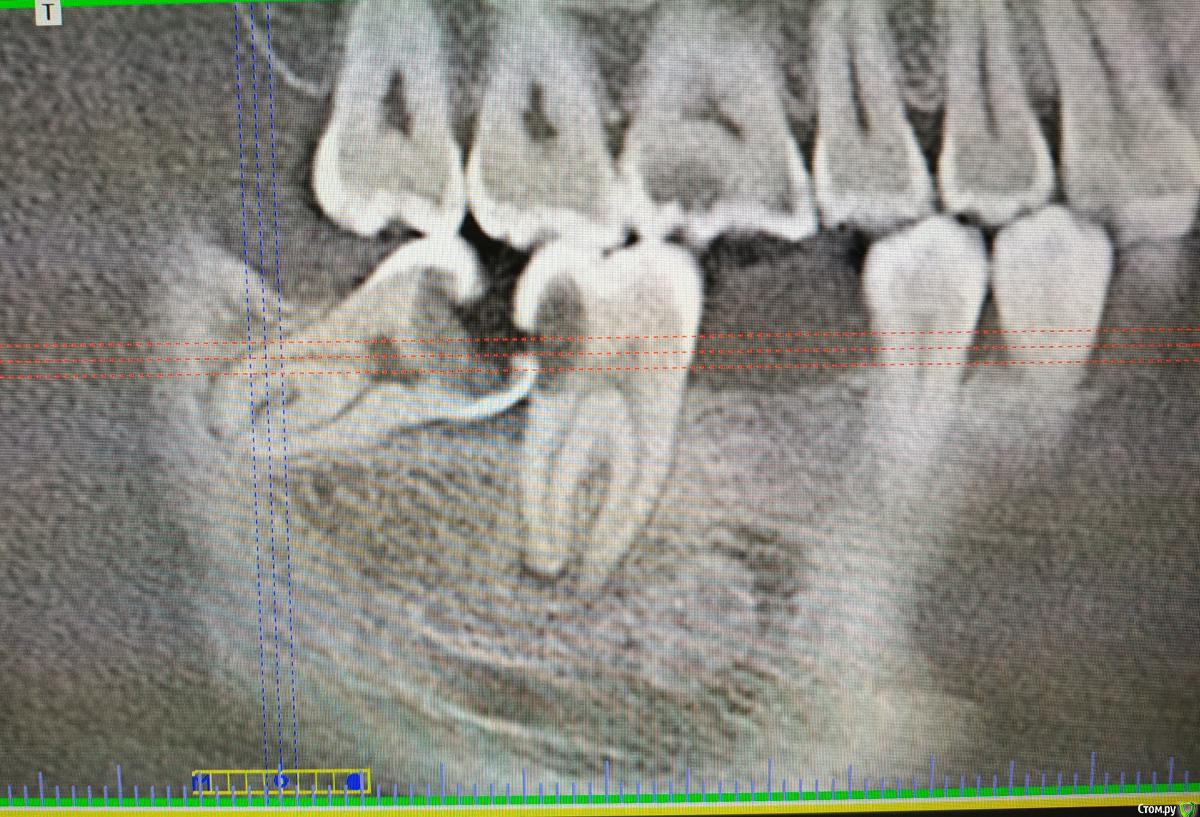
Den4558 Опубликовано 14 февраля, 2020 Поделиться Опубликовано 14 февраля, 2020 Доброго времени!Стоматолог изучив снимки не решился взяться за удаление зуба мудрости, посоветовав обратиться к коллегам с более богатым опытом в подобных случаях, что несколько меня насторожило и конечно возник вопрос насколько объективно все плохо.Сказал что очень вероятны плохие последствия после удаления, что придется обращаться в стационар.Помогите пожалуйста так ли это, насколько данная ситуация нетипична, и, если сохранять семерку (если вообще возможно) то насколько усложнена будет процедура по удалению восьмерки? Заранее благодарю. Ссылка на комментарий
Irouil Опубликовано 14 февраля, 2020 Поделиться Опубликовано 14 февраля, 2020 А в чем вопрос? Для доктора, который Вас смотрел, удаление сложное - он благоразумно, спасибо за это, предложил Вам найти специалиста с соответствующим опытом. Для более опытного специалиста оно будет рутинным. Такого и рекомендую Вам найти. Вопрос о сохранении 7-ки можно будет решать месяца через 3 после удаления 8-ки, но на этот период ее нужно будет пролечить и временно запломбировать. 4 Ссылка на комментарий
It'sGeorgy Опубликовано 14 февраля, 2020 Поделиться Опубликовано 14 февраля, 2020 Доброго времени!Стоматолог изучив снимки не решился взяться за удаление зуба мудрости, посоветовав обратиться к коллегам с более богатым опытом в подобных случаях, что несколько меня насторожило и конечно возник вопрос насколько объективно все плохо.Сказал что очень вероятны плохие последствия после удаления, что придется обращаться в стационар.Здравствуйте. На предоставленных вами снимках не вижу ничего сложного/необычного. Риск осложнений после удаления немногим больше, чем после удаления любого другого зуба. Помогите пожалуйста так ли это, насколько данная ситуация нетипична, и, если сохранять семерку (если вообще возможно) то насколько усложнена будет процедура по удалению восьмерки? Сказать на 100% возможно ли сохранить семерку по одному снимку сложно, необходим очный осмотр после того, как полностью заживет рана от удаленного восьмого зуба. Но удалять прямо сейчас, вместе с восьмеркой, я бы точно не стал. 2 Ссылка на комментарий
Den4558 Опубликовано 14 февраля, 2020 Автор Поделиться Опубликовано 14 февраля, 2020 спасибо за ответы! и еще вопрос - обязательно ли нужно удалять часть кости над корнями 8-го? Ссылка на комментарий
It'sGeorgy Опубликовано 14 февраля, 2020 Поделиться Опубликовано 14 февраля, 2020 спасибо за ответы! и еще вопрос - обязательно ли нужно удалять часть кости над корнями 8-го?На усмотрение оперирующего. Возможно, получится справиться без иссечения кости. Ключевой момент - вы будете лежать под анестезией и вряд ли даже поймете иссекают ли кость или нет. 2 Ссылка на комментарий
red_butler Опубликовано 15 февраля, 2020 Поделиться Опубликовано 15 февраля, 2020 Не вижу проблем с удалением 2 Ссылка на комментарий
krokomot Опубликовано 16 февраля, 2020 Поделиться Опубликовано 16 февраля, 2020 Хорошо что есть такие доктора, которые в силах грамотно оценить свои возможности и направить к другому специалисту, не вовлекая, себя и пациента в ненужные риски. В удалении данного зуба для профессионального доктора, нет ничего сложного, бывает гораздо сложнее. Не забудьте вылечить 7й зуб, перед удалением обязательно. 4 Ссылка на комментарий
Рекомендуемые сообщения
Для публикации сообщений создайте учётную запись или авторизуйтесь
Вы должны быть пользователем, чтобы оставить комментарий
Создать аккаунт
Зарегистрируйте новый аккаунт в нашем сообществе. Это очень просто!
Регистрация нового пользователяВойти
Уже есть аккаунт? Войти в систему.
Войти