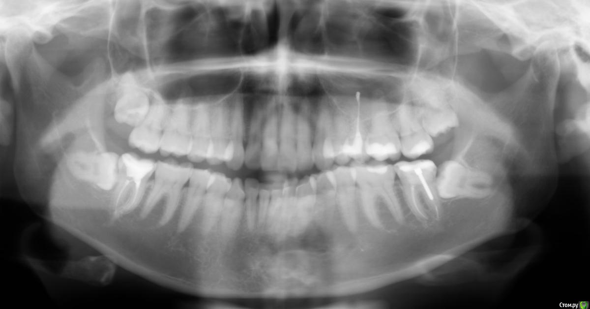
Landscape Опубликовано 30 января, 2020 Поделиться Опубликовано 30 января, 2020 Добрый день! Немного стрёмно стало после увиденного снимка, когда даже не подозревала, что такое случится. Врач сказал, что вариант сложный и обращайтесь к другим специалистам, а лучше в больницу ложиться на операцию. Обратилась к другому стоматологу хирургу, сказал, что справится со всеми засранцами (особенно с нижними, лежачими в десне) но за довольно долгое время (час-полтора). Кроме верхних, это дело минут на 10. Но терзают сомнения именно после сказанного первым врачом. Вдруг и правда случай не простой и второй хирург может ошибиться, а мне это будет стоить нервов и здоровья. Снимок прилагаю. Ссылка на комментарий
Landscape Опубликовано 30 января, 2020 Автор Поделиться Опубликовано 30 января, 2020 Снимок не прогрузился с 1 раза) Ссылка на комментарий
Zlata-doctor Опубликовано 30 января, 2020 Поделиться Опубликовано 30 января, 2020 в чем вопрос? Ссылка на комментарий
Landscape Опубликовано 30 января, 2020 Автор Поделиться Опубликовано 30 января, 2020 Вопрос в том, действительно ли случай сложный (судя по снимку) и надо обращаться в больницу или в челюстное отделение или нет? Ссылка на комментарий
red_butler Опубликовано 30 января, 2020 Поделиться Опубликовано 30 января, 2020 Вопрос в том, действительно ли случай сложный (судя по снимку) и надо обращаться в больницу или в челюстное отделение или нет?При квалифицированном удалении проблем не будет... стационар не нужен Ссылка на комментарий
Landscape Опубликовано 30 января, 2020 Автор Поделиться Опубликовано 30 января, 2020 Спасибо за ответ! 1 Ссылка на комментарий
Bier Опубликовано 30 января, 2020 Поделиться Опубликовано 30 января, 2020 Просто найдите врача, кто специализируется на таких удалениях. Ссылка на комментарий
Рекомендуемые сообщения
Для публикации сообщений создайте учётную запись или авторизуйтесь
Вы должны быть пользователем, чтобы оставить комментарий
Создать аккаунт
Зарегистрируйте новый аккаунт в нашем сообществе. Это очень просто!
Регистрация нового пользователяВойти
Уже есть аккаунт? Войти в систему.
Войти