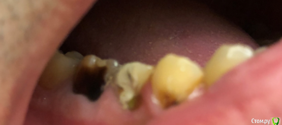
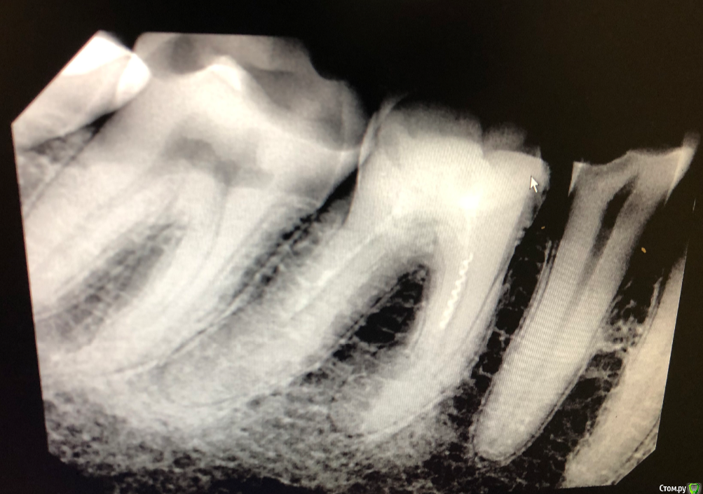
korkor Опубликовано 30 января, 2020 Поделиться Опубликовано 30 января, 2020 (изменено) Недавно заболел зуб. Болел после горячего. Потом просто стал болеть, даже проснулся ночью как-то от боли.Был у стоматолога. Она начала лечить зуб с одним каналом 29 (на фото он правее), так как там кариес был и дырка довольна большая. Рядом с ним 30 (левее) зуб мне лечили лет 10 назад. Сначала стоматолог говорила, что канал до конца недолечили, так как на снимке не видно, плюс инструмент в канале. Но так как у меня одна стенка зуба вся темно-коричневая (давно начал темнеть постепенно, сейчас весь темный), скорее всего там резицин-формалин. Рядом с ним зуб 31 (еще правее), сказала, что якобы может быть трещина в корню посередине зуба (на еще одном снимке там якобы темное уплотнение под корнем). И последний зуб мудрости (32) - там часть зуба откололась.Пролечили мне 29-й зуб с одним каналом. Но боль то есть, то нету. боль в основном ноющая, один день вообще ее нету, на другой опять есть, но слабее, чем была. 1. Помогите разобраться какой зуб может болеть и ответить на вопрос правильно ли мне удалили нерв в 29-м зубе?2. Возможно ли запломбировать 32-й зуб, коренной без удаления нерва? И если нельзя, то что лучше - удалять зуб или прочистить каналы и запломбировать?3. Что посоветуете делать с 30-м зубом (коричневый) и возможна ли боль от трещины (и есть ли трещина) в 31-м зубе? Изменено 30 января, 2020 пользователем korkor Ссылка на комментарий
red_butler Опубликовано 30 января, 2020 Поделиться Опубликовано 30 января, 2020 Я бы начал с удаления зуба мудрости Ссылка на комментарий
Дмитрий Л. Опубликовано 30 января, 2020 Поделиться Опубликовано 30 января, 2020 Я бы начал с удаления зуба мудрости+1 но и это может не решить вопрос, лечить нужно все зубы которые на фото и снимках Ссылка на комментарий
Рекомендуемые сообщения
Для публикации сообщений создайте учётную запись или авторизуйтесь
Вы должны быть пользователем, чтобы оставить комментарий
Создать аккаунт
Зарегистрируйте новый аккаунт в нашем сообществе. Это очень просто!
Регистрация нового пользователяВойти
Уже есть аккаунт? Войти в систему.
Войти