Перейти к содержанию
Стоматология для всех

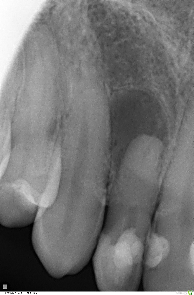
Киста 12 зуба, склерозированный канал, резорбция корня


ЕкатеринаА

Рекомендуемые сообщения

Здравствуйте. Я ищу врача, который возьмется. Ситуация сложная.
Зуб лечила ранее, меняла пломбы по мере необходимости. Думала, что он давно депульпирован, тк никогда не беспокоил, но по какой причине получилось так....не знаю. При случайном обследовании у ЛОРа на КТ была обнаружена киста 12 зуба. Процесс явно очень старый и запущенный.
Стоматологи, у которых была приговаривают его на удаление. Я бы удалила с последующей имплантацией, НО...
1. На той же челюсти отсутствует 26 зуб. Удалили еще в детстве. В следствии чего зубы немного ушли в сторону и делать имплантацию на не выровненную челюсть не хочу+хотела бы и на место утраченного 26 имплант поставить. Получается требуетсся ортодонтия, НО...
2. 12 зуб во-первых, повернут ребром, во-вторых, стоит немного под углом. Цитируя врача "ось нарушена". Пространства там очень мало. Было у нескольких протезистов и.....возможности имплантации нет, тк там для этого просто нет места. Надо двигать- нужна ортодонтия....

Канал зуба пытались пройти 3 раза под микроскопом. Каждый раз понемногу продвигаются))) Предложили вариант апикальной хирургии, НО....При апикальной хирургии ортодонты от меня открещиваются-зуб вылетит. Да и у апикального еще не была- может и не возьмется(

В общем задача- пройти канал!

Про "удалять и тут без вариантов"- я знаю и слышала, однако слепо верю в чудо.

Готова пробовать. Может есть какие-то экспериментальные методы? 

post-59753-0-90804000-1581283938_thumb.jpg

Ссылка на комментарий

Для публикации сообщений создайте учётную запись или авторизуйтесь

Вы должны быть пользователем, чтобы оставить комментарий

Создать аккаунт

Зарегистрируйте новый аккаунт в нашем сообществе. Это очень просто!

Регистрация нового пользователя

Войти

Уже есть аккаунт? Войти в систему.

Войти
×
×
  • Создать...
Вверх