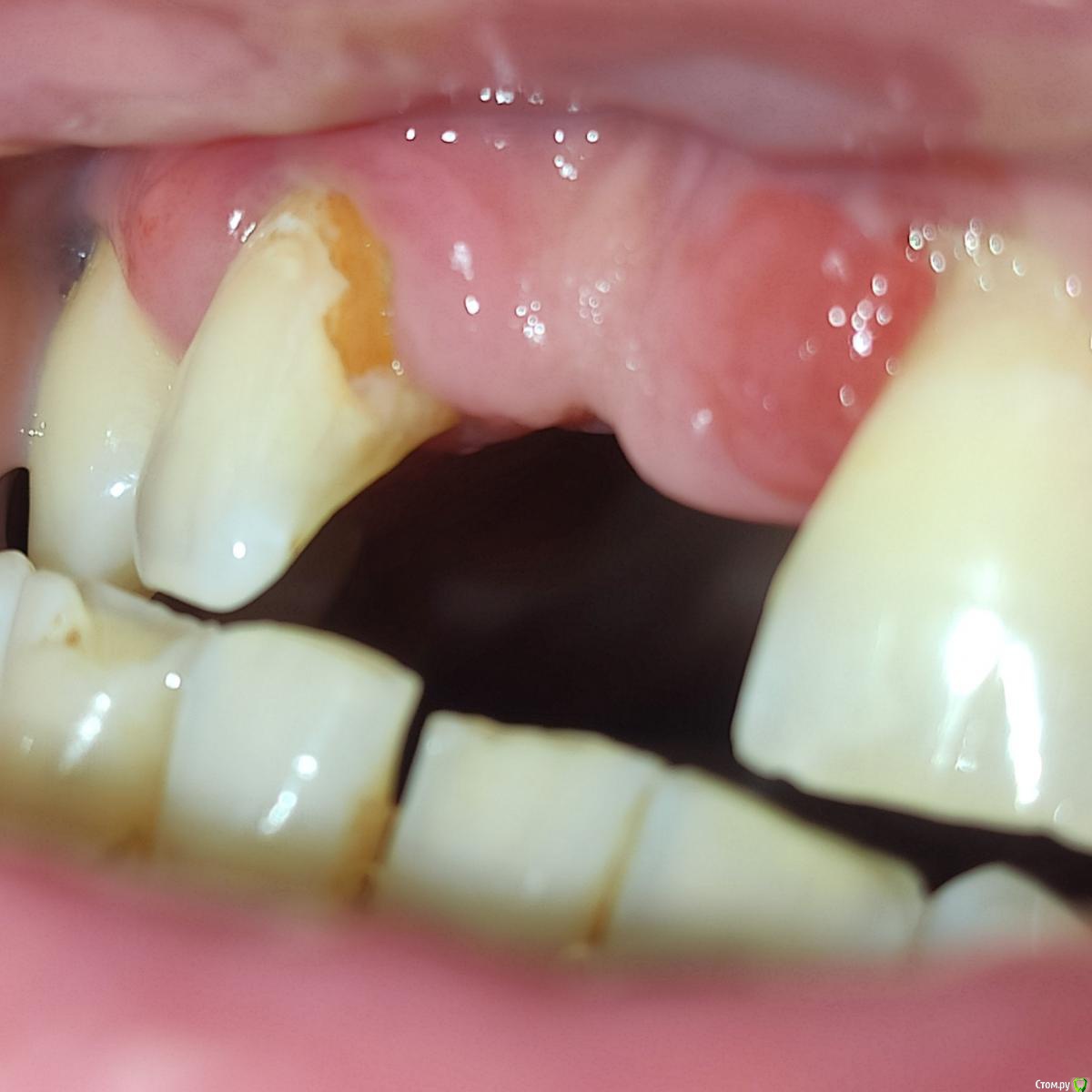
andrewV Опубликовано 30 января, 2020 Поделиться Опубликовано 30 января, 2020 (изменено) Добрый вечер. 20 лет назад удалили передний верхний зуб, все это время ходил со съемный протезом. Решил сходить провериться, сказали все очень плохо, надо удалять соседние зубы. Что можно сделать в моем случае, реально ли сохранить соседние зубы? Снимки прикладываю. Изменено 30 января, 2020 пользователем andrewV Ссылка на комментарий
DmitrySH Опубликовано 30 января, 2020 Поделиться Опубликовано 30 января, 2020 Зуб 21. удалять из-за большой потери кости. Зуб 12. сложно сказать, вижу кариес корня. Но непонятно насколько глубоко 2 Ссылка на комментарий
Bier Опубликовано 30 января, 2020 Поделиться Опубликовано 30 января, 2020 согласен Ссылка на комментарий
andrewV Опубликовано 31 января, 2020 Автор Поделиться Опубликовано 31 января, 2020 после удаления какие варианты лечения? надо же кость наращивать? Ссылка на комментарий
Bier Опубликовано 31 января, 2020 Поделиться Опубликовано 31 января, 2020 после удаления какие варианты лечения? надо же кость наращивать?смотря какие требования по эстетике. Нужны фотографии, КТ Ссылка на комментарий
andrewV Опубликовано 31 января, 2020 Автор Поделиться Опубликовано 31 января, 2020 по эстетике никаких требований, главное долговечность и чтобы кость дальше не уходила Ссылка на комментарий
red_butler Опубликовано 31 января, 2020 Поделиться Опубликовано 31 января, 2020 по эстетике никаких требований, главное долговечность и чтобы кость дальше не уходилапокажите фото, что бы было видно зубы и десну. и сделайте Кт Ссылка на комментарий
andrewV Опубликовано 31 января, 2020 Автор Поделиться Опубликовано 31 января, 2020 (изменено) есть диск сделанный в пикассо, образ диска https://yadi.sk/d/joA_jZcHHER87w если скажите, где взять файлы снимка в папке с программой, могу загрузить именно их Изменено 31 января, 2020 пользователем andrewV Ссылка на комментарий
Дмитрий Л. Опубликовано 4 февраля, 2020 Поделиться Опубликовано 4 февраля, 2020 Показаний к удалению нету. Всё решаемо. Ссылка на комментарий
red_butler Опубликовано 4 февраля, 2020 Поделиться Опубликовано 4 февраля, 2020 Показаний к удалению нету. Всё решаемо.Очень смело, как Вы решите??? Ссылка на комментарий
Дмитрий Л. Опубликовано 4 февраля, 2020 Поделиться Опубликовано 4 февраля, 2020 Очень смело, как Вы решите???В разделе для пациентов не хотелось бы дискутировать с коллегами. Ссылка на комментарий
andrewV Опубликовано 3 марта, 2020 Автор Поделиться Опубликовано 3 марта, 2020 (изменено) покажите фото, что бы было видно зубы и десну. и сделайте Ктhttps://yadi.sk/d/ni1dhoFNU0ns3A КТ из пикассо Изменено 3 марта, 2020 пользователем andrewV Ссылка на комментарий
andrewV Опубликовано 3 марта, 2020 Автор Поделиться Опубликовано 3 марта, 2020 (изменено) В одной из клиник предложили удалить единичку с кистой и обточить двойки под коронки, на них же можно будет повесть временный протез, пока будут приживаться импланты и костная ткань. Можно ли как-то обойтись без обточки, но не ходить 3-4 месяца без передних зубов? Почему-то ничего не сказали насчет кариеса корня на двойке, его же надо депульпировать в таком состоянии? Изменено 3 марта, 2020 пользователем andrewV Ссылка на комментарий
DmitrySH Опубликовано 3 марта, 2020 Поделиться Опубликовано 3 марта, 2020 но не ходить 3-4 месяца без передних зубов? Съемный протез, если он возможен при проведении костной пластики в вашей ситуации. Почему-то ничего не сказали насчет кариеса корня на двойке, его же надо депульпировать в таком состоянии? Его надо избавить от кариеса и действовать по ситуации. Ссылка на комментарий
Рекомендуемые сообщения
Для публикации сообщений создайте учётную запись или авторизуйтесь
Вы должны быть пользователем, чтобы оставить комментарий
Создать аккаунт
Зарегистрируйте новый аккаунт в нашем сообществе. Это очень просто!
Регистрация нового пользователяВойти
Уже есть аккаунт? Войти в систему.
Войти