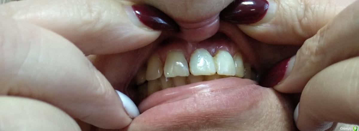
жулля Опубликовано 19 февраля, 2020 Автор Поделиться Опубликовано 19 февраля, 2020 Там есть лёгкое покраснение где коронка с десной.сейчас попробую выложить снимок Ссылка на комментарий
Irouil Опубликовано 19 февраля, 2020 Поделиться Опубликовано 19 февраля, 2020 Коронки подвижны опять, и доктор сказал, что мешают коронки, видимо пластмасса не подходит мне. И сказал, что надо ставить постоянные коронки из циркония.Это не дело, коронки должны стоять плотно и никуда не шататься. На 99% уверен, что симптоматика связана с ними Ссылка на комментарий
жулля Опубликовано 19 февраля, 2020 Автор Поделиться Опубликовано 19 февраля, 2020 (изменено) Ссылку на файл с программой разместила на файлообменник, вот ссылка https://dropmefiles.com/5zgotФото Изменено 19 февраля, 2020 пользователем жулля Ссылка на комментарий
Irouil Опубликовано 19 февраля, 2020 Поделиться Опубликовано 19 февраля, 2020 В архиве все файлы лежат в одной папке, в оригинале не так. Просмотреть их в таком виде не получится Ссылка на комментарий
жулля Опубликовано 19 февраля, 2020 Автор Поделиться Опубликовано 19 февраля, 2020 В архиве все файлы лежат в одной папке, в оригинале не так. Просмотреть их в таком виде не получитсяЗавтра попробую еще. На работе диск. Хотела Вас спросить, а что можно после 3 месяцев ставить постоянные коронки на верхнюю челюсть, имплантиум, в моем случае? Буду благодарна за ответ Ссылка на комментарий
Irouil Опубликовано 19 февраля, 2020 Поделиться Опубликовано 19 февраля, 2020 (изменено) Завтра попробую еще. На работе диск. Хотела Вас спросить, а что можно после 3 месяцев ставить постоянные коронки на верхнюю челюсть, имплантиум, в моем случае? Буду благодарна за ответОбычно срок протезирования - 4-5 месяцев, но я бы вообще разговоров о постоянных коронках пока не заводил. Временные коронки зачастую хороши именно тем, что во время их ношения надо решить все неопределённости и подготовить идеальные условия для постоянных. У Вас, очевидно, условия сейчас далеко не идеальные для протезирования Изменено 19 февраля, 2020 пользователем Irouil 1 Ссылка на комментарий
жулля Опубликовано 19 февраля, 2020 Автор Поделиться Опубликовано 19 февраля, 2020 Обычно срок протезирования - 4-5 месяцев, но я бы вообще разговоров о постоянных коронках пока не заводил. Временные коронки зачастую хороши именно тем, что во время их ношения надо решить все неопределённости и подготовить идеальные условия для постоянных. У Вас, очевидно, условия сейчас далеко не идеальные для протезированияА вот сегодняшний имплантолог посчитал, что пора мне ставить, и что все эти мои неудобства и болезненность от пластмассовых коронках. ОНи все должны были переговорить, этот, мой имплантолог и ортопед и решить что дальше делать. Так как мне сегодня не позвонил никто, значит еще решают. Мой хирург работает в этой стоматологии только по субботам. Что он скажет Ссылка на комментарий
Irouil Опубликовано 19 февраля, 2020 Поделиться Опубликовано 19 февраля, 2020 Если Вы пишете в этой теме, чтобы информировать нас о мнении Вашего лечащего врача - Вы теряете время. Каждый из пишущих здесь врачей могут только высказывать свое независимое мнение по поводу состояния Вашего здоровья. Конечно же, любой доктор, имеющий возможность консультировать Вас очно, имеет больше информации, для составления такого компетентного мнения 2 Ссылка на комментарий
жулля Опубликовано 20 февраля, 2020 Автор Поделиться Опубликовано 20 февраля, 2020 Я не обратилась бы сюда, если бы меня не интересовало ваше мнение. И я очень благодарна Вам за ответы. ОНи дают обьективную картину. ПРОсто так все запутано, вроде с имплантом, как будто все хорошо, а боль при нажатии есть, пусть и небольшая. Ссылка на комментарий
жулля Опубликовано 20 февраля, 2020 Автор Поделиться Опубликовано 20 февраля, 2020 Если Вы пишете в этой теме, чтобы информировать нас о мнении Вашего лечащего врача - Вы теряете время. Каждый из пишущих здесь врачей могут только высказывать свое независимое мнение по поводу состояния Вашего здоровья. Конечно же, любой доктор, имеющий возможность консультировать Вас очно, имеет больше информации, для составления такого компетентного мненияа по вашему первому совету, я его показала ортопеду, и мне тогда он подкрутил коронки, но как оказалось, что не долго они держались. И я купила ирригатор. Спасибо вам Ссылка на комментарий
Irouil Опубликовано 20 февраля, 2020 Поделиться Опубликовано 20 февраля, 2020 На данный момент ничего особого запутанного, на мой взгляд, нет. Пока коронки на имплантатах подвижны все остальные рассуждения о их судьбе абстрактны. Это все равно, что жить в доме с дырками в стенах, но пытаться решить проблему за счет отопления. Ссылка на комментарий
red_butler Опубликовано 20 февраля, 2020 Поделиться Опубликовано 20 февраля, 2020 Ну можно снять коронки и установить новые времяшки на титановых временных абатментах... +100500 Ссылка на комментарий
жулля Опубликовано 20 февраля, 2020 Автор Поделиться Опубликовано 20 февраля, 2020 Спасибо за дельные советы, выслала их ортопеду. Раз дело не в имплантах, то пусть решит как дальше быть со мной Ссылка на комментарий
жулля Опубликовано 20 февраля, 2020 Автор Поделиться Опубликовано 20 февраля, 2020 В субботу мне снимут коронки и поставят формирователи, вот решение моего имрлантолога.на сколько так ходить пока не знаю Ссылка на комментарий
Bier Опубликовано 22 февраля, 2020 Поделиться Опубликовано 22 февраля, 2020 проблема в том, что временные абатменты у вас пластиковые и несмотря на затягивание винтом они ослабевают. Замените эти времянки, на временные коронки на титановых абатментах, они не будут качаться и все пройдет Ссылка на комментарий
Рекомендуемые сообщения
Для публикации сообщений создайте учётную запись или авторизуйтесь
Вы должны быть пользователем, чтобы оставить комментарий
Создать аккаунт
Зарегистрируйте новый аккаунт в нашем сообществе. Это очень просто!
Регистрация нового пользователяВойти
Уже есть аккаунт? Войти в систему.
Войти