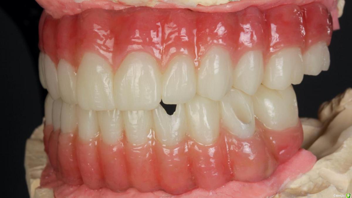
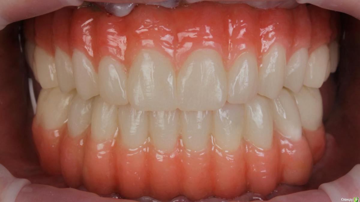
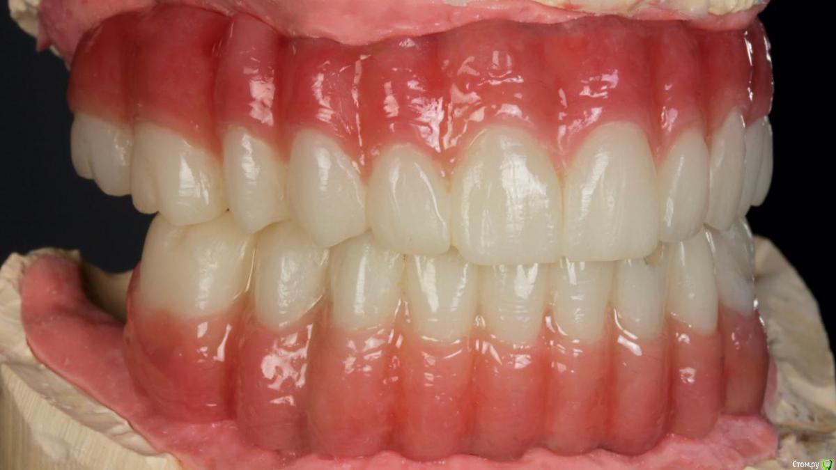
Bier Опубликовано 10 февраля, 2020 Поделиться Опубликовано 10 февраля, 2020 Хирургия в седации 3,5 часа + редукция гребня. По шаблону под пилот. Все мультиюниты были заранее выбраны техником и четко сели.Временные армированные протезы (лазерное спекание) 8 Ссылка на комментарий
Дмитрий Л. Опубликовано 10 февраля, 2020 Поделиться Опубликовано 10 февраля, 2020 Ого, ну и высота!Сразу бросаются в глаза нижние дистальные мультиюниты. Зачем было располагать имплантат с дистальным наклоном, чтоб потом техник развернул мультиюнит мезиально? Уже можно было вертикально имплант вкрутить с таким успехом.Извините за придирки, в таких сложных работах только на мелочи и можно внимание обращать. Ссылка на комментарий
Bier Опубликовано 10 февраля, 2020 Автор Поделиться Опубликовано 10 февраля, 2020 Ого, ну и высота!Сразу бросаются в глаза нижние дистальные мультиюниты. Зачем было располагать имплантат с дистальным наклоном, чтоб потом техник развернул мультиюнит мезиально? Уже можно было вертикально имплант вкрутить с таким успехом.Извините за придирки, в таких сложных работах только на мелочи и можно внимание обращать.возможно это некоторая хирургическая погрешность, в виду отсутствия полного гайда.Мне кажется, что планировался бОльший наклон и соответственно подобран мультиюнит 30 градусов. В итоге получилось так, когда я во рту фиксировал мультиюниты, мне показалось, что все достаточно параллельно. (незначительные расхождения в градусах только улучшают фиксацию)Под углом имплантат ставится для того, чтобы можно было выбрать более длинный и обеспечить бОльшую первичную стабильность, ведь пока имплантаты не прижились размер имеет значение. Ну и я обошел ментальные отверстия, разместив платформу дистальнее. Ссылка на комментарий
Дмитрий Л. Опубликовано 11 февраля, 2020 Поделиться Опубликовано 11 февраля, 2020 А какую финальную конструкцию планируете? Ссылка на комментарий
Bier Опубликовано 11 февраля, 2020 Автор Поделиться Опубликовано 11 февраля, 2020 А какую финальную конструкцию планируете?Металло композит или металлический каркас с индивидуальными коронками из керамики. Скорее всего на одну челюсть так, другую так. Ссылка на комментарий
Рекомендуемые сообщения
Для публикации сообщений создайте учётную запись или авторизуйтесь
Вы должны быть пользователем, чтобы оставить комментарий
Создать аккаунт
Зарегистрируйте новый аккаунт в нашем сообществе. Это очень просто!
Регистрация нового пользователяВойти
Уже есть аккаунт? Войти в систему.
Войти