февраля, 2020 Поделиться Опубликовано 19 февраля, 2020 http://forum.stom.ru/topic/4655-patcientam/ Ссылка на комментарий
Рекомендуемые сообщения
Для публикации сообщений создайте учётную запись или авторизуйтесь
Вы должны быть пользователем, чтобы оставить комментарий
Создать аккаунт
Зарегистрируйте новый аккаунт в нашем сообществе. Это очень просто!
Регистрация нового пользователяВойти
Уже есть аккаунт? Войти в систему.
Войти