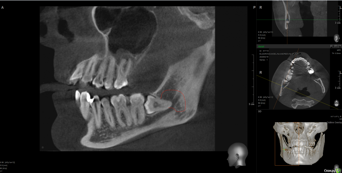
It'sGeorgy Опубликовано 17 февраля, 2020 Поделиться Опубликовано 17 февраля, 2020 Доброго времени суток! Пациентка жалуется на чувство онемения справа в области нижней челюсти. На КТ вот такая картина:Не вижу больших проблем с удалением зуба, но не могу понять есть ли новообразование в челюсти, и, если есть, каковы его размеры:или? Заранее спасибо за помощь. Ссылка на комментарий
Irouil Опубликовано 17 февраля, 2020 Поделиться Опубликовано 17 февраля, 2020 Это же кт. Почему в просвете кисты кость? 1 Ссылка на комментарий
red_butler Опубликовано 17 февраля, 2020 Поделиться Опубликовано 17 февраля, 2020 Нет там ничего 3 Ссылка на комментарий
It'sGeorgy Опубликовано 17 февраля, 2020 Автор Поделиться Опубликовано 17 февраля, 2020 Это же кт. Почему в просвете кисты кость?Спасибо, согласен с вами. Но, на всякий случай, решил спросить мнения со стороны. Нет там ничегоСпасибо. Ссылка на комментарий
Bier Опубликовано 17 февраля, 2020 Поделиться Опубликовано 17 февраля, 2020 мне кажется, что ничего тут нет Ссылка на комментарий
Dr.Berger Опубликовано 18 февраля, 2020 Поделиться Опубликовано 18 февраля, 2020 Доброго времени суток! Пациентка жалуется на чувство онемения справа в области нижней челюсти. На КТ вот такая картина:Screenshot_4.pngНе вижу больших проблем с удалением зуба, но не могу понять есть ли новообразование в челюсти, и, если есть, каковы его размеры:восемь1.pngиливосемь2.png? Заранее спасибо за помощь.а что на КТ у 47 зуба? Там периодонтит!? Ссылка на комментарий
It'sGeorgy Опубликовано 18 февраля, 2020 Автор Поделиться Опубликовано 18 февраля, 2020 мне кажется, что ничего тут нетСпасибо. а что на КТ у 47 зуба? Там периодонтит!?Вероятен и такой вариант. В пятницу увижу пациентку, посмотрю. Ссылка на комментарий
Дмитрий М Опубликовано 23 февраля, 2020 Поделиться Опубликовано 23 февраля, 2020 чувство онемения справа в области нижней челюсти возможно даже и 48 не причина! +1 кисты не вижупочему сразу решили что причина в 8-ом зубе? ментальное смотрите, проверьте все зубы, верхнюю 8-ку, определите область онемения на коже, может у пациента больше жалоб чем клиники Ссылка на комментарий
Рекомендуемые сообщения
Для публикации сообщений создайте учётную запись или авторизуйтесь
Вы должны быть пользователем, чтобы оставить комментарий
Создать аккаунт
Зарегистрируйте новый аккаунт в нашем сообществе. Это очень просто!
Регистрация нового пользователяВойти
Уже есть аккаунт? Войти в систему.
Войти