Перейти к содержанию
Стоматология для всех

Периодонтит, удалять или нет?


elena130189

Рекомендуемые сообщения

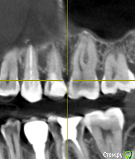
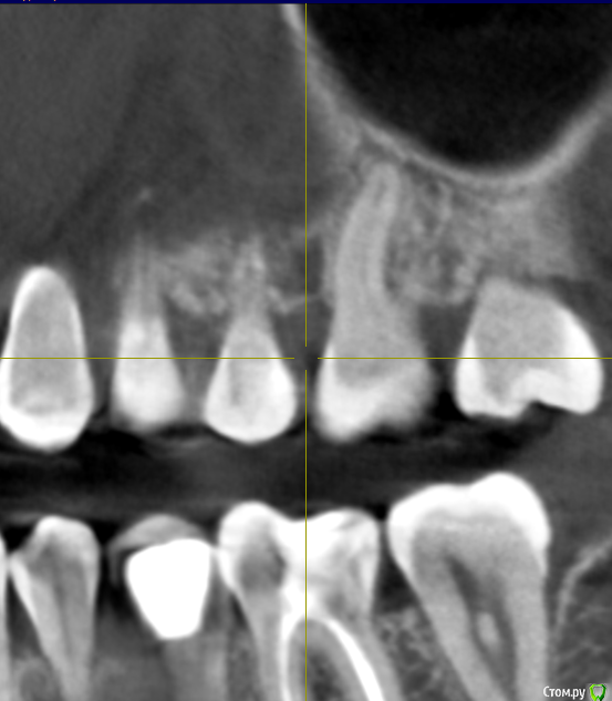
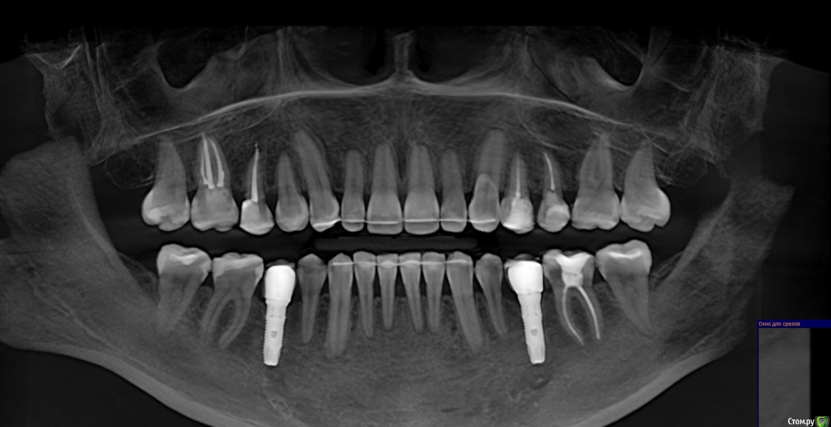
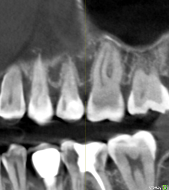
Добрый день! Два месяца назад началась моя история с зубами. Беспокоили дикие боли в зубах, как при пульпите, в 4-ке и 5-ке. Сделано было несколько прицельных и рентгеновских снимков, которые ничего не показали. Обошла пять стоматологов, никто проблем не находил, отправляли к лору или неврологу. КТ никто сделать не предложил, к сожалению. Было принято решение совместно с шестым! стоматологом депульпировать эти два зуба. При удалении нервов стоматолог сказал, что нервов уже почти нет и в 4, и в 5, сказал, что у меня хронический периодонтит, а в 4-ке стоматолог увидела на снимке (когда проверяла каналы после лечения) наружную резорбцию корня. В 5-ку поставили сразу постоянную пломбу, в 4-ке сейчас стоит временная (материал МТА). Но боль в 4-ке осталась, она не такая конечно сильная, как была, но ноющая, усиливается после горячего, после еды, в основном. И над зубом есть свищ, он не беспокоит и не болит при надавливании (стоматолог говорит, что это материал под десной, из-за резорбции) Врач говорит, что все пройдет, и через 2 месяца ставим постоянную пломбу, но болит уже месяц. Я сама сделала КТ, очень прошу вас посмотреть и подсказать, как действовать дальше? Может проще удалить этот зуб и поставить имплантат? 

post-59732-0-61505200-1581019922_thumb.png

post-59732-0-03092500-1581019932_thumb.png

post-59732-0-11146500-1581019937_thumb.png

post-59732-0-17243600-1581019941_thumb.png

post-59732-0-18617500-1581019944_thumb.png

Ссылка на комментарий

Для публикации сообщений создайте учётную запись или авторизуйтесь

Вы должны быть пользователем, чтобы оставить комментарий

Создать аккаунт

Зарегистрируйте новый аккаунт в нашем сообществе. Это очень просто!

Регистрация нового пользователя

Войти

Уже есть аккаунт? Войти в систему.

Войти
×
×
  • Создать...
Вверх