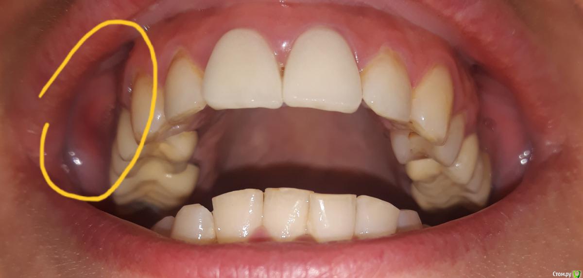
Елисавета Опубликовано 8 февраля, 2020 Поделиться Опубликовано 8 февраля, 2020 (изменено) Добрый вечер,Доктора,заранее благодарю!Примено 7 дней назад у меня начало при надавливании на щеку болеть внутри рта, сверху, у макушек корней зубов видимо(нарисую рисунок приложу),там где десна соединяется с слизистой щеки,если надавливаю на сами зубы не больно, но образовавшаяся складка между щекой и десной болит и отекла ,если натягиваю вверх щеку не видно никаких вздутий только если расслабленое состояние видно натекшую щеку складочкой.Пришла к доктору она сделала ренген,(ренген прелогаю)и говорит что у вас плохо пролечен зуб под коронкой, наверное это он и дает боль в десне,начала по нему стучать было слегка не приятно,потом стучала по соседнему зубу без коронки, пыталась найти больной зуб, но он тоже не болит,после всех этих манипуляций она сказала что нужно снимать мост и удалять зуб,но я так и не поняла как она с такой уверенностью говорит снимать мост если стучала по разным зубам и боли не в том не в другом толком не было?можно ли по ренгену этому сказать что зуб нужно удалять и что именно он виновник боли в десне сверху?я переживаю что сейчас мне снимут мост ,и окажется что дело не в том зубе а в другом зубе..как поступить? и могут ли такие боли и такое расположение отека быть связано с недавним проявлением герпеса?хроническим насморком именно в этой ноздре(и наличием в соустье пазухи носа пломбы)котороую врачь мне сказала убирать хирургичнским путем так как расположение этой пломбы не безопасное?или может ли быть такое воспаление связано с тем что на этом месте тольтко снаружи щеки, постоянное подкожные восполения которое я "давлю" раза два в неделю много лет... Изменено 8 февраля, 2020 пользователем Елисавета 1 Ссылка на комментарий
dok1 Опубликовано 10 февраля, 2020 Поделиться Опубликовано 10 февраля, 2020 Раз жалобы есть, значит проблема присутствует. Снимки неинформативны ввиду наложения структур зуба и кости друг на друга. Выкладывайте срезы КТ Ссылка на комментарий
dima3M Опубликовано 15 февраля, 2020 Поделиться Опубликовано 15 февраля, 2020 Предположительно проблема между щечными корнями,(судя по приведенному снимку) Но лучше сделать КТ. Ссылка на комментарий
Рекомендуемые сообщения
Для публикации сообщений создайте учётную запись или авторизуйтесь
Вы должны быть пользователем, чтобы оставить комментарий
Создать аккаунт
Зарегистрируйте новый аккаунт в нашем сообществе. Это очень просто!
Регистрация нового пользователяВойти
Уже есть аккаунт? Войти в систему.
Войти