greenspider Опубликовано 6 февраля, 2020 Поделиться Опубликовано 6 февраля, 2020 здравствуйте.Мне изготовили два съёмных протеза, нижний и верхний. Нижний встал идеально. Верхний сильно сжимает зубы, за которые крепится кламерами протез. Сжатие таково, что зубы после снятия болят день-два.Если ослабить крепление, протез спадает во время еды.Врач не может ничего сделать. Скажите, есть ли способ закрепить протез без сильного сжатия. Ссылка на комментарий
dentikl Опубликовано 6 февраля, 2020 Поделиться Опубликовано 6 февраля, 2020 здравствуйте.Мне изготовили два съёмных протеза, нижний и верхний. Нижний встал идеально. Верхний сильно сжимает зубы, за которые крепится кламерами протез. Сжатие таково, что зубы после снятия болят день-два.Если ослабить крепление, протез спадает во время еды.Врач не может ничего сделать. Скажите, есть ли способ закрепить протез без сильного сжатия.ослабить крепление и фиксировать клеем 1 Ссылка на комментарий
greenspider Опубликовано 7 февраля, 2020 Автор Поделиться Опубликовано 7 февраля, 2020 ослабить крепление и фиксировать клеемСпасибо, dentikl. Скажите, а может ли такое тесное крепление нарушить крепёжный зуб и рядом стоящие ? Ведь происходит ежедневное расшатывание зубов. Ссылка на комментарий
red_butler Опубликовано 7 февраля, 2020 Поделиться Опубликовано 7 февраля, 2020 http://forum.stom.ru/topic/20613-sovety-patcientam-obiazatelno-k-prochteniiu/ Ссылка на комментарий
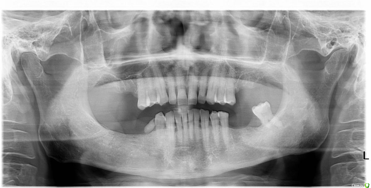
dentikl Опубликовано 7 февраля, 2020 Поделиться Опубликовано 7 февраля, 2020 Спасибо, dentikl. Скажите, а может ли такое тесное крепление нарушить крепёжный зуб и рядом стоящие ? Ведь происходит ежедневное расшатывание зубов. фото зубов плз Ссылка на комментарий
greenspider Опубликовано 9 февраля, 2020 Автор Поделиться Опубликовано 9 февраля, 2020 фото зубов плзпрошу прощения. вот фото: Ссылка на комментарий
dentikl Опубликовано 11 февраля, 2020 Поделиться Опубликовано 11 февраля, 2020 попросите поменять металлические кламмы на нейлоновые или попросите сделать нейлоновый протез Ссылка на комментарий
red_butler Опубликовано 11 февраля, 2020 Поделиться Опубликовано 11 февраля, 2020 а лучше имплантироваться и выбросить съемник Ссылка на комментарий
greenspider Опубликовано 11 февраля, 2020 Автор Поделиться Опубликовано 11 февраля, 2020 попросите поменять металлические кламмы на нейлоновые или попросите сделать нейлоновый протезВы серьёзно ? за эти два протеза я отдал 62.700, плюс две операции по 2.100, плюс 3.500 за пломбирование одиночного зуба. И всё забыть, и ещё добавить около 100.000. Ссылка на комментарий
greenspider Опубликовано 11 февраля, 2020 Автор Поделиться Опубликовано 11 февраля, 2020 а лучше имплантироваться и выбросить съемникконечно, лучше, если деньги есть. я вижу здесь врачи с юмором. Ссылка на комментарий
dentikl Опубликовано 11 февраля, 2020 Поделиться Опубликовано 11 февраля, 2020 Вы серьёзно ? Я-безплатно.(консультирую вас)Смена кламмов стоит копейки. 1 Ссылка на комментарий
greenspider Опубликовано 12 февраля, 2020 Автор Поделиться Опубликовано 12 февраля, 2020 Я-безплатно.(консультирую вас)Смена кламмов стоит копейки.спасибо за консультацию, dentikl.Если смена кламмеров недорога и решит мою проблему, я, конечно, так и сделаю.А как Вы думаете, почему локальный врач не помог мне таким советом, а только признался в своей безпомощности ? Он имеет опыт и некие заслуги. 1 Ссылка на комментарий
dentikl Опубликовано 12 февраля, 2020 Поделиться Опубликовано 12 февраля, 2020 (изменено) а только признался в своей безпомощности ?Он наверняка предлагал вам разные конструкции,описывая их плюсы и минусы.Покажите фото верхнего протеза?(фраза-сжимает зубы-уж больно неконкретна) Изменено 12 февраля, 2020 пользователем dentikl Ссылка на комментарий
greenspider Опубликовано 12 февраля, 2020 Автор Поделиться Опубликовано 12 февраля, 2020 Он наверняка предлагал вам разные конструкции,описывая их плюсы и минусы.Покажите фото верхнего протеза?(фраза-сжимает зубы-уж больно неконкретна)у меня так сложилось, что сегодня - фото никак. Попробую завтра вечером. Ссылка на комментарий
chervoncevdaniil Опубликовано 13 февраля, 2020 Поделиться Опубликовано 13 февраля, 2020 (изменено) попросите поменять металлические кламмы на нейлоновые или попросите сделать нейлоновый протез А как можно к акриловому протезу приварить нейлоновые кламмера,не переделывая весь базис на нейлон? Изменено 13 февраля, 2020 пользователем chervoncevdaniil Ссылка на комментарий
DmitrySH Опубликовано 13 февраля, 2020 Поделиться Опубликовано 13 февраля, 2020 Вы серьёзно ? за эти два протеза я отдал 62.700, плюс две операции по 2.100, плюс 3.500 за пломбирование одиночного зуба. И всё забыть, и ещё добавить около 100.000. Советы даются с медицинской точки зрения, а не с финансовой. Ссылка на комментарий
AndyAndy Опубликовано 13 февраля, 2020 Поделиться Опубликовано 13 февраля, 2020 Начнём с того, протезы бюгельные или пластмассовые(акриловые)? У каждого зуба есть экватор - наиболее выступающая по окружности часть. Съемный частичный протез имеет проволочные кламмера, которые, проходя через экваторы опорных зубов, пружинят и защелкиваются на более узком месте зуба (у десны). Без определенных умеренных усилий протез снять не получится, уж тем более при приеме пищи он не спадает. Опорные зубы должны быть относительно параллельны друг другу, чтобы путь введения протеза был пассивным и достигался необходимый эффект фиксации кламмерами. Вследствие возрастных изменений, некорректного положения отдельных или группы зубов по оси, разворота зубов и других причин: 1.путь введения усложняется; 2.достаточного экватора может и не быть. Все это приводит к группе проблем, некоторые из которых возникли у вас.Одно из решений - в установке коронок на опорные зубы с параллельностью и экваторами Ссылка на комментарий
dentikl Опубликовано 13 февраля, 2020 Поделиться Опубликовано 13 февраля, 2020 (изменено) А как можно к акриловому протезу приварить нейлоновые кламмера,не переделывая весь базис на нейлон?По сложности- как замена (починка)металлического кламма.Там тьма вариантов.Иногда становиться даже немного жалко,что имплантация убила сьемное как вид протезирования. Изменено 13 февраля, 2020 пользователем dentikl Ссылка на комментарий
chervoncevdaniil Опубликовано 14 февраля, 2020 Поделиться Опубликовано 14 февраля, 2020 По сложности- как замена (починка)металлического кламма.Там тьма вариантов.Иногда становиться даже немного жалко,что имплантация убила сьемное как вид протезирования.Да нет,съемное никуда не денется,уж в регионах то точно 1 Ссылка на комментарий
dentikl Опубликовано 14 февраля, 2020 Поделиться Опубликовано 14 февраля, 2020 Да нет,съемное никуда не денется,уж в регионах то точно у нас бюгелисты без работы Ссылка на комментарий
Рекомендуемые сообщения
Для публикации сообщений создайте учётную запись или авторизуйтесь
Вы должны быть пользователем, чтобы оставить комментарий
Создать аккаунт
Зарегистрируйте новый аккаунт в нашем сообществе. Это очень просто!
Регистрация нового пользователяВойти
Уже есть аккаунт? Войти в систему.
Войти