Перейти к содержанию
Стоматология для всех

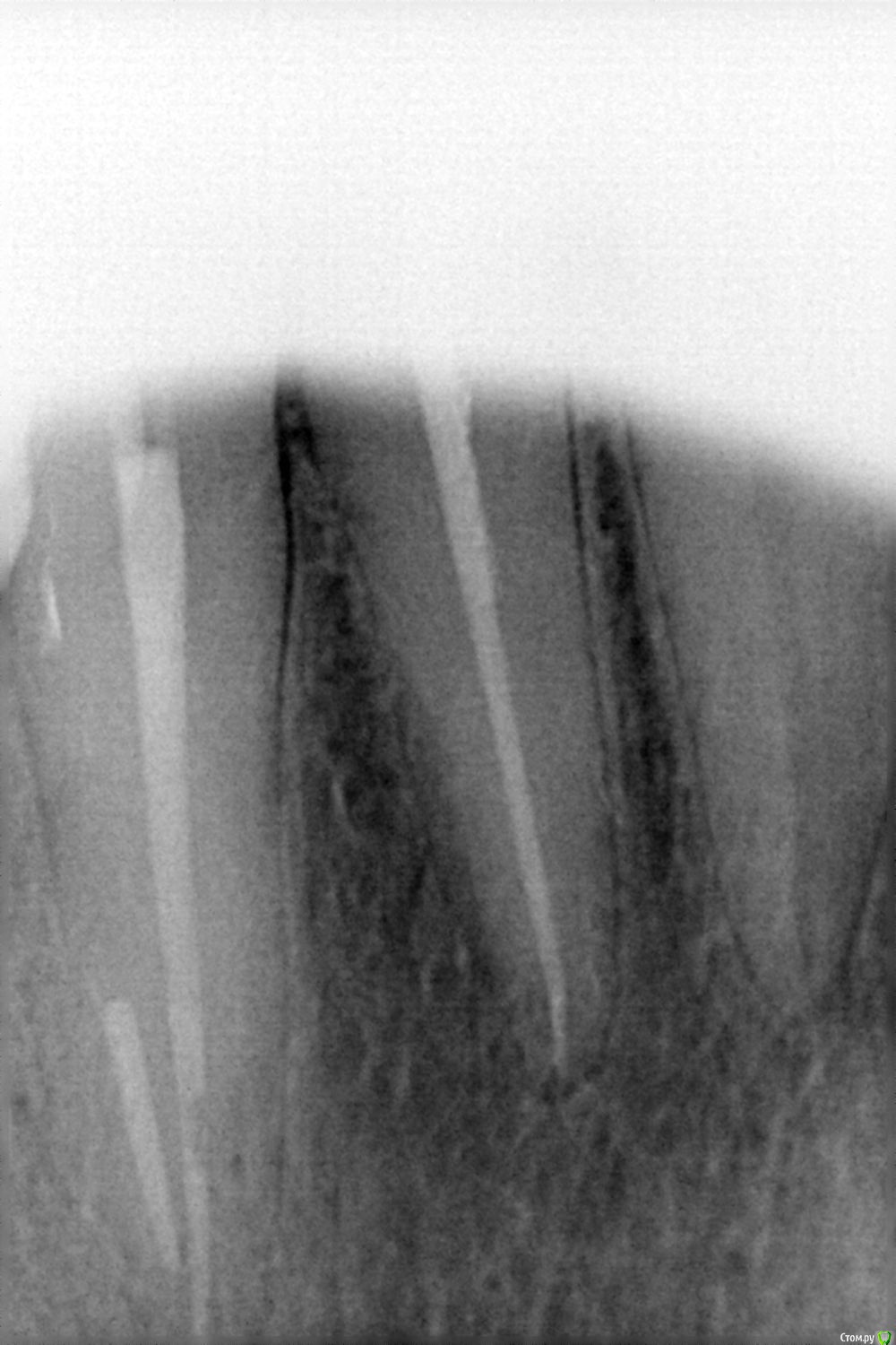
Ноющая боль, снимки хорошие.


Городник Т.С.

Рекомендуемые сообщения

Пять месяцев назад пролечен 23 зуб (был пульпит). Две недели назад промерзли ноги и в этом зубе появилась ноющая боль, без причин, появляется и исчезает сама по себе. Пару дней назад появилась чувствительность при надкусывании и пульсация. Была у двух врачей. Первый предположил пульпит в 22 зубе (там старая глубокая пломба), но предложил подождать, т.к. сильной боли нет и на снимке все хорошо. Второй врач считает, что воспаления нет, давайте понаблюдаем. На снимке 24, 23 и 22 зубы.

post-59641-0-79720800-1579881662_thumb.jpg

Ссылка на комментарий

Для публикации сообщений создайте учётную запись или авторизуйтесь

Вы должны быть пользователем, чтобы оставить комментарий

Создать аккаунт

Зарегистрируйте новый аккаунт в нашем сообществе. Это очень просто!

Регистрация нового пользователя

Войти

Уже есть аккаунт? Войти в систему.

Войти
×
×
  • Создать...
Вверх