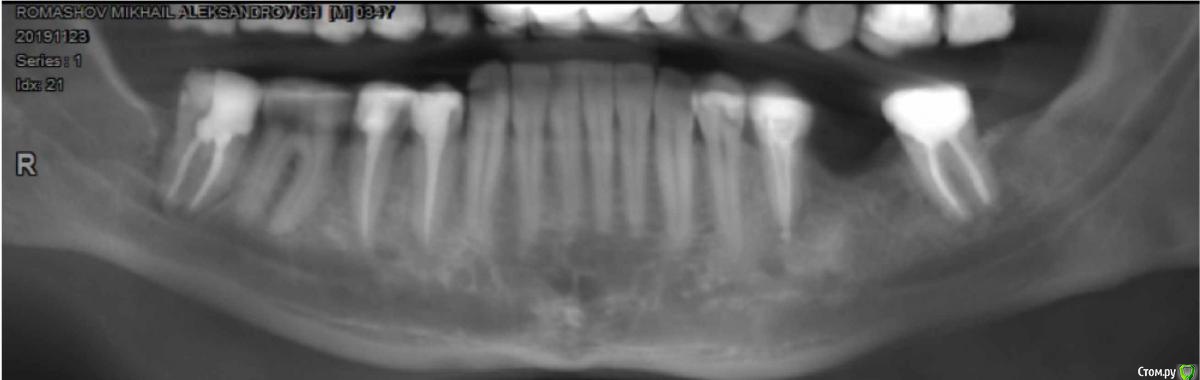
Trigger Опубликовано 28 января, 2020 Поделиться Опубликовано 28 января, 2020 Добрый день. Подскажите, что лучше поставить на место 36 зуба и почему. Пояснения:36 гемесекция была 10 лет назад в связи с невозможность перелечить корень. 1,5 года назад удалили второй корень, тк но сильно наклонен.35 возле корня было воспаление (видно на старом снимке) его убирали. Ссылка на комментарий
red_butler Опубликовано 28 января, 2020 Поделиться Опубликовано 28 января, 2020 Имплантация и коронки на пятый и седьмой зубы 1 Ссылка на комментарий
Bier Опубликовано 28 января, 2020 Поделиться Опубликовано 28 января, 2020 можно поставить и мост и имплантат в данном случае.Мост конечно дешевле и с одной стороны оправдан тем, что и 5й и 7й зубы нужно закрывать коронками. С другой стороны это лишняя нагрузка на эти зубы и если есть финансовая возможность - ставьте имплантат. Так будет физиологичнее и надежнее. Ссылка на комментарий
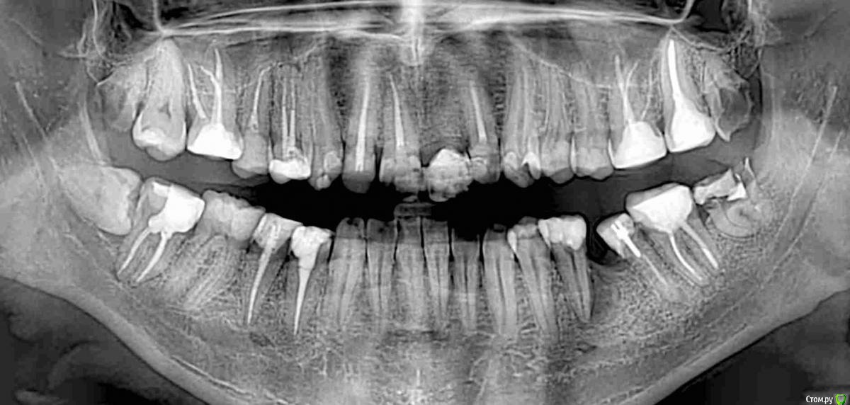
Trigger Опубликовано 28 января, 2020 Автор Поделиться Опубликовано 28 января, 2020 (изменено) Верх покрыл коронками, нижние (37, 35, 44, 45, 47) по плану. За все время лечения врач говорил только об импланте. Сразу не ставили, тк было воспаление у 35.Сделал свежее КТ. Все обговорили, что большая впалость десны, потребуется костная и десневая пластика и установка импланта. Мне оставалось только выбрать системы с которой врачи работают Astra tech или Dentium. Почитал, особой разницы не увидел. Везде вывод один, зависит от качества установки, а не фирмы. Переплачивать 10к смысла не вижу. Саму операцию врач передал коллеге. Он посмотрел, сказал, что идеально сделать не сможет и между импланом и зубами 35 и 37 останутся треугольные пустоты. Срок жизни 35, 37 после покрытия коронками оставляет 5-15 лет (тут у меня большие вопросы. Что у 35 было воспаление, может повториться и сколько ему останется это понимаю. но 37 пломбе более 10 лет меня не беспокоит) придется на этом участке ставить три импланта подряд.Предложил сейчас с костью, десной ничего не делать. Поставить мост 35-37. Когда с зубами что то случится сделать 2 импланта 35, 37 и тот же мост.Когда мне это все озвучили было очень неожиданно, тк вариант с мостом ранее не рассматривался вообще. Взял паузу на подумать.Пока склоняюсь к варианту ставить имплант. Мост даст бОльшую нагрузку на 35 и 37. Изменено 28 января, 2020 пользователем Trigger Ссылка на комментарий
Bier Опубликовано 29 января, 2020 Поделиться Опубликовано 29 января, 2020 Без КТ сложно судить, но мне кажется, что возможно установить имплантат только с десневой пластикой. Без пластики костной ткани. Ссылка на комментарий
Рекомендуемые сообщения
Для публикации сообщений создайте учётную запись или авторизуйтесь
Вы должны быть пользователем, чтобы оставить комментарий
Создать аккаунт
Зарегистрируйте новый аккаунт в нашем сообществе. Это очень просто!
Регистрация нового пользователяВойти
Уже есть аккаунт? Войти в систему.
Войти