enka Опубликовано 30 января, 2020 Поделиться Опубликовано 30 января, 2020 Здравствуйте, уважаемые доктора! Подруга КОРМЯЩАЯ стал ныть зуб (восьмерка снизу), снимок показал не до конца пролеченный канал. Доктор вскрыл, прочистил, промыл каким-то раствором и под временной пломбой отправил домой, сказав, что кормящим антибиотики нельзя! Зуб на четвертые сутки стал ныть, ощутим при жевании. К доктору в воскресенье. Вопрос....действительно ли ничего антибактериального нет для кормящих и как быть, если боль не пройдет? Ссылка на комментарий
red_butler Опубликовано 30 января, 2020 Поделиться Опубликовано 30 января, 2020 http://forum.stom.ru/topic/20613-sovety-patcientam-obiazatelno-k-prochteniiu/ Ссылка на комментарий
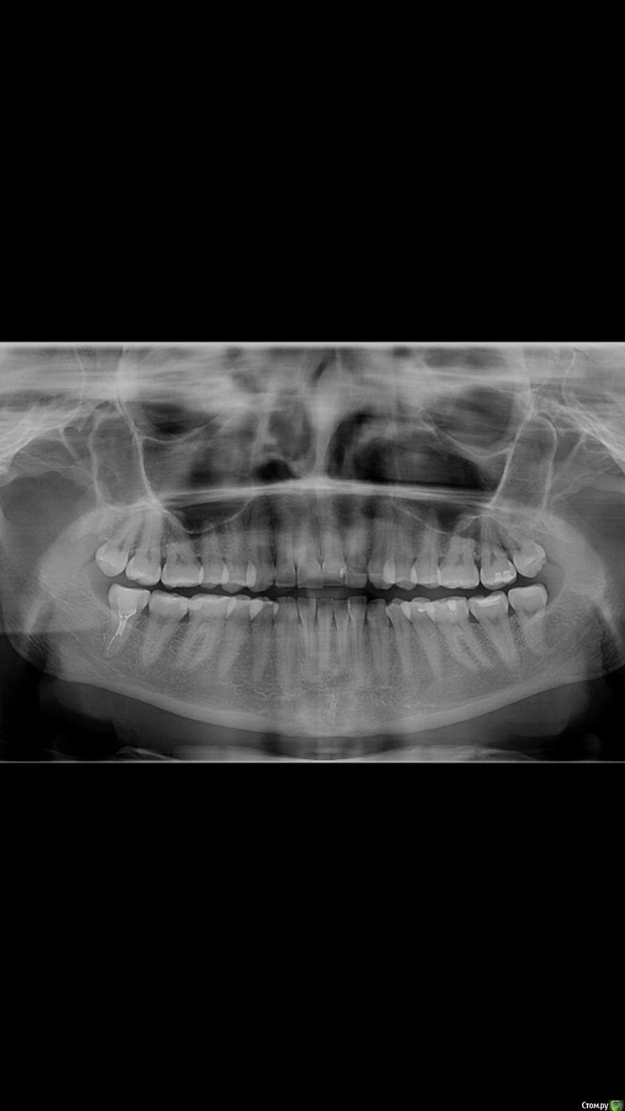
enka Опубликовано 30 января, 2020 Автор Поделиться Опубликовано 30 января, 2020 (изменено) Фото только такое. До лечения! Изменено 30 января, 2020 пользователем enka Ссылка на комментарий
enka Опубликовано 30 января, 2020 Автор Поделиться Опубликовано 30 января, 2020 Фото только такое. Ссылка на комментарий
red_butler Опубликовано 30 января, 2020 Поделиться Опубликовано 30 января, 2020 Я бы удалил этот зуб Ссылка на комментарий
enka Опубликовано 30 января, 2020 Автор Поделиться Опубликовано 30 января, 2020 Бороться бессмысленно? Почему?Если бы можно было антибиотик, то спас бы он ситуацию? Неужели никакой нельзя?Спасибо за Ваши ответы ) Ссылка на комментарий
red_butler Опубликовано 30 января, 2020 Поделиться Опубликовано 30 января, 2020 Бороться бессмысленно? Почему?Если бы можно было антибиотик, то спас бы он ситуацию? Неужели никакой нельзя?Спасибо за Ваши ответы )Если бороться, то искать хорошего эндодонтиста, в идеале работающего с микроскопом, и после перелечивания восстановить зуб искусственной коронкой... применительно к третьему моляру я в этом смысла не вижу. P.s. Антибиотик не поможет Ссылка на комментарий
enka Опубликовано 30 января, 2020 Автор Поделиться Опубликовано 30 января, 2020 Благодарю Вас, принято! Ссылка на комментарий
enka Опубликовано 30 января, 2020 Автор Поделиться Опубликовано 30 января, 2020 Извините, но это опять я) Моя подруга плачет, очень не хочет в 30 лет потерять этот зуб. Пожалуйста, посмотрите прицельный снимок, на нем прочищен правый канал, левый еще не тронут. Может если доктор прочистит и его будет все ок? Но он не эндодантист( Зуб начинает ныть к вечеру и ночью, на утро становится легче...Есть надежда хоть маленькая? Ссылка на комментарий
enka Опубликовано 30 января, 2020 Автор Поделиться Опубликовано 30 января, 2020 Другой врач предположил, что причиной нытья может быть семерка. Вскрытие покажет говорит, но это ж не дело(( Ссылка на комментарий
Zlata-doctor Опубликовано 30 января, 2020 Поделиться Опубликовано 30 января, 2020 ищите хорошего врача. Ссылка на комментарий
enka Опубликовано 30 января, 2020 Автор Поделиться Опубликовано 30 января, 2020 ищите хорошего врача. Спасибо! Где ж его взять? Посоветуйте кого-нибудь в свао, пожалуйста! Ссылка на комментарий
enka Опубликовано 9 февраля, 2020 Автор Поделиться Опубликовано 9 февраля, 2020 Уважаемые, Доктора, доброй ночи. Зуб удалили 8 дней назад. Первые трое суток болел сильно, сейчас болит слабее и пульсирует . Когда же это пройдет? Полоскает мирамистин или сода с солью. Языком чувствует припухлость. Спасибо всем Ссылка на комментарий
red_butler Опубликовано 10 февраля, 2020 Поделиться Опубликовано 10 февраля, 2020 К врачу сходите Ссылка на комментарий
Рекомендуемые сообщения
Для публикации сообщений создайте учётную запись или авторизуйтесь
Вы должны быть пользователем, чтобы оставить комментарий
Создать аккаунт
Зарегистрируйте новый аккаунт в нашем сообществе. Это очень просто!
Регистрация нового пользователяВойти
Уже есть аккаунт? Войти в систему.
Войти