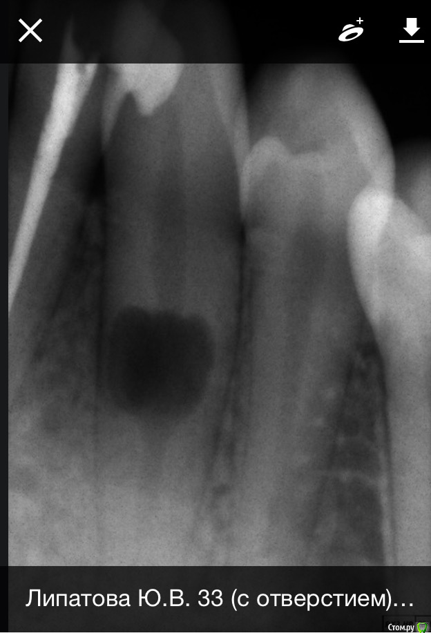
Юл1. Опубликовано 14 февраля, 2020 Поделиться Опубликовано 14 февраля, 2020 Здравствуйте, ситуация такая: 14. 02 пришла лечить 32 зуб, и случайно на снимке обнаружили это. Я была у двух опытных врачей, никто с таким не сталкивался. Мнения расходятся, один доктор говорит удалять, второй не трогать, по возможности сделать кт и наблюдать, делать снимки два раза в год. Я бы удалила, но нет финансовой возможности ставить имплант. Подскажите как быть? Возраст 26 лет, лет 5 назад делала снимок панорамный, зуб был в порядке, травм не было. Ссылка на комментарий
Дмитрий Л. Опубликовано 14 февраля, 2020 Поделиться Опубликовано 14 февраля, 2020 (изменено) Имплант там не особо и встаёт. https://bestendoglenview.com/wp-content/uploads/2012/04/Internal-inflammatory-root-resorption-the-unknown-resorption-of-the-tooth.pdf С рентгеном раз в полгода можно и влипнуть. Если решите наблюдать, то сначала раз в две недели 2 раза, потом раз в 4 недели полгода. Иногда внутрення резорбция корня случается сама по себе (по непонятным науке причинам), но иногда есть пусковые факторы. Кариес-пульпит или травма, в т.ч. окклюзионная (из-за прикуса или бруксизма). Я рекомендую вам обратиться к ХОРОШЕМУ эндодонту и пролечить зуб. Это, конечно же, может вызвать и обострение, и осложнение, но шанс ещё есть и нужно его использовать. По-этому можете ждать пока оно рассосётся или разболится, а можете пытаться спасти. Не отчаивайтесь. В крайнем случае хирурги с нашего форума смогут забрать нижнюю часть зуба, а верхнюю оставить. Успехов! Изменено 14 февраля, 2020 пользователем Дмитрий Л. 1 Ссылка на комментарий
Юл1. Опубликовано 14 февраля, 2020 Автор Поделиться Опубликовано 14 февраля, 2020 Спасибо большое за ответ, прислушаюсь, удалить успею. Ссылка на комментарий
Рекомендуемые сообщения
Для публикации сообщений создайте учётную запись или авторизуйтесь
Вы должны быть пользователем, чтобы оставить комментарий
Создать аккаунт
Зарегистрируйте новый аккаунт в нашем сообществе. Это очень просто!
Регистрация нового пользователяВойти
Уже есть аккаунт? Войти в систему.
Войти