Перейти к содержанию
Стоматология для всех

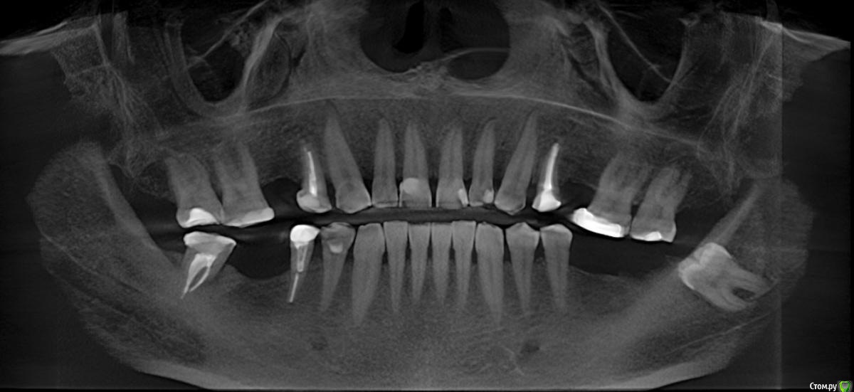
Опустился зуб, недостаточно места для импланта. Усечение гребня?


Рекомендуемые сообщения

Здравствуйте,

 

опустились 26, 27. Ортодонт не рекомендует "вколачивание".

Хотелось бы сохранить 26 и 27.

 

Предлагается усечение нижнего альвеолярного гребня для того, чтобы поставить импланты 36 и 37 и коронки минимально допустимой высоты.

 

Такой метод практикуется?

 

post-59161-0-45348400-1580466503_thumb.jpg

Ссылка на комментарий
Гость
Эта тема закрыта для публикации ответов.
×
×
  • Создать...
Вверх