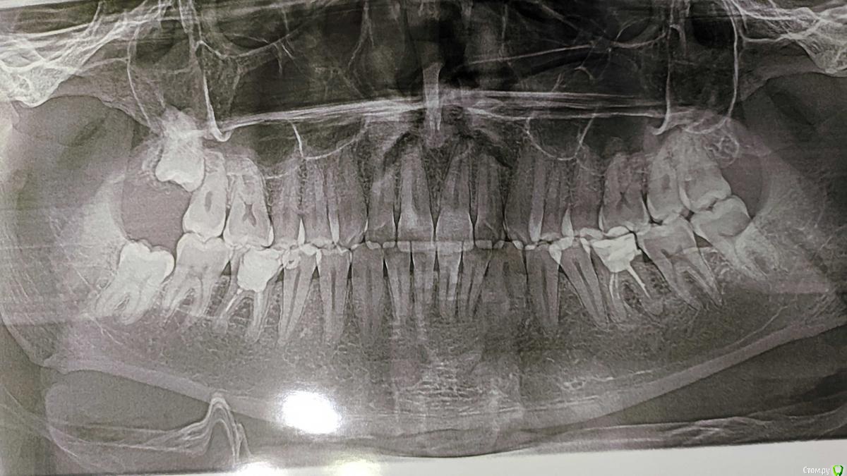
Иван Пятов Опубликовано 5 февраля, 2020 Поделиться Опубликовано 5 февраля, 2020 Добрый день! Мне 30 лет, зубы мудрости никак не беспокоят, но мне говорят что нужно удалять ретинированные зубы мудрости (до недавнего времени даже не знал что они у меня есть), так говорит терапевт и ортопед. Но хирурги при этом начинают говорить что зубы сидят очень глубоко и сверху могут быть проблемы с гайморовыми пазухами (какие проблемы я правда не понял), а снизу соответственно с нервом и пол лица может остаться онемевшим, и говорят что на момент осмотра показаний к удалению нет с их слов))). Вопрос нужно ли мне их вообще удалять, они как я понял уже выросли и дальше могут вообще не вырасти и какие последствия если их не удалить. Потому-что как понимаю риск при удалении в моем случае тоже большой получить проблемы. 1 Ссылка на комментарий
red_butler Опубликовано 5 февраля, 2020 Поделиться Опубликовано 5 февраля, 2020 если никогда не беспокоили, я бы не трогал Ссылка на комментарий
Иван Пятов Опубликовано 5 февраля, 2020 Автор Поделиться Опубликовано 5 февраля, 2020 Спасибо за мнение! А каковы потенциальные последствия, что я их отставлю? Вроде как зубы могут ехать передние. Посмотрел немного поехавшие, но пересмотрел старые снимки это уже лет 7 как точно такое положение. А еще может быть что-то вообще если оставить такие зубы? Ссылка на комментарий
Irouil Опубликовано 5 февраля, 2020 Поделиться Опубликовано 5 февраля, 2020 А я бы удалил все, кроме, может быть, правого верхнего, включая оба левых, что прорезались. Ну и замечу, что под большим вопросом нижние шестерки Ссылка на комментарий
Bier Опубликовано 5 февраля, 2020 Поделиться Опубликовано 5 февраля, 2020 А левые то за что? Ссылка на комментарий
Irouil Опубликовано 5 февраля, 2020 Поделиться Опубликовано 5 февраля, 2020 А левые то за что?Бьюсь о заклад, что ретромолярно у 3.8 лежит хлюпающий капюшон, ожидающий абсцессика с рисками провала в крылочелюстное. Надо, конечно, во рту посмотреть, чтобы убедиться. Ссылка на комментарий
Иван Пятов Опубликовано 6 февраля, 2020 Автор Поделиться Опубликовано 6 февраля, 2020 С 6ками уже все хорошо, они пролечены и поставлены коронки с вкладками. А зачем удалять левые 8ки, они прорезались и стоят в прикусе. С правой же стороны никаких проблем тоже нет, хирург смотрел, сказал на момент осмотра пару недель назад показаний к удалению нет. А при удалении описал разные варианты осложнений. Тут вопрос насколько действительно сложна такая процедура и каков риск осложнений после удаления? Ссылка на комментарий
red_butler Опубликовано 6 февраля, 2020 Поделиться Опубликовано 6 февраля, 2020 Тут вопрос насколько действительно сложна такая процедура и каков риск осложнений после удаления? при квалифицированном удалении риски минимальные Ссылка на комментарий
Irouil Опубликовано 6 февраля, 2020 Поделиться Опубликовано 6 февраля, 2020 А зачем удалять левые 8ки, они прорезались и стоят в прикусе.Бьюсь о заклад, что ретромолярно у 3.8 лежит хлюпающий капюшон, ожидающий абсцессика с рисками провала в крылочелюстное. Надо, конечно, во рту посмотреть, чтобы убедиться.С правой же стороны никаких проблем тоже нет, хирург смотрел, сказал на момент осмотра пару недель назад показаний к удалению нет. А при удалении описал разные варианты осложнений. Тут вопрос насколько действительно сложна такая процедура и каков риск осложнений после удаления?Правая нижняя восьмёрка лежит эмалью под тонким слоем десны. Вероятность того, что в этом месте сформируется пролежень и зуб частично прорежется - высокая, а в таком состоянии он станет воротами для входа бактерий в Ваш организм. Однако, если его удалить сейчас, то ведение раны элементарное - бросаются два шва и все заживает. Если же он успеет немного прорезаться - зашить рану просто так уже не получится, а значит либо рана будет заживать дольше и хуже, либо придётся проводить пластику дефекта мягкими тканями, что а) делают не все клиницисты б) усложняет реабилитацию (больше отеки и боли в первые несколько суток) На данный момент, судя по снимкам, риски каких-то серьёзных осложнений удаления правого нижнего зуба невелики. 1 Ссылка на комментарий
Марья Моревна Опубликовано 6 февраля, 2020 Поделиться Опубликовано 6 февраля, 2020 Кариес 47 может быть бессимптомный,а затем и пульпит.Но удалять 48 должен квалифицированный хирург,наподобие тех,что выше отвечали.Ради этого можно и подъехать куда-то. А может, на форуме посоветуют доктора поближе. Ссылка на комментарий
Иван Пятов Опубликовано 9 февраля, 2020 Автор Поделиться Опубликовано 9 февраля, 2020 Всем спасибо за мнения! А такой вопрос. На такущий момент лечу 6ки и ставлю на них коронки и врач ортопед говорит что нужно удалить зубы сейчас, чтобы потом можно было сделать коронки под размер. А если сначала сделать коронки, а потом удалить зубы, могут быть зазоры куда будет забиваться пища. Он говорит что месяца хватит чтобы зубы приняли свое положение и можно будет ставить коронки. Но мне как-то слабо в это верится, ведь зубы не так быстро расходятся после удаления соседа. Торопиться с удалением не хочется, нужно найти хорошего хирурга или ортопед прав? Ссылка на комментарий
red_butler Опубликовано 9 февраля, 2020 Поделиться Опубликовано 9 февраля, 2020 Восьмые зубы на шестые не повлияют 1 Ссылка на комментарий
Иван Пятов Опубликовано 10 февраля, 2020 Автор Поделиться Опубликовано 10 февраля, 2020 Восьмые зубы на шестые не повлияютИмел в виду на расстояние между 7 и 6, т.е. не может получиться так, что сейчас коронки поставлю, а когда удалю 8 зуб, семерка немного отодвинется и между 6 и 7 зубом будет щель куда будет постоянно забиваться еда? Ссылка на комментарий
red_butler Опубликовано 10 февраля, 2020 Поделиться Опубликовано 10 февраля, 2020 Имел в виду на расстояние между 7 и 6, т.е. не может получиться так, что сейчас коронки поставлю, а когда удалю 8 зуб, семерка немного отодвинется и между 6 и 7 зубом будет щель куда будет постоянно забиваться еда?нет Ссылка на комментарий
Рекомендуемые сообщения
Для публикации сообщений создайте учётную запись или авторизуйтесь
Вы должны быть пользователем, чтобы оставить комментарий
Создать аккаунт
Зарегистрируйте новый аккаунт в нашем сообществе. Это очень просто!
Регистрация нового пользователяВойти
Уже есть аккаунт? Войти в систему.
Войти