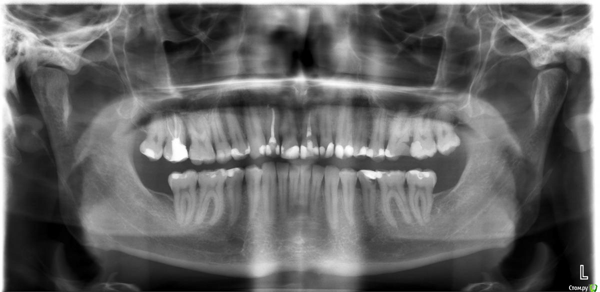
Tym Опубликовано 3 февраля, 2020 Поделиться Опубликовано 3 февраля, 2020 Здравствуйте, уважаемые специалисты!Вожно ли сохранить 7 и 6 верхние зубы (избежать удаления?), при очаговой, незначительной резорбции костной ткани в области 7 и 6 зубов, возникшей в результате хронического воспаления, являющегося следствием глубокого зубодесневого (костного) кармана между 7 и 6 зубами? Сопутствующие факторы: пародонтит, уплощение слизистой гайморовой пазухи.Фотографии КТ-снимков (сделаны с монитора ПК) прилагаю.Можете ли кто помочь в лечении данных зубов без удаления? Ссылка на комментарий
Tym Опубликовано 3 февраля, 2020 Автор Поделиться Опубликовано 3 февраля, 2020 Прицельные снимки и 3D не вмешаются в сообщения на форуме, но я готов их прислать эл. почтой по запросу. Ссылка на комментарий
chervoncevdaniil Опубликовано 4 февраля, 2020 Поделиться Опубликовано 4 февраля, 2020 По этому снимку показаний для удаления я не вижу Ссылка на комментарий
ЛанаМ Опубликовано 4 февраля, 2020 Поделиться Опубликовано 4 февраля, 2020 Проблема решаема. Сначала заменить пломбы на проблемных зубах, восстановить контактные пункты, 17 зуб - одеть коронку, 26 и 27 возможно потребуется эндолечение с последующим протезированием. Точно сказать можно при очном осмотре. Далее наблюдение у паролонтолога. Когда пища перестанет набиваться в межзубные промежутки, то и воспалительный процесс уменьшится. Ссылка на комментарий
Рекомендуемые сообщения
Для публикации сообщений создайте учётную запись или авторизуйтесь
Вы должны быть пользователем, чтобы оставить комментарий
Создать аккаунт
Зарегистрируйте новый аккаунт в нашем сообществе. Это очень просто!
Регистрация нового пользователяВойти
Уже есть аккаунт? Войти в систему.
Войти