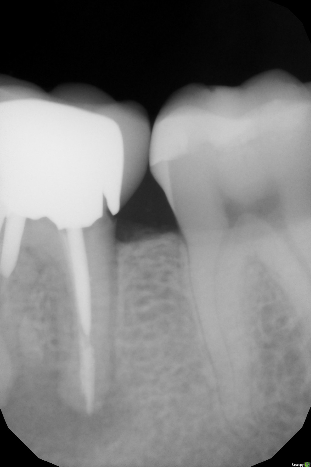
DenisB Опубликовано 15 февраля, 2020 Поделиться Опубликовано 15 февраля, 2020 Здравствуйте! Стал немного побаливать зуб под коронкой, особенно если жевать им твердую пищу (баранки и т.д.). Причем иногда ноющая боль есть, иногда - нет. Коронку на зуб ставили в 2013 году. Сходил к стоматологу, сделали рентген, обнаружили кисту под зубом (см. фото). Стоматолог говорит, что нужно удалять зуб, после этого ставить имплант. Вопрос: возможны ли какие-то другие варианты убрать эту кисту или в данном случае поможет только удаление? Ссылка на комментарий
___49___ Опубликовано 15 февраля, 2020 Поделиться Опубликовано 15 февраля, 2020 Разделяю мнение Вашего стоматолога, удалять . 1 Ссылка на комментарий
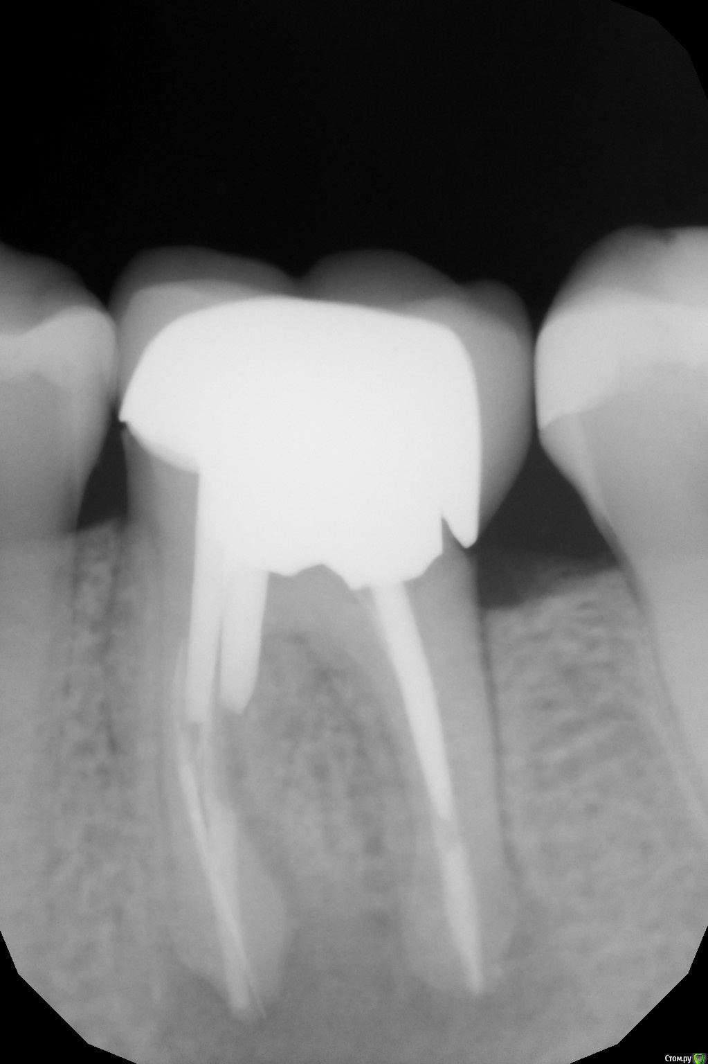
red_butler Опубликовано 15 февраля, 2020 Поделиться Опубликовано 15 февраля, 2020 Можно резекцию верхушек корней сделать, но я бы удалил Ссылка на комментарий
krokomot Опубликовано 16 февраля, 2020 Поделиться Опубликовано 16 февраля, 2020 Удалять! Ссылка на комментарий
dima3M Опубликовано 16 февраля, 2020 Поделиться Опубликовано 16 февраля, 2020 Наличие вкладки, большой зоны воспаления и фрагмента инструмента в канале резко снижают прогноз на выздоровление после повторного лечения.Целесообразнее удаление и потом имплантация Ссылка на комментарий
Рекомендуемые сообщения
Для публикации сообщений создайте учётную запись или авторизуйтесь
Вы должны быть пользователем, чтобы оставить комментарий
Создать аккаунт
Зарегистрируйте новый аккаунт в нашем сообществе. Это очень просто!
Регистрация нового пользователяВойти
Уже есть аккаунт? Войти в систему.
Войти