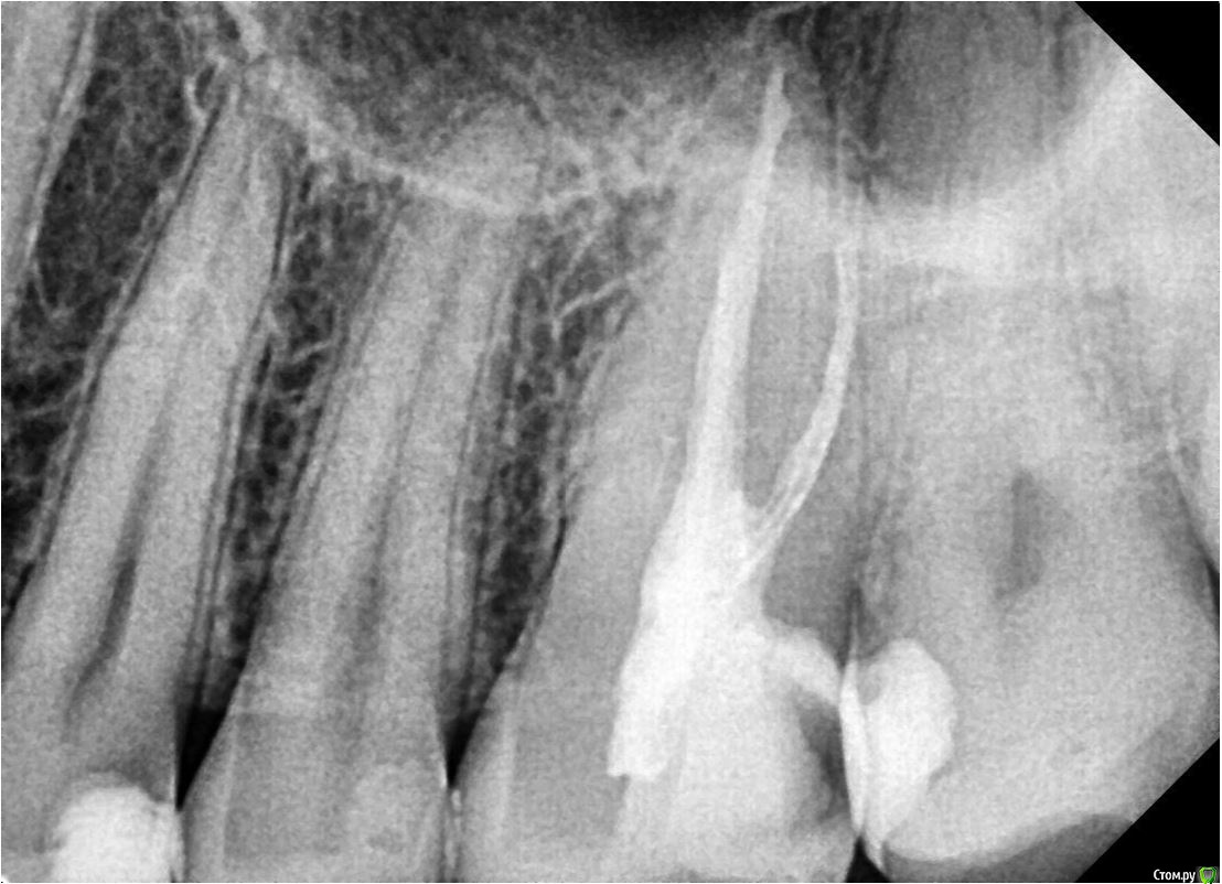
Liza544 Опубликовано 3 февраля, 2020 Поделиться Опубликовано 3 февраля, 2020 Добрый день.Помогите, пожалуйста, разобраться с причиной боли.Началось все приблизительно в начале октября (3 мес назад). Обратилась к стоматологу на проф осмотр, в ходе которого у меня обнаружили пульпит в 26-м зубе. В результате - удалили 3 нерва, но, со временем я обнаружила, что боль не прошла. Обходила несколько клиник. В ходе этого сделала пломбу на соседнем 25-м зубе. Совсем недавно удалила в том же 26-м зубе 4-й "маленький" нерв, так как сначала его не удалили, потому что не заметили (удаляла в клинике без микроскопа).В итоге, боль осталась прежней. Боль в области состыковки 26-го и 25-го зубов (при прикусывании на эту область). Наиболее логичными и вероятными предположениями, как по мне, являются: 1) 28-й зуб (зуб мудрости) , который у меня не удален - давит на соседние зубы и вызывает данную боль. Но, почему тогда, не болит 27-й? хотя, когда между 27 и 26-м провожу ниткой - есть кровь. 2) Воспалена десна. Один из стоматологов выразил данное предположение и в принципе оно может иметь место, так как когда вожу ниткой между 26-м и 25-м - болит десна. Но почему тогда так же болит и при надкусывании? К тому же, если в 26-м нету нервов, так как их удалили, как он вообще может болеть? Непонятно... Прилагаю снимки 25, 26, 27 и зуба мудрости.Буду очень признательна за хоть какие-нибудь предположения и комментарии. Спасибо. Ссылка на комментарий
kramer Опубликовано 3 февраля, 2020 Поделиться Опубликовано 3 февраля, 2020 Непонятно 1. какие жалобы были до какого-либо лечения 2. Снимки не очень информативные, и вы не написали на каких этапах лечения они сделаны Ссылка на комментарий
Liza544 Опубликовано 3 февраля, 2020 Автор Поделиться Опубликовано 3 февраля, 2020 1. До лечения была небольшая боль в том же районе (между 25-м и 26-м зубами). Это могло быть связанно с пульпитом 26-го.2. Снимки сделаны после лечения (удаления нервов в 26-м зубе + пломба в 25-м). Какие снимки мне прикрепить для того что бы они были более информативными? Ссылка на комментарий
ЛанаМ Опубликовано 4 февраля, 2020 Поделиться Опубликовано 4 февраля, 2020 Снимки желательно сочетать с очным осмотром. Подробнее, пожалуйста, о характере боли. Боль только при жевании на этой стороне? Холодное, горячее, сладкое не чувствуется? Если аккуратно постучать по 25 и 26 зубу, который чувствительнее?Если плотно сжать зубы, больно? И зачем вы чистите там ниткой? Пища продолжает забиваться или по привычке? Кровь на нитке остается? Ссылка на комментарий
Liza544 Опубликовано 4 февраля, 2020 Автор Поделиться Опубликовано 4 февраля, 2020 Если нету никакого воздействия на зубы - боль постоянная, ноющая. Когда кусаю на этот зуб - возникает резкая боль. Но проходит достаточно быстро и переходит в обычную, ноющую.На холодное/горячее/сладкое - специфической реакции нету.25 зуб не чувствителен, как и остальные зубы. Когда стучу по 26 - чувствуется всё та же ноющая боль. То есть, как и писала, резкая боль только при надкусывании. Если плотно сжать зубы - никакой боли не возникает. Чищу ниткой - потому что пытаюсь докопаться до источника проблемы.. в надежде что вот сейчас почищу и зуб уйдет. В общем, самообман. Еда не забивается. Кровь на нитке остается только если резко (случайно) проведу ниткой по десне между 25-26 и 26-27 зубами. Если делать все осторожно - кровь отсутствует. Сегодня была у пародонтолога - нашли небольшой карман, но по словам врача, карман слишком маленький (3 мм), что бы давать ту сильную боль, как я описываю. Но возле 26-го зуба почистила ультразвуком. Но уже сейчас я все равно продолжаю чувствовать боль в 26-м зубе. Возможно 26-й зуб надо перелечить? Но тогда, почему на снимках пломбировка каналов выглядит хорошо сделанной (по словам нескольких врачей)? Может ли быть что то такое, чего не видно на снимке? Заранее благодарна за любые рекомендации. Ссылка на комментарий
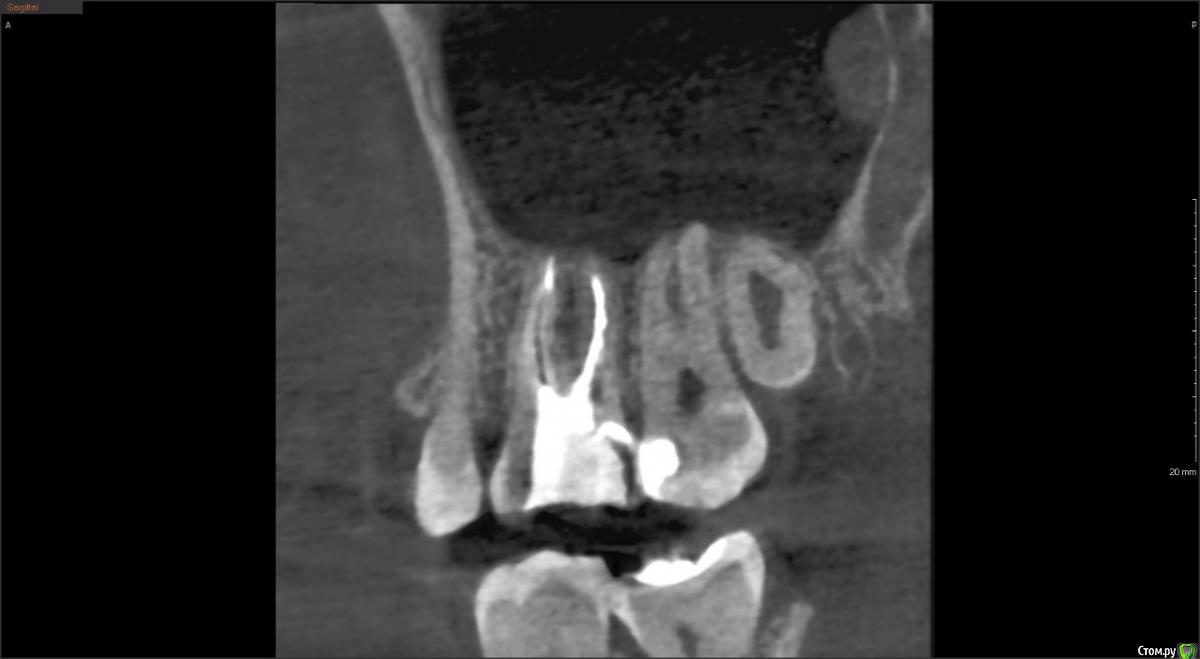
red_butler Опубликовано 4 февраля, 2020 Поделиться Опубликовано 4 февраля, 2020 Покажите ещё срезы Кт Ссылка на комментарий
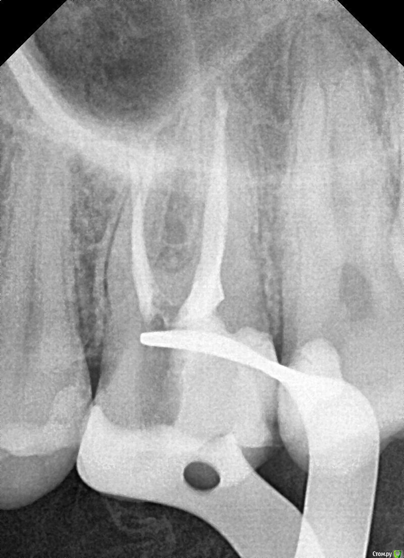
Liza544 Опубликовано 4 февраля, 2020 Автор Поделиться Опубликовано 4 февраля, 2020 Вот еще пару снимков которые у меня есть. ПРошу заметить, что последние 4 снимка (файлы 7-10), которые я тут прикрепила - до пломбы на 25-м зубе и до залеченного 4-го канала в 26-м зубе. Подскажите пожалуйста, может ли быть зуб недостаточно залечен, хотя на КТ ничего подозрительного не видно? Ссылка на комментарий
ЛанаМ Опубликовано 4 февраля, 2020 Поделиться Опубликовано 4 февраля, 2020 Воспаление десны может давать постоянные ноющие боли и боль при накусывании. От чистки сразу не пройдет, нужно дней 5-7 противоспалительного лечения и отсутствие травмирования (постараться ниткой не чистить). Также нужно убедиться, что нет хронического воспаления в гайморовой пазухе. Побольше срезов кт, желательно уже после пломбирования четвертого канала. Да, бывают проблемы в зубе и при идеальной картинке рентгеновского снимка. На нем видны только крупные каналы, а там еще целая сеть мелких. Ссылка на комментарий
Liza544 Опубликовано 4 февраля, 2020 Автор Поделиться Опубликовано 4 февраля, 2020 Спасибо большое, буду иметь ввиду. Ссылка на комментарий
Рекомендуемые сообщения
Для публикации сообщений создайте учётную запись или авторизуйтесь
Вы должны быть пользователем, чтобы оставить комментарий
Создать аккаунт
Зарегистрируйте новый аккаунт в нашем сообществе. Это очень просто!
Регистрация нового пользователяВойти
Уже есть аккаунт? Войти в систему.
Войти