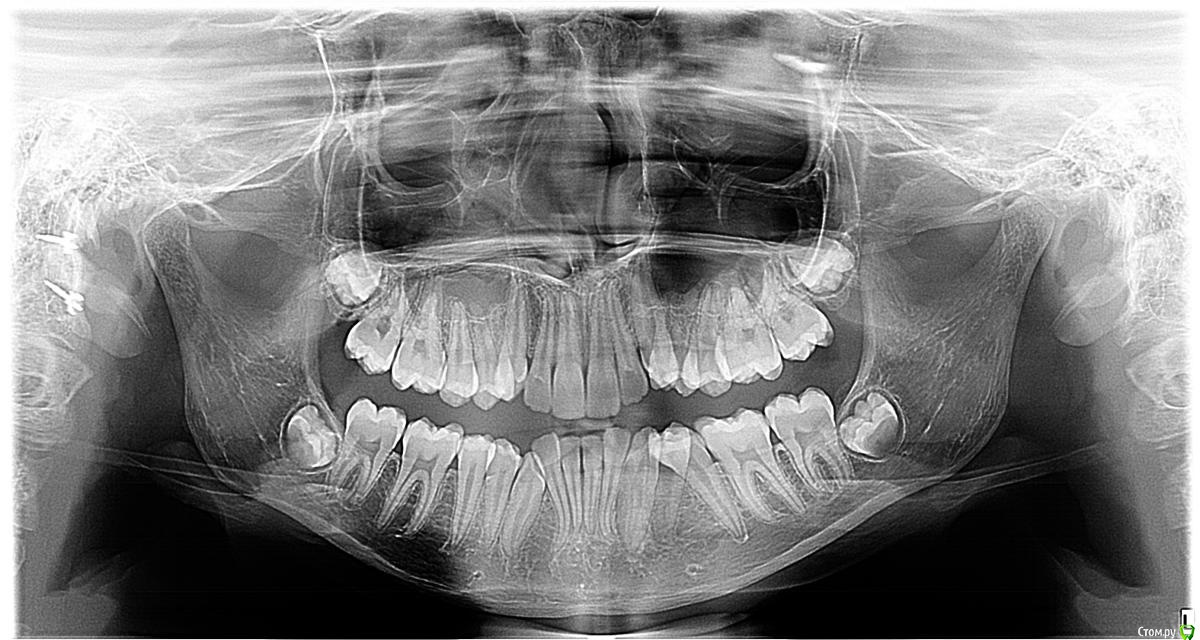
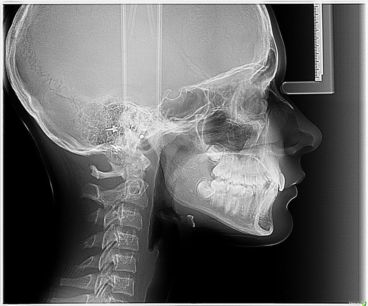
НОЛЬ Опубликовано 9 февраля, 2020 Поделиться Опубликовано 9 февраля, 2020 Прошу совета у специалистов!!! Мнения докторов у которых были на консультации неоднозначны. ВОПРОС: Возможно ли исправить ситуацию посредством скоб или брекетов.. или надо удалять..??? Возраст девочки 13 лет. Ссылка на комментарий
red_butler Опубликовано 9 февраля, 2020 Поделиться Опубликовано 9 февраля, 2020 http://forum.stom.ru/topic/4655-patcientam/ Ссылка на комментарий
НОЛЬ Опубликовано 11 февраля, 2020 Автор Поделиться Опубликовано 11 февраля, 2020 http://forum.stom.ru/topic/4655-patcientam/Спасибо! Буду дополнять. Ссылка на комментарий
Рекомендуемые сообщения
Для публикации сообщений создайте учётную запись или авторизуйтесь
Вы должны быть пользователем, чтобы оставить комментарий
Создать аккаунт
Зарегистрируйте новый аккаунт в нашем сообществе. Это очень просто!
Регистрация нового пользователяВойти
Уже есть аккаунт? Войти в систему.
Войти