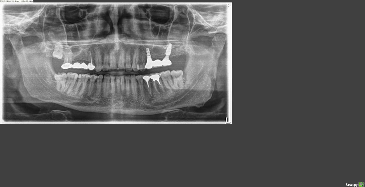
Самарец Опубликовано 30 января, 2020 Поделиться Опубликовано 30 января, 2020 Добрый день! После установки моста на верхних имплантах, антагонисты 35 и 36, после полуторагодовалого отдыха без нагрузки стали сопротивляться.Проявлялось сначала дискомфортом после поедания твердой пищи. В настоящее время - образовался свищ в верхней части десны в районе 36 зуба. На приеме у доктора - промыли, заложили лекарство и вроде все успокоилось. Проблемное место - указано стрелкой в корне 36 зуба. Опухлость десны прошла. Думаю что это все временно. После консультаций у докторов при обострении предлагаются 3 варианта:1. Откинуть лоскут в районе 36 зуба и прочистить проблемное место с лекарством. 2. Разъединить коронку 35 от 36 зуба, удалить 36 зуб и через 2 месяца вкрутить имплант. Коронку 35 зуба обточить.3. Выдернуть 35 и 36 и после заживления вкрутить 2 импланта (это мое предположение) . Посоветуйте пожалуйста уважаемые господа что бы вы рекомендовали в данной ситуации? Заранее благодарю!P.S. Коронке около 14 лет. Ссылка на комментарий
hogsmeed Опубликовано 30 января, 2020 Поделиться Опубликовано 30 января, 2020 2 вариант, только имплант сразу 3 Ссылка на комментарий
Самарец Опубликовано 30 января, 2020 Автор Поделиться Опубликовано 30 января, 2020 2 вариант, только имплант сразуБлагодарю Вас! Только мой опытный и проверенный мной же имплантолог не любит торопиться и делает с разрывом по времени эти две манипуляции. Еще раз Вам спасибо! Ссылка на комментарий
hogsmeed Опубликовано 30 января, 2020 Поделиться Опубликовано 30 января, 2020 Благодарю Вас! Только мой опытный и проверенный мной же имплантолог не любит торопиться и делает с разрывом по времени эти две манипуляции. Еще раз Вам спасибо!Так тоже можно 1 Ссылка на комментарий
Самарец Опубликовано 3 марта, 2020 Автор Поделиться Опубликовано 3 марта, 2020 Уважаемые доктора! Т.е. вариант спасения зуба (точнее того что от него осталось) можно не рассматривать по причине траты нервов, времени и денег? Удалять шестерку и все? Заранее благодарю! Ссылка на комментарий
red_butler Опубликовано 3 марта, 2020 Поделиться Опубликовано 3 марта, 2020 Уважаемые доктора! Т.е. вариант спасения зуба (точнее того что от него осталось) можно не рассматривать по причине траты нервов, времени и денег? Удалять шестерку и все? Заранее благодарю!удалять и сразу имплант 2 Ссылка на комментарий
Самарец Опубликовано 17 марта, 2020 Автор Поделиться Опубликовано 17 марта, 2020 Благодарю! Удалил.Тему можно закрывать! Ссылка на комментарий
Рекомендуемые сообщения